Bị nha chu là gì? Bị nha chu là một trong những bệnh lý răng miệng phổ biến và nguy hiểm nhất hiện nay. Bệnh tiến triển âm thầm nhưng có thể gây ra hậu quả nghiêm trọng như răng lung lay, tụt nướu, thậm chí mất răng vĩnh viễn nếu không được phát hiện và điều trị sớm.
Theo Hiệp hội Nha khoa Hoa Kỳ (ADA), có tới 47% người trưởng thành trên 30 tuổi mắc các dạng viêm nha chu ở mức độ khác nhau. Trong đó, tỷ lệ này tăng lên hơn 70% ở người trên 65 tuổi.
Cùng BeDental tìm hiểu chi tiết nguyên nhân, dấu hiệu và cách điều trị viêm nha chu hiệu quả nhất hiện nay qua bài viết sau.
Bị nha chu là gì?
Viêm nha chu (Periodontal Disease) là tình trạng viêm nhiễm các mô nâng đỡ răng, bao gồm: nướu, dây chằng nha chu, xương ổ răng và xê măng chân răng. Khi mảng bám vi khuẩn tích tụ lâu ngày không được loại bỏ, chúng sẽ tấn công sâu xuống mô nướu, gây sưng đỏ, chảy máu, hình thành túi nha chu, từ đó làm răng lung lay và tiêu xương hàm.
Theo thống kê của Tổ chức Y tế Thế giới (WHO), viêm nha chu là nguyên nhân hàng đầu gây mất răng ở người trưởng thành. Đáng lo ngại là bệnh thường tiến triển âm thầm, không gây đau đớn rõ rệt trong giai đoạn đầu nên dễ bị bỏ qua.

Dấu hiệu nhận biết bị nha chu
Xem thêm: Đau Lưỡi Là Bệnh Gì? Dấu Hiệu Và Cách Nhận Biết Các Bệnh Về Lưỡi
Tùy theo mức độ tiến triển của bệnh, viêm nha chu có thể biểu hiện qua một hoặc nhiều triệu chứng dưới đây:
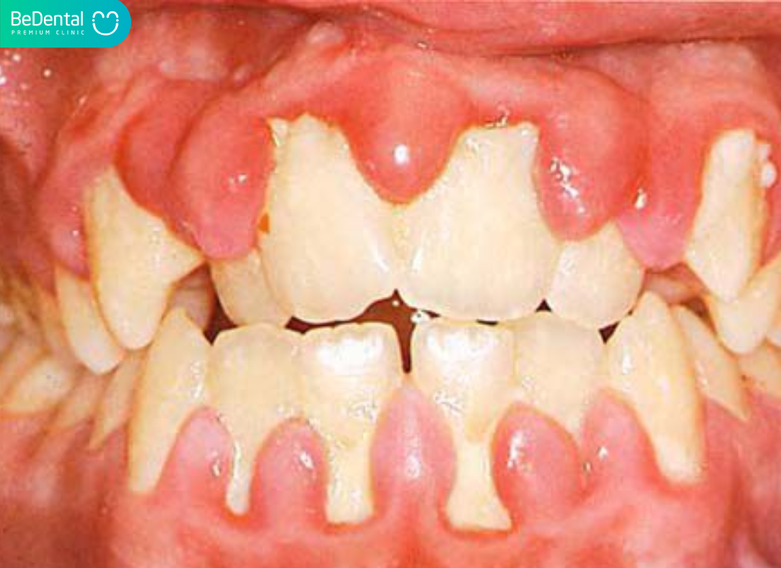
1. Dấu hiệu nhận biết bị nha chu: Lợi sưng đỏ, dễ chảy máu
Đây là dấu hiệu sớm nhất của viêm nha chu. Người bệnh thường thấy nướu sưng phồng, chuyển sang màu đỏ sẫm, dễ chảy máu khi chải răng hoặc ăn uống.
2. Dấu hiệu nhận biết bị nha chu: Loét miệng, viêm nướu kéo dài
Các vết loét nhỏ trong khoang miệng nếu không lành sau vài ngày có thể là do viêm nha chu gây ra. Khi viêm lan rộng, vết loét dễ tái phát, gây đau rát, khó ăn nhai.
3. Dấu hiệu nhận biết bị nha chu: Tụt nướu, lộ chân răng
Theo thời gian, mô nướu bị kéo xa khỏi răng khiến răng trông dài hơn bình thường. Đây là biểu hiện của tụt nướu – một dấu hiệu đặc trưng của viêm nha chu tiến triển.
4. Dấu hiệu nhận biết bị nha chu: Răng lung lay, dịch mủ quanh nướu
Ở giai đoạn nặng, vi khuẩn xâm nhập sâu gây tiêu xương và đứt dây chằng nha chu, khiến răng lỏng lẻo, lung lay, thậm chí rụng sớm.
5. Dấu hiệu nhận biết bị nha chu: Đau và chảy máu khi đánh răng
Người bệnh có thể thấy ê buốt, đau nhức vùng lợi khi chải răng hoặc dùng chỉ nha khoa. Một số trường hợp còn xuất hiện mủ vàng hoặc mùi hôi miệng kéo dài.
6. Dấu hiệu nhận biết bị nha chu: Hôi miệng kéo dài
Hơi thở có mùi dù đã vệ sinh kỹ lưỡng là dấu hiệu cảnh báo ổ vi khuẩn và túi nha chu chứa mủ sâu bên trong nướu. Đây là một triệu chứng đặc trưng của giai đoạn viêm nha chu nặng.
Xem thêm: Viêm họng cấp: Nguyên nhân, triệu chứng và cách điều trị hiệu quả
Nguyên nhân bị nha chu

Các chuyên gia nha khoa cho biết, có nhiều yếu tố dẫn đến viêm nha chu, nhưng mảng bám và cao răng vẫn là nguyên nhân phổ biến nhất.
1. Cao răng, mảng bám tích tụ
Khi vệ sinh răng miệng không đúng cách, thức ăn và vi khuẩn sẽ tích tụ thành cao răng cứng, là nơi lý tưởng cho vi khuẩn sinh sôi gây viêm nướu và nha chu.
2. Thay đổi nội tiết tố
Phụ nữ mang thai, dậy thì hoặc mãn kinh dễ bị viêm nướu do thay đổi hormone khiến nướu nhạy cảm hơn.
3. Tác dụng phụ của thuốc
Một số loại thuốc điều trị huyết áp, chống trầm cảm hoặc thuốc kháng histamin làm giảm tiết nước bọt, khiến khoang miệng khô và dễ hình thành mảng bám.
4. Chế độ ăn uống thiếu khoa học
Thiếu vitamin C, D, canxi và kẽm làm suy yếu mô nướu, tăng nguy cơ viêm nhiễm.
5. Bệnh lý toàn thân
Người mắc tiểu đường, ung thư, rối loạn miễn dịch hoặc hút thuốc lá thường xuyên có nguy cơ cao bị viêm nha chu nặng.
Xem thêm: Chữa Viêm Lợi Răng Tại Nhà
Quy trình điều trị viêm nha chu tại nha khoa

Tại các nha khoa chuyên sâu như BeDental, quy trình điều trị viêm nha chu được thực hiện chuẩn y khoa theo các bước sau:
Bước 1: Thăm khám tổng quát
Bác sĩ kiểm tra nướu, chân răng, đánh giá mức độ viêm và khả năng tiêu xương.
Bước 2: Chụp X-quang và chẩn đoán
Sử dụng phim X-quang toàn cảnh Panorex để xác định chính xác vị trí và độ sâu túi nha chu, từ đó xây dựng phác đồ điều trị phù hợp.
Bước 3: Tiến hành điều trị
Giai đoạn nhẹ: Lấy cao răng, làm sạch mảng bám dưới nướu, hướng dẫn chăm sóc răng miệng.
Giai đoạn trung bình: Nạo túi nha chu, trám bít, điều trị kháng viêm và theo dõi định kỳ.
Giai đoạn nặng: Có thể cần ghép xương, cấy ghép mô mềm hoặc cắm implant nếu răng bị mất.
Bước 4: Tái khám và theo dõi
Sau điều trị, bác sĩ hẹn lịch kiểm tra định kỳ để đảm bảo mô nướu phục hồi tốt và ngăn ngừa tái phát.
Xem thêm: Tại Sao Lại Bị Viêm Amidan?
Cách chữa viêm nha chu tại nhà
Viêm nha chu là một bệnh lý nghiêm trọng cần được điều trị chuyên sâu tại phòng khám nha khoa. Tuy nhiên, việc chăm sóc tại nhà đóng vai trò hỗ trợ cực kỳ quan trọng, giúp kiểm soát nhiễm trùng, ngăn ngừa bệnh tiến triển và phòng ngừa tái phát.
Theo khuyến nghị của Hiệp hội Nha khoa Hoa Kỳ, để hỗ trợ điều trị và phòng ngừa viêm nha chu hiệu quả, bạn cần thực hiện nghiêm túc các biện pháp sau:
1. Nâng Cao Hiệu Quả Vệ Sinh Răng Miệng

Chải răng đúng kỹ thuật: Thực hiện đánh răng hai lần mỗi ngày, mỗi lần kéo dài ít nhất 2 phút. Hãy sử dụng bàn chải lông mềm để tránh làm tổn thương nướu đang bị viêm.
Làm sạch kẽ răng: Sử dụng chỉ nha khoa hoặc bàn chải kẽ mỗi ngày một lần. Đây là bước thiết yếu để loại bỏ thức ăn và mảng bám ở những khu vực mà bàn chải thường không thể chạm tới, ngăn chặn sự phát triển của vi khuẩn nha chu.
Sử dụng sản phẩm chuyên dụng: Chọn loại kem đánh răng có chứa fluoride để củng cố men răng và kẽm citrate (hoặc các hợp chất kháng khuẩn khác) để tăng cường bảo vệ nướu và kiểm soát mảng bám.
Súc miệng sát khuẩn: Bổ sung bước súc miệng bằng dung dịch sát khuẩn chuyên dụng theo hướng dẫn của bác sĩ. Dung dịch này giúp giảm lượng vi khuẩn trong khoang miệng, hỗ trợ quá trình lành viêm.
2. Điều Chỉnh Chế Độ Sinh Hoạt và Dinh Dưỡng
Bổ sung nước và dinh dưỡng: Đảm bảo uống đủ 1.5 – 2 lít nước mỗi ngày để giữ ẩm khoang miệng và kích thích nước bọt làm sạch tự nhiên. Tăng cường ăn rau xanh, trái cây tươi để bổ sung vitamin và khoáng chất, giúp tăng cường hệ miễn dịch và khả năng hồi phục của mô nướu.
Tránh các tác nhân gây hại: Hạn chế tối đa việc sử dụng thuốc lá và rượu bia, vì chúng làm suy giảm miễn dịch, cản trở quá trình lành thương và khiến viêm nha chu trở nên trầm trọng hơn. Đồng thời, giảm thiểu đồ ăn chứa nhiều đường vì đây là nguồn thức ăn lý tưởng cho vi khuẩn gây mảng bám.
3. Thăm Khám Nha Khoa Định Kỳ
Viêm nha chu là bệnh lý mạn tính cần được giám sát. Bạn cần khám nha sĩ 2 lần mỗi năm (hoặc theo lịch hẹn cụ thể của bác sĩ nha chu).
Biện pháp phòng ngừa viêm nha chu
Xem thêm: TOP thuốc viêm răng lợi hiệu quả và an toàn nhất hiện nay
- Duy trì vệ sinh răng miệng đúng cách và đều đặn.
- Bổ sung vitamin C, D và canxi giúp mô nướu chắc khỏe.
- Tránh stress, thức khuya, hút thuốc – những yếu tố làm giảm sức đề kháng nướu.
- Kiểm soát bệnh lý nền như tiểu đường hoặc rối loạn miễn dịch.
Một số câu hỏi thường gặp về viêm nha chu

Viêm nha chu có nguy hiểm không?
Câu trả lời là CÓ. Viêm nha chu không chỉ làm mất răng mà còn ảnh hưởng đến sức khỏe toàn thân.
Theo nghiên cứu của Hiệp hội Nha chu Hoa Kỳ (AAP):
- Người bị viêm nha chu có nguy cơ mất răng cao gấp 3 – 5 lần so với người khỏe mạnh.
- Vi khuẩn nha chu có thể xâm nhập vào máu, tăng 25% nguy cơ mắc bệnh tim mạch và 40% nguy cơ sinh non ở phụ nữ mang thai.
- Ngoài ra, bệnh còn liên quan đến tiểu đường, viêm khớp, bệnh phổi mạn tính…
Viêm nha chu bao lâu thì khỏi?
Nếu được phát hiện sớm, viêm nha chu có thể khỏi sau 5 – 7 ngày điều trị bằng cạo vôi răng, kết hợp thuốc kháng viêm và hướng dẫn chăm sóc răng miệng đúng cách.
Tuy nhiên, ở giai đoạn nặng, quá trình điều trị có thể kéo dài vài tuần đến vài tháng, tùy vào mức độ tiêu xương và khả năng phục hồi mô nướu của từng người.
Khi nào cần đến bác sĩ?
Bạn nên đến bác sĩ nha khoa ngay lập tức khi phát hiện bất kỳ dấu hiệu nghiêm trọng nào của viêm nha chu, bao gồm:
- Răng bị lung lay hoặc cảm thấy lỏng lẻo bất thường.
- Nướu sưng to, đau dữ dội và có mủ chảy ra.
- Chảy máu nướu dai dẳng không dứt.
- Hôi miệng nặng kéo dài, đi kèm với tụt nướu rõ rệt.
Nếu chỉ có chảy máu nướu nhẹ, hãy đặt lịch hẹn sớm trong vài ngày tới. Tuyệt đối không nên chủ quan, vì viêm nha chu nặng có thể dẫn đến tiêu xương và mất răng vĩnh viễn.
Xem thêm: Viêm lợi răng lung lay: Nguyên nhân, dấu hiệu và cách điều trị hiệu quả tại BeDental
Điều trị viêm nha chu an toàn, hiệu quả tại BeDental
Nếu bạn đang tìm kiếm địa chỉ điều trị viêm nha chu uy tín, BeDental là lựa chọn hàng đầu được hàng nghìn khách hàng tin tưởng.
Tại sao nên điều trị viêm nha chu tại BeDental?
- Đội ngũ bác sĩ chuyên sâu: BeDental quy tụ bác sĩ có trình độ cao, nhiều năm kinh nghiệm trong điều trị nha chu và cấy ghép Implant.
- Trang thiết bị hiện đại: Ứng dụng công nghệ X-quang kỹ thuật số, máy nạo túi nha chu siêu âm và hệ thống vô trùng tiêu chuẩn quốc tế.
- Quy trình an toàn tuyệt đối: Toàn bộ dụng cụ được xử lý theo quy trình vô trùng 1 chiều 8 bước, đảm bảo an toàn 100%.
- Chi phí công khai, minh bạch: Bảng giá điều trị rõ ràng, phù hợp với mọi đối tượng.
BeDental cam kết mang lại hiệu quả điều trị tối ưu, giúp bạn phục hồi sức khỏe răng miệng và ngăn ngừa biến chứng nha chu tái phát.
Viêm nha chu là bệnh lý răng miệng nguy hiểm nhưng hoàn toàn có thể phòng ngừa và điều trị dứt điểm nếu được phát hiện sớm và điều trị đúng cách.
Hãy chủ động thăm khám định kỳ tại BeDental để được kiểm tra, cạo vôi và chăm sóc răng miệng chuyên sâu, giúp bảo vệ nụ cười khỏe đẹp dài lâu.

Tư vấn chuyên môn bài viết:
BÁC SĨ DƯƠNG THỊ THÙY NGA
Tại BeDental, khách hàng có thể an tâm điều trị với dịch vụ bảo lãnh viện phí nha khoa nhanh chóng và tiện lợi. BeDental hiện liên kết với nhiều công ty bảo hiểm uy tín, hỗ trợ thanh toán trực tiếp chi phí các dịch vụ nha khoa như nhổ răng, trám răng, điều trị tủy, phục hình răng sứ... Quy trình linh hoạt, minh bạch giúp tiết kiệm thời gian và tối ưu chi phí. Hãy liên hệ BeDental để được tư vấn chi tiết và tận hưởng trải nghiệm chăm sóc răng miệng chuyên nghiệp, không lo gánh nặng tài chính.
? Các đơn vị nha khoa chấp nhận bảo lãnh bao gồm : Hùng Vương Insurance, Bảo Long Insurance, BSH (Bảo hiểm BSH), FWD Insurance Cathay Life Fubon Insurance, Tokio Marine Insurance Group VNI (Bảo hiểm Hàng không), HD Insurance MSIG AAA Insurance PTI (Bảo hiểm Bưu điện), BIDV MetLife, PJICO, Techcom, Insurance, AIA, Dai-ichi Life MIC GIC DBV Insurance VBI (Bảo hiểm VietinBank)
? Các công ty bảo hiểm BeDental có thể xuất hóa đơn: Manulife Dai-ichi Life Prudential AIA Hanwha Life PVI VCLI (Bảo hiểm nhân thọ Vietcombank - Cardif) BIC (Bảo hiểm BIDV), Bảo Việt Insurance và PVI


