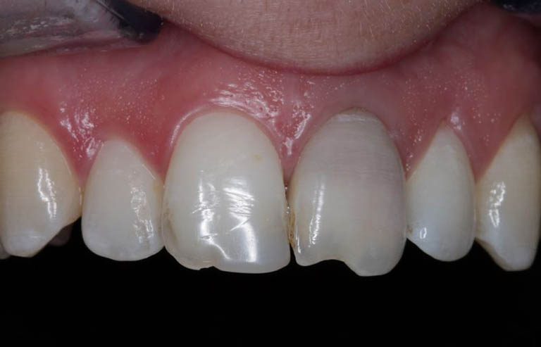
Canine teeth play a crucial role in both aesthetics and function, yet they are often overlooked until problems arise. Whether it is due to damage, discoloration, or misalignment, many patients today consider Porcelain crown for canine teeth in Vietnam as a solution. But is this approach suitable for such an important tooth? In this in-depth […]
Lưu trữ danh mục: Kiến Thức Nha Khoa
Tổng hợp kiến thức nha khoa về trồng răng implant, bọc răng sứ, niềng răng, tẩy trắng răng, nhổ răng khôn, điều trị tủy, trám răng, cạo vôi răng
Tooth decay in molars is one of the most common dental problems, especially due to their role in chewing and their hard-to-clean position. When damage becomes severe, simple fillings are no longer enough. At this stage, many patients begin searching for Porcelain crown for decayed molars in Vietnam as a long-term solution. But when is […]
Tác giả: BS. Dương Thị Thùy Nga — Bác sĩ Chỉnh nha, BeDental Kiểm duyệt: BS. Nguyễn Thị Trang — Bác sĩ phụ trách chuyên môn, BeDental ? “Tôi muốn niềng răng nhưng không biết chuẩn bị ngân sách bao nhiêu — và không hiểu tại sao giá niềng ở các nơi khác nhau nhiều […]
Tác giả: BS. Dương Thị Thùy Nga — Bác sĩ Chỉnh nha, BeDental Kiểm duyệt: BS. Nguyễn Thị Trang — Bác sĩ phụ trách chuyên môn, BeDental Niềng răng cho người lớn 30, 40, 50 tuổi — hoàn toàn được và kết quả tương đương trẻ em. BeDental giải thích lý do không có giới […]
Tác giả: BS. Dương Thị Thùy Nga — Bác sĩ Nha khoa Tổng quát, BeDental Kiểm duyệt: BS. Nguyễn Thị Trang — Bác sĩ phụ trách chuyên môn, BeDental ? “Tôi nghe nói lấy cao răng làm mòn men, lấy xong răng lung lay — đúng không? Hay là bịa đặt?” Câu hỏi này BeDental […]
Tác giả: BS. Dương Thị Thùy Nga — Bác sĩ Phục hình & Cấy ghép Implant, BeDental Kiểm duyệt y khoa: BS. Nguyễn Thị Trang — Bác sĩ phụ trách chuyên môn, BeDental ? Câu Trả Lời Ngắn Cấy implant răng tại BeDental thực hiện theo 5 bước, hoàn thiện trong 3–6 tháng. Sử dụng […]
Tác giả: BS. Dương Thị Thùy Nga — Bác sĩ Phục hình Răng, BeDental Kiểm duyệt: BS. Nguyễn Thị Trang — Bác sĩ phụ trách chuyên môn, BeDental ? “Tôi có răng sứ cũ bị đen ở cổ — bác sĩ bảo tôi nên đổi sang ‘toàn sứ’. Toàn sứ là gì và có tốt […]
Tác giả: BS. Dương Thị Thùy Nga — Bác sĩ Chỉnh nha, BeDental Ngày đăng: (WordPress tự điền) Kiểm duyệt: BS. Nguyễn Thị Trang — Bác sĩ phụ trách chuyên môn, BeDental ? “Tôi muốn niềng Invisalign vì đi làm không muốn ai thấy. Nhưng nghe nói không hiệu quả bằng mắc cài — thật […]
Tác giả: BS. Dương Thị Thùy Nga — Bác sĩ Thẩm mỹ Nha khoa, BeDental Kiểm duyệt: BS. Nguyễn Thị Trang — Bác sĩ phụ trách chuyên môn, BeDental ? “Tôi muốn làm đẹp răng nhưng không muốn mài nhiều — bạn tôi bảo dán sứ veneer ít mài hơn bọc sứ, đúng không?” Đúng […]
Tác giả: BS. Dương Thị Thùy Nga — Bác sĩ Cấy ghép Implant, BeDental Ngày đăng: (WordPress tự điền) Kiểm duyệt: BS. Nguyễn Thị Trang — Bác sĩ phụ trách chuyên môn, BeDental Implant All on 4 — giải pháp phục hình toàn hàm tiên tiến nhất: chỉ 4 trụ implant nâng đỡ toàn bộ […]









