TOP thuốc viêm răng lợi hiệu quả và an toàn nhất hiện nay. Viêm lợi là bệnh lý nha khoa phổ biến, gây ra cảm giác đau nhức, khó chịu và ảnh hưởng lớn đến sinh hoạt hàng ngày. Trong nhiều trường hợp, sử dụng thuốc trị viêm lợi được xem là giải pháp nhanh chóng và hiệu quả nhất giúp giảm viêm, tiêu sưng và kiểm soát tình trạng nhiễm khuẩn. Tuy nhiên, giữa hàng loạt loại thuốc trên thị trường, nhiều người vẫn băn khoăn viêm lợi uống thuốc gì mới thật sự hiệu quả?
Hãy cùng Nha khoa BeDental tìm hiểu chi tiết các loại thuốc chữa viêm lợi tốt nhất hiện nay, cách sử dụng đúng và những lưu ý cần biết để đạt hiệu quả tối ưu.
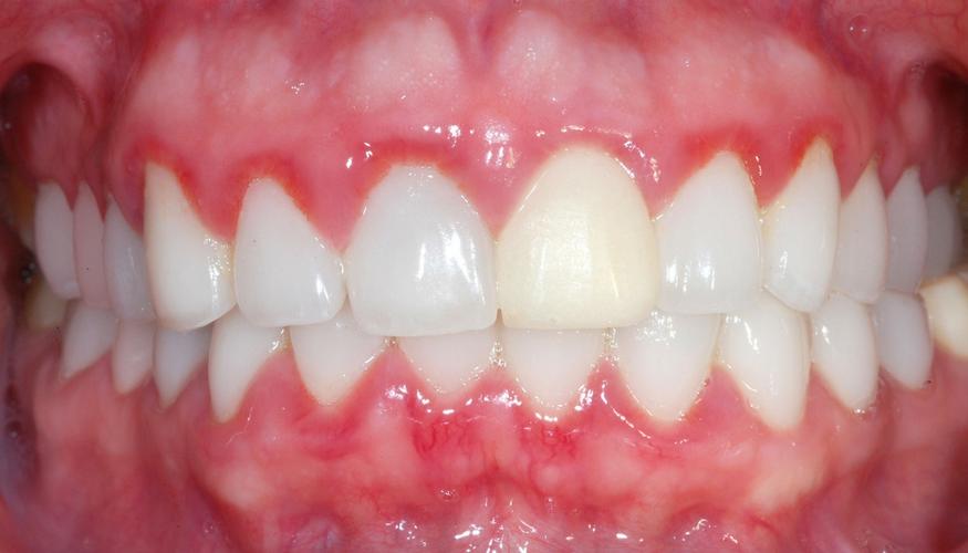
Viêm lợi là bệnh gì?
Viêm lợi (gingivitis) là tình trạng mô nướu quanh răng bị viêm nhiễm do vi khuẩn phát triển mạnh mẽ trên mảng bám và cao răng. Khi đó, nướu có thể bị sưng đỏ, đau nhức, chảy máu khi đánh răng và trong trường hợp nặng, viêm có thể tiến triển thành viêm nha chu — một bệnh lý nguy hiểm có thể dẫn đến mất răng vĩnh viễn.
Theo thống kê của Hiệp hội Nha khoa Hoa Kỳ (ADA), có tới 47,2% người trưởng thành trên 30 tuổi gặp phải các dấu hiệu viêm lợi ở mức độ khác nhau. Trong đó, nhóm người vệ sinh răng miệng kém hoặc hút thuốc lá thường xuyên có nguy cơ cao gấp 2,5 lần so với người bình thường.

Các triệu chứng thường gặp:
- Nướu sưng đỏ, đau, dễ chảy máu khi chải răng.
- Hơi thở có mùi hôi dai dẳng.
- Răng có cảm giác lung lay nhẹ.
- Có mủ hoặc mô nướu bị co rút ở một số vị trí.
Viêm lợi có nên sử dụng thuốc không?
Xem thêm: Tư vấn nha khoa: Bạn cần biết gì khi làm răng sứ?
Nhiều người thắc mắc viêm lợi có nên sử dụng thuốc không hay chỉ cần vệ sinh răng miệng kỹ là khỏi. Thực tế, việc sử dụng thuốc là biện pháp cần thiết, đặc biệt khi tình trạng viêm đã lan rộng, gây sưng đau hoặc nhiễm trùng.
Theo Tổ chức Y tế Thế giới (WHO), việc điều trị viêm lợi bằng thuốc giúp đạt được ba mục tiêu chính:
- Giảm viêm, sưng đau và chảy máu nướu.
- Ức chế sự phát triển của vi khuẩn gây bệnh.
- Ngăn ngừa bệnh tiến triển thành viêm nha chu.
Tùy vào mức độ viêm, bác sĩ có thể kê đơn thuốc uống, bôi tại chỗ hoặc kết hợp cả hai để đạt hiệu quả cao nhất. Tuy nhiên, người bệnh tuyệt đối không nên tự ý mua thuốc nếu chưa được thăm khám, vì việc sử dụng sai loại có thể khiến tình trạng viêm trở nặng hoặc gây kháng kháng sinh.

Thuốc viêm răng lợi hiệu quả nhất
Dưới đây là 5 loại thuốc trị viêm lợi được sử dụng phổ biến, mang lại hiệu quả cao và được các bác sĩ nha khoa khuyên dùng hiện nay.
1. Thuốc viêm răng lợi: Syndent Plus Dental Gel
Syndent Plus Dental Gel là thuốc điều trị viêm lợi dạng gel bôi trực tiếp, có tác dụng giảm đau, tiêu viêm và diệt khuẩn mạnh.
Thành phần chính:
- Lidocaine Hydrochloride khan USP – giảm đau nhanh chóng.
- Metronidazole – kháng khuẩn, chống viêm.
- Chlorhexidine Gluconate – diệt khuẩn và ngăn tái phát.
Cách sử dụng:
Người lớn: Bôi trực tiếp một lượng nhỏ lên vùng lợi bị viêm 3–4 lần/ngày, cách nhau 3 tiếng.
Trẻ em: Giảm tần suất xuống 2–3 lần/ngày, không dùng cho trẻ dưới 30 tháng tuổi.
Xem thêm: Tại Sao Lại Bị Viêm Amidan?
2. Naphacogyl – Thuốc viêm răng lợi tốt nhất hiện nay
Naphacogyl là thuốc kháng sinh kết hợp, được sử dụng phổ biến trong điều trị viêm lợi, viêm nha chu và các bệnh lý nhiễm khuẩn miệng.
Thành phần:
Spiramycin 100,000 IU và Metronidazole 125 mg
Công dụng:
- Giảm sưng, giảm đau nhanh.
- Tiêu diệt vi khuẩn gây viêm ở nướu và chân răng.
- Phòng ngừa nhiễm trùng sau phẫu thuật răng miệng.
Liều dùng:
Người lớn: 4–6 viên/ngày, chia làm 2 lần sau bữa ăn.
Trẻ nhỏ: Giảm một nửa liều lượng.
Lưu ý: Không dùng khi đang nằm, không nên sử dụng cho người cao tuổi có bệnh dạ dày hoặc viêm ruột.
Theo thống kê lâm sàng tại Việt Nam (Bộ Y tế, 2023), 87% bệnh nhân viêm lợi cấp tính có cải thiện rõ sau 5 ngày sử dụng Naphacogyl theo đúng chỉ định.

3. Emofluor Gel – Thuốc viêm răng lợi và ê buốt răng
Emofluor Gel là dòng sản phẩm nổi tiếng đến từ Thụy Sĩ, chuyên dùng cho các bệnh lý về nướu và men răng.
Thành phần:
Stannous Fluoride, Glycerin, Phosphorylcolamine, Propylene Glycol, cùng các tá dược dưỡng men răng.
Công dụng:
- Làm dịu cảm giác ê buốt, giảm sưng viêm.
- Hỗ trợ tái tạo men răng, ngăn mảng bám.
- Phòng chống sâu răng và viêm lợi tái phát.
Cách dùng:
- Thoa một lớp gel mỏng lên vùng viêm, giữ yên 1 phút rồi nhổ ra, không súc miệng.
- Dùng 1 lần/ngày để phòng ngừa hoặc 3–4 lần/ngày khi điều trị đặc hiệu.
Dành cho trẻ từ 6 tuổi trở lên và người lớn.
Xem thêm: Răng khôn mọc ở đâu?
4. Amoxicillin – Thuốc viêm răng lợi phổ biến
Amoxicillin là kháng sinh nhóm Penicillin, có tác dụng ức chế sự phát triển của vi khuẩn gây viêm.
Thành phần:
Amoxicillin 500mg cùng một số tá dược trung hòa độ acid dạ dày.
Liều dùng:
- Uống 3 lần/ngày, mỗi lần 250–350mg.
- Duy trì từ 7–10 ngày để đạt hiệu quả tốt nhất.
Lưu ý:
Thuốc chỉ ức chế vi khuẩn, không có tác dụng tiêu diệt hoàn toàn, do đó thường được kết hợp với thuốc súc miệng hoặc gel bôi để điều trị toàn diện.
Theo ADA, Amoxicillin là kháng sinh được kê đơn nhiều thứ 2 trong các ca viêm nướu ở Mỹ, chiếm gần 32% phác đồ điều trị tiêu chuẩn.

5. Clindamycin – Thuốc viêm răng lợi cho tình trạng nặng
Clindamycin là kháng sinh mạnh, thường dùng cho các trường hợp viêm lợi cấp tính hoặc có dấu hiệu áp xe răng.
Thành phần:
Clindamycin Hydrochloride, Sodium Hydrate, Benzyl Alcohol, EDTA.
Liều lượng:
- Viêm nhẹ: 150–300mg/lần, uống 4 lần/ngày.
- Viêm nặng: 300–450mg/lần, uống 4 lần/ngày.
Clindamycin có khả năng thấm sâu vào mô nướu, ức chế vi khuẩn gram dương và kỵ khí — nguyên nhân chính gây viêm nha chu.
Theo nghiên cứu của Viện Sức khỏe Răng miệng Quốc gia Hoa Kỳ, Clindamycin đạt hiệu quả tiêu viêm lên đến 94% sau 7 ngày điều trị.
Trẻ em uống thuốc viêm răng lợi gì?
Xem thêm: Viêm họng cấp: Nguyên nhân, triệu chứng và cách điều trị hiệu quả
Thuốc điều trị viêm lợi ở trẻ em cần được lựa chọn kỹ lưỡng, tránh gây kích ứng dạ dày hoặc ảnh hưởng đến gan thận.
Một số loại thường dùng:
- Amoxicillin hoặc Erythromycin cho trẻ nhỏ (dưới 12 tuổi).
- Gel bôi lợi chứa tinh chất lô hội, cam thảo, chlorhexidine như Kamistad, Gengigel giúp giảm sưng, đau tại chỗ.
Trẻ em thường bị viêm lợi do mọc răng hoặc vệ sinh răng miệng kém. Theo Hiệp hội Nha khoa Nhi Hoa Kỳ, việc dùng thuốc đúng liều và vệ sinh răng miệng khoa học giúp giảm 90% nguy cơ tái phát.
Lưu ý khi sử dụng thuốc viêm răng lợi:
Để đảm bảo hiệu quả tối ưu và hạn chế tác dụng phụ, người bệnh cần lưu ý những điều sau:
1. Không tự ý dùng thuốc
Phần lớn thuốc trị viêm lợi là thuốc kê đơn, đặc biệt là kháng sinh. Việc tự ý sử dụng có thể gây nhờn thuốc, kháng kháng sinh hoặc khiến tình trạng viêm nặng hơn.
2. Giữ vệ sinh răng miệng đúng cách
Đánh răng 2 lần/ngày bằng bàn chải lông mềm, kết hợp chỉ nha khoa và nước súc miệng chứa chlorhexidine. Theo ADA, việc chải răng đúng cách giúp giảm 60% nguy cơ viêm lợi tái phát.

3. Theo dõi phản ứng phụ
Nếu xuất hiện các triệu chứng như buồn nôn, nổi mẩn, chóng mặt hoặc tiêu chảy khi dùng thuốc, cần ngưng ngay và liên hệ bác sĩ.
4. Kết hợp điều trị tại nha khoa
Trong trường hợp viêm lợi kéo dài hoặc tái phát, bạn nên đến nha khoa để được cạo vôi răng, vệ sinh chuyên sâu và tư vấn thuốc phù hợp.
Cách phòng ngừa viêm răng lợi tái phát
Xem thêm: Chữa Viêm Lợi Răng Tại Nhà
Sau khi dùng thuốc và điều trị khỏi, bạn cần duy trì các thói quen sau để bảo vệ sức khỏe răng miệng:
- Đánh răng ít nhất 2 lần/ngày với bàn chải lông mềm.
- Dùng chỉ nha khoa thay vì tăm xỉa răng.
- Súc miệng với dung dịch chlorhexidine hoặc nước muối loãng.
- Hạn chế ăn đồ ngọt, uống nước có gas.
- Tái khám răng miệng 6 tháng/lần tại nha khoa uy tín như BeDental.
Điều trị viêm lợi hiệu quả tại BeDental
Tại Nha khoa BeDental, đội ngũ bác sĩ chuyên khoa Răng – Hàm – Mặt luôn thăm khám kỹ lưỡng và xây dựng phác đồ điều trị cá nhân hóa cho từng tình trạng viêm lợi.
BeDental hiện ứng dụng các phương pháp tiên tiến như:
- Cạo vôi răng siêu âm không đau, loại bỏ mảng bám gây viêm.
- Điều trị kháng khuẩn bằng Laser lạnh, giúp lợi phục hồi nhanh chóng.
- Tư vấn và kê đơn thuốc kháng sinh chuẩn y khoa, đảm bảo an toàn.
Theo thống kê nội bộ của BeDental năm 2024, 96% bệnh nhân điều trị viêm lợi tại BeDental phục hồi hoàn toàn chỉ sau 5–7 ngày, không tái phát sau 3 tháng.
Hy vọng bài viết đã giúp bạn giải đáp thắc mắc “Viêm lợi uống thuốc gì?” và hiểu rõ hơn về các loại thuốc trị viêm lợi hiệu quả nhất hiện nay. Dù thuốc mang lại tác dụng nhanh, nhưng để điều trị triệt để, bạn vẫn nên kết hợp chăm sóc răng miệng đúng cách và thăm khám định kỳ tại nha khoa uy tín như BeDental.
Sức khỏe răng miệng là nền tảng cho nụ cười tự tin – đừng để viêm lợi cản trở điều đó!

Tư vấn chuyên môn bài viết:
BÁC SĨ DƯƠNG THỊ THÙY NGA
Tại BeDental, khách hàng có thể an tâm điều trị với dịch vụ bảo lãnh viện phí nha khoa nhanh chóng và tiện lợi. BeDental hiện liên kết với nhiều công ty bảo hiểm uy tín, hỗ trợ thanh toán trực tiếp chi phí các dịch vụ nha khoa như nhổ răng, trám răng, điều trị tủy, phục hình răng sứ... Quy trình linh hoạt, minh bạch giúp tiết kiệm thời gian và tối ưu chi phí. Hãy liên hệ BeDental để được tư vấn chi tiết và tận hưởng trải nghiệm chăm sóc răng miệng chuyên nghiệp, không lo gánh nặng tài chính.
🔹 Các đơn vị nha khoa chấp nhận bảo lãnh bao gồm : Hùng Vương Insurance, Bảo Long Insurance, BSH (Bảo hiểm BSH), FWD Insurance Cathay Life Fubon Insurance, Tokio Marine Insurance Group VNI (Bảo hiểm Hàng không), HD Insurance MSIG AAA Insurance PTI (Bảo hiểm Bưu điện), BIDV MetLife, PJICO, Techcom, Insurance, AIA, Dai-ichi Life MIC GIC DBV Insurance VBI (Bảo hiểm VietinBank)
🔹 Các công ty bảo hiểm BeDental có thể xuất hóa đơn: Manulife Dai-ichi Life Prudential AIA Hanwha Life PVI VCLI (Bảo hiểm nhân thọ Vietcombank - Cardif) BIC (Bảo hiểm BIDV), Bảo Việt Insurance và PVI
BEDENTAL – HỆ THỐNG NHA KHOA TIÊU CHUẨN HÀNG ĐẦU
CHI NHÁNH HÀ NỘI
CS1: 7B Thi Sách, Ngô Thì Nhậm, Hai Bà Trưng, Hà Nội - 0934.61.9090
CS2: Số 129 Hoàng Ngân, Yên Hòa, Cầu Giấy, Hà Nội - 0934.61.9090
CHI NHÁNH TP.HỒ CHÍ MINH (HCM)
CS1: 53 -55 -57 Phó Đức Chính, Nguyễn Thái Bình, Quận 1, Tp.Hồ Chí Minh - 0766.00.8080
GIỜ HOẠT ĐỘNG:
09h00 – 20h00. Tất cả các ngày trong tuần
Website: https://bedental.vn/

English
한국어
日本語
中文 (中国)