Viêm lợi răng (hay còn gọi là viêm nướu) là một trong những bệnh lý răng miệng phổ biến nhất hiện nay. Mặc dù không đe dọa trực tiếp đến tính mạng, nhưng viêm lợi lại ảnh hưởng đáng kể đến sức khỏe răng miệng, thẩm mỹ nụ cười và sự tự tin trong giao tiếp hàng ngày.
Vậy viêm lợi răng là gì, nguyên nhân do đâu, triệu chứng ra sao và cách điều trị như thế nào? Cùng các bác sĩ tại BeDental tìm hiểu chi tiết trong bài viết dưới đây.
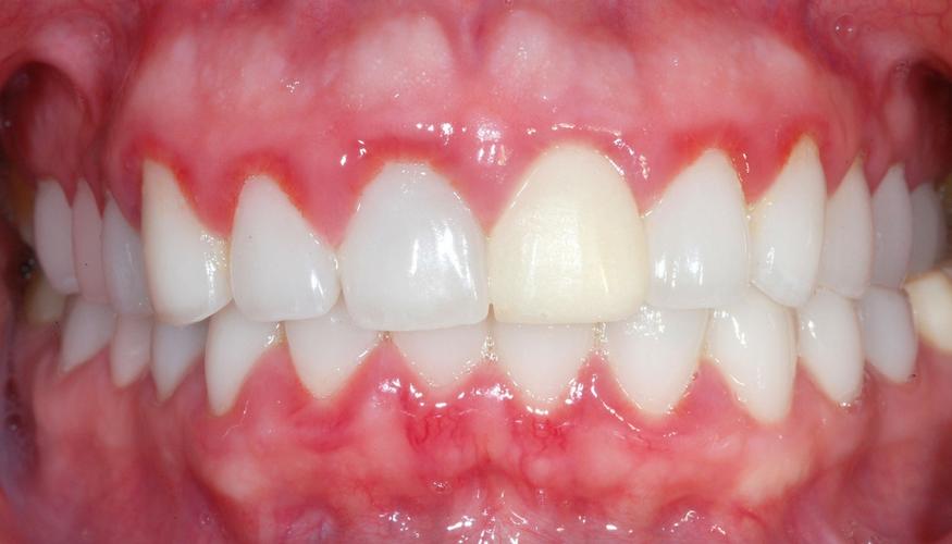
Viêm lợi răng Là Gì? Dấu Hiệu Nhận Biết Tình Trạng Viêm Nướu
Xem thêm: Răng thưa: Nguyên nhân, tác hại và cách khắc phục hiệu quả
Viêm lợi răng (hay còn gọi là viêm nướu) là bệnh lý nha khoa rất phổ biến, xuất phát từ việc không chăm sóc răng miệng tốt. Nguyên nhân chính của viêm lợi răng là do những mảng bám vi khuẩn và cao răng (vôi răng) không được vệ sinh sạch sẽ, tạo điều kiện cho vi khuẩn trong khoang miệng bám vào và gây viêm.
Trong khi đó, việc chải răng hàng ngày hoặc dùng chỉ nha khoa thực tế không thể loại bỏ hết các mảnh vụn thức ăn và mảng bám, chính những mảnh vụn này lâu ngày sẽ tích tụ, hình thành các mảng bám và cao răng.
Số lượng vi khuẩn càng nhiều và mảng bám tồn tại càng lâu thì mức độ bệnh càng nặng. viêm lợi răng không gây nguy hiểm trực tiếp đến tính mạng nhưng thường làm người bệnh khó chịu, đau đớn, hạn chế việc ăn nhai cũng như gây ra mùi khó chịu làm người bệnh mất tự tin trong giao tiếp.
Bình thường, lợi khỏe mạnh sẽ có màu hồng nhạt, chắc khỏe, không sưng đỏ và không bị chảy máu kể cả khi ăn uống hoặc đánh răng. Ở người có lợi khỏe mạnh thì cũng ít xuất hiện các mảng bám và hơi thở cũng thơm tho hơn.

Một số dấu hiệu khi bị viêm lợi răng
- Lợi có màu đỏ, đỏ càng đậm thì tình trạng viêm lợi răng càng nghiêm trọng.
- Lợi sưng và gây đau đớn khi chạm vào hoặc khi nhai.
- Khoang miệng có nhiều cao răng, đặc biệt là ở những vị trí lợi sưng đỏ.
- Lợi dễ chảy máu khi ăn uống hoặc đánh răng, dùng chỉ nha khoa.
- Lợi tụt xuống sâu, lộ chân răng ra ngoài làm chân răng lỏng lẻo, dễ rụng (dấu hiệu của viêm nha chu).
- Miệng có mùi hôi khó chịu.
Ngoài ra, viêm lợi răng còn có thể gặp trong một số trường hợp bệnh lý toàn thân hoặc yếu tố khác như:
- Giảm sức đề kháng, thiếu Vitamin C.
- Xương hàm biến dạng, răng dễ lung lay, răng mọc chậm.
- Niêm mạc miệng khô hoặc bong tróc, hoại tử.
- Thay đổi nội tiết tố (mang thai, dậy thì, mãn kinh).
- Mắc các bệnh mãn tính (tiểu đường, HIV/AIDS).
- Sử dụng một số loại thuốc gây khô miệng.

Viêm lợi răng: Khi Nào Nên Tự Điều Trị Tại Nhà Và Khi Nào Cần Đến Nha Khoa?
Xem thêm: Tư vấn nha khoa: Bạn cần biết gì khi làm răng sứ?
Để biết cách xử lý viêm lợi răng hiệu quả, bạn cần xác định mức độ nghiêm trọng của bệnh. Dựa vào các dấu hiệu đã nêu, bạn có thể phân loại tình trạng của mình như sau:
Tình trạng có thể tự điều trị tại nhà:
Dấu hiệu: Lợi chỉ hơi sưng và có màu đỏ nhạt. Lợi có thể chảy máu nhẹ khi đánh răng hoặc dùng chỉ nha khoa. Hơi thở có mùi hôi nhẹ.
Hướng điều trị: Đây là giai đoạn viêm lợi răng cấp tính, thường có thể được cải thiện bằng cách chăm sóc răng miệng khoa học hơn. Bạn nên tập trung vào việc đánh răng đúng cách, dùng chỉ nha khoa, súc miệng bằng nước muối và áp dụng các mẹo dân gian như dùng dầu dừa, lô hội… để giảm sưng và kháng khuẩn.
Lưu ý: Nếu sau 1-2 tuần các triệu chứng không thuyên giảm, bạn nên đến nha khoa để được kiểm tra.
Tình trạng cần đến nha khoa ngay lập tức:
Dấu hiệu: Lợi sưng đỏ đậm, sưng tấy nhiều, đau nhức dữ dội, đau khi nhai. Hơi thở có mùi hôi nặng. Xuất hiện túi mủ hoặc áp xe nướu. Lợi bị tụt rõ rệt, để lộ chân răng. Răng có dấu hiệu lung lay.
Hướng điều trị: Những dấu hiệu này cho thấy viêm lợi răng đã tiến triển thành viêm nha chu hoặc có biến chứng. Tình trạng này không thể tự điều trị tại nhà. Bác sĩ nha khoa sẽ tiến hành lấy cao răng chuyên sâu (đặc biệt là cao răng dưới nướu), làm sạch túi nha chu và có thể chỉ định dùng kháng sinh để kiểm soát nhiễm trùng. Trong trường hợp nặng, có thể cần phẫu thuật để tái tạo mô nướu và xương nâng đỡ răng.
Việc nhận biết đúng mức độ của bệnh sẽ giúp bạn có hướng xử lý kịp thời, tránh những biến chứng nghiêm trọng và bảo vệ sức khỏe răng miệng lâu dài.
Cách Chữa Viêm Lợi Răng Tại Nhà : Các Biện Pháp Giảm Đau Và Phục Hồi
Để tình trạng viêm lợi răng suy giảm, một giải pháp hiệu quả mà bạn nên áp dụng là lựa chọn những phương pháp và thực phẩm tốt cho việc điều trị. Dưới đây là những cách chữa viêm lợi răng tại nhà có thể áp dụng để giảm triệu chứng khó chịu.
Cách chữa viêm lợi răng tại nhà – Súc Miệng Bằng Nước Muối
Xem thêm: Tại Sao Lại Bị Viêm Amidan?
Muối mang lại rất nhiều lợi ích cho sức khỏe răng miệng. Đây là một chất khử trùng tự nhiên, giúp giảm đau, giảm viêm và chữa lành tổn thương ở lợi. Việc súc miệng nước muối sẽ hỗ trợ điều trị và ngăn ngừa tình trạng viêm lợi răng một cách hiệu quả, và là một trong những cách chữa viêm lợi răng tại nhà được khuyến nghị.
Cách thực hiện:
- Bước 1: Hòa tan 1 – 2 muỗng cà phê muối vào một cốc nước ấm.
- Bước 2: Sử dụng hỗn hợp này để súc miệng kỹ trong vòng 30 giây, đảm bảo nước muối tiếp xúc đều khắp khoang miệng.
- Bước 3: Nhổ ra và súc miệng lại với nước sạch. Mỗi ngày thực hiện 2 – 3 lần, đặc biệt sau bữa ăn và trước khi ngủ.
Cách chữa viêm lợi răng tại nhà – Sử Dụng Dầu Dừa (Phương Pháp Oil Pulling)

Xem thêm: Viêm Lợi Răng Hàm: Nguyên Nhân, Triệu Chứng, Cách Điều Trị Hiệu Quả Và Phòng Ngừa Tái Phát
Chữa viêm lợi răng tại nhà bằng dầu dừa là một cách khá an toàn và được nhiều người áp dụng. Trong dầu dừa có chứa acid lauric và monolaurin có tác dụng kháng khuẩn, chống viêm mạnh mẽ. Nhiều nghiên cứu cho thấy, súc miệng bằng dầu dừa (oil pulling) có thể giảm mảng bám và các triệu chứng viêm lợi răng một cách đáng kể.
Cách thực hiện:
- Bước 1: Ngậm khoảng 5 – 10ml dầu dừa nguyên chất (dầu dừa sẽ tan chảy trong miệng).
- Bước 2: Súc miệng nhẹ nhàng (như súc nước) trong vòng 15 – 20 phút, cẩn thận để tránh dầu dừa dính vào cổ họng hoặc nuốt phải.
- Bước 3: Nhổ dầu ra vào thùng rác (để tránh tắc cống) và súc miệng lại bằng nước sạch.
- Bước 4: Uống một cốc nước đầy và đánh răng như bình thường. Nên thực hiện mỗi ngày vào buổi sáng khi chưa ăn gì.
Cách chữa viêm lợi răng tại nhà – Sử Dụng Gel Nghệ
Nhờ đặc tính kháng viêm hiệu quả, súc miệng bằng gel nghệ có thể giúp giảm tình trạng tích tụ mảng bám ở bề mặt răng – nguyên nhân hàng đầu gây ra tình trạng viêm lợi răng và các bệnh lý về răng miệng khác. Ngoài ra, nghệ cũng có tính kháng khuẩn nên có thể giúp chữa lành tình trạng sưng lợi, chảy máu chân răng.
Cách thực hiện:
- Bước 1: Vệ sinh răng miệng sạch sẽ.
- Bước 2: Nghệ tươi đem đi ép/giã lấy nước và sử dụng để bôi vào vùng lợi bị viêm.
- Bước 3: Sau 10 phút thì súc miệng lại với nước sạch để loại bỏ phần gel nghệ. Bạn có thể thực hiện cách này 2 lần/ngày.
Cách chữa viêm lợi răng tại nhà – Sử Dụng Lá Đinh Hương
Xem thêm: Răng khôn mọc ở đâu?
Đinh hương có tác dụng giảm đau, kháng khuẩn, chống viêm, đồng thời ngăn ngừa sự hình thành của mảng bám trên răng. Vì vậy, có thể sử dụng đinh hương để hỗ trợ điều trị bệnh viêm lợi răng.
Cách thực hiện:
- Bước 1: Rửa lá đinh hương cho thật sạch.
- Bước 2: Xay nhuyễn lá đinh hương và chắt lấy nước cốt.
- Bước 3: Dùng tăm bông thấm nước cốt và bôi trực tiếp lên vùng lợi bị viêm.
- Bước 4: Súc miệng lại với nước sạch.
Cách chữa viêm lợi răng tại nhà – Súc Miệng Bằng Nước Lá Ổi
Từ lâu, người ta đã sử dụng lá ổi để chữa các bệnh về răng miệng. Lá ổi có tính kháng khuẩn, kháng viêm, giúp kiểm soát sự phát triển của mảng bám, săn se niêm mạc miệng, cải thiện tình trạng viêm lợi răng.
Cách thực hiện:
- Bước 1: Chọn 5 – 10 lá ổi không non cũng không quá già, rửa sạch.
- Bước 2: Giã nát và đun sôi với nước.
- Bước 3: Đợi hỗn hợp nguội rồi cho một chút muối vào.
- Bước 4: Súc miệng với hỗn hợp này trong vòng 30 giây rồi súc miệng lại nước sạch. Thực hiện lặp lại từ 2 – 3 lần mỗi ngày.
Biện Pháp Ngăn Ngừa viêm lợi răng Và Duy Trì Nướu Khỏe Mạnh

Bạn có thể áp dụng các biện pháp sau đây để giảm nguy cơ viêm lợi răng và phòng ngừa tái phát:
Đánh răng đúng cách và đều đặn: Đánh răng mỗi ngày 2 lần vào buổi sáng và tối, nếu cần thiết có thể đánh răng sau bữa ăn. Sử dụng bàn chải đánh răng có lông mềm để tránh làm lợi tổn thương. Định kỳ 3 – 4 tháng nên thay bàn chải mới hoặc sớm hơn nếu thấy bàn chải bị sờn, xơ.
Sử dụng chỉ nha khoa và nước súc miệng: Sử dụng chỉ nha khoa để làm sạch các kẽ răng, hạn chế tích tụ mảng bám. Kết hợp với nước súc miệng (không cồn) để loại bỏ triệt để vi khuẩn và mảng bám trong miệng.
Không hút thuốc lá: Hút thuốc lá có thể khiến cho sức khỏe răng, nướu ngày một xấu đi, làm giảm khả năng tự lành của lợi.
Chế độ ăn uống khoa học: Ăn nhiều rau củ quả để cung cấp đủ vitamin và khoáng chất cho cơ thể. Hạn chế thực phẩm nhiều đường và axit.
Lấy cao răng định kỳ: Định kỳ lấy cao răng 6 tháng/lần giúp ngăn ngừa sự hình thành và tích tụ mảng bám cứng đầu, đảm bảo sức khỏe răng miệng tốt hơn.
Xem thêm: Viêm họng cấp: Nguyên nhân, triệu chứng và cách điều trị hiệu quả
Khám và điều trị viêm lợi răng tại BeDental
BeDental là hệ thống nha khoa tiêu chuẩn quốc tế, được nhiều khách hàng tin chọn trong điều trị các bệnh lý răng miệng, đặc biệt là viêm lợi răng và viêm nha chu.
Tại BeDental, bạn sẽ được:
- Bác sĩ chuyên khoa thăm khám kỹ lưỡng, chẩn đoán đúng nguyên nhân.
- Sử dụng công nghệ làm sạch cao răng bằng sóng siêu âm hiện đại, không đau.
- Phác đồ điều trị cá nhân hóa, an toàn, nhanh hồi phục.
- Chi phí minh bạch, tư vấn tận tâm.
Viêm lợi răng là bệnh lý phổ biến nhưng hoàn toàn có thể phòng ngừa và điều trị dứt điểm nếu phát hiện sớm và tuân thủ hướng dẫn của bác sĩ. Việc duy trì thói quen chăm sóc răng miệng khoa học, vệ sinh định kỳ và khám răng thường xuyên tại BeDental sẽ giúp bạn sở hữu hàm răng khỏe đẹp, nướu hồng tự nhiên và hơi thở thơm mát lâu dài.

Tư vấn chuyên môn bài viết:
BÁC SĨ DƯƠNG THỊ THÙY NGA
Tại BeDental, khách hàng có thể an tâm điều trị với dịch vụ bảo lãnh viện phí nha khoa nhanh chóng và tiện lợi. BeDental hiện liên kết với nhiều công ty bảo hiểm uy tín, hỗ trợ thanh toán trực tiếp chi phí các dịch vụ nha khoa như nhổ răng, trám răng, điều trị tủy, phục hình răng sứ... Quy trình linh hoạt, minh bạch giúp tiết kiệm thời gian và tối ưu chi phí. Hãy liên hệ BeDental để được tư vấn chi tiết và tận hưởng trải nghiệm chăm sóc răng miệng chuyên nghiệp, không lo gánh nặng tài chính.
🔹 Các đơn vị nha khoa chấp nhận bảo lãnh bao gồm : Hùng Vương Insurance, Bảo Long Insurance, BSH (Bảo hiểm BSH), FWD Insurance Cathay Life Fubon Insurance, Tokio Marine Insurance Group VNI (Bảo hiểm Hàng không), HD Insurance MSIG AAA Insurance PTI (Bảo hiểm Bưu điện), BIDV MetLife, PJICO, Techcom, Insurance, AIA, Dai-ichi Life MIC GIC DBV Insurance VBI (Bảo hiểm VietinBank)
🔹 Các công ty bảo hiểm BeDental có thể xuất hóa đơn: Manulife Dai-ichi Life Prudential AIA Hanwha Life PVI VCLI (Bảo hiểm nhân thọ Vietcombank - Cardif) BIC (Bảo hiểm BIDV), Bảo Việt Insurance và PVI

English
한국어
日本語
中文 (中国)