Lỗ sâu răng vào tủy là tình trạng răng sâu đã trở nên nghiêm trọng và lan đến tủy răng. Nếu không được điều trị kịp thời, khi tủy răng bị phá hủy sẽ làm ảnh hưởng đến sức khỏe răng miệng cũng như sức khỏe toàn thân. Vậy lỗ răng sâu vào tủy có nguy hiểm không? Cách phòng ngừa lỗ sâu răng? Địa chỉ điều trị chữa sâu răng uy tín…Hãy cùng BeDental tìm hiểu các dấu hiệu cảnh báo sâu răng và cách trị lỗ sâu răng bị thủng lỗ vào tủy.
Thế nào là lỗ sâu răng vào tủy ?
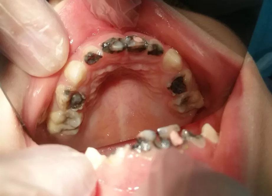
Lỗ sâu răng vào tủy là tình trạng sâu răng tiến triển nặng, vi khuẩn đã phá hủy lớp men răng và ngà răng, xâm nhập vào tủy răng – nơi chứa các dây thần kinh và mạch máu. Khi đó, người bệnh thường cảm thấy đau nhức dữ dội, ê buốt kéo dài, đặc biệt khi ăn uống nóng, lạnh hoặc ngọt. Nếu không điều trị kịp thời, vi khuẩn có thể gây viêm tủy, áp xe răng và thậm chí mất răng.
🔹 Dấu hiệu nhận biết:
✔ Đau răng liên tục, đặc biệt vào ban đêm
✔ Nhạy cảm với nhiệt độ và thực phẩm ngọt
✔ Xuất hiện mủ hoặc sưng nướu quanh răng sâu
✔ Có lỗ sâu lớn, đen, đôi khi nhìn thấy phần tủy răng bị tổn thương
Giải pháp điều trị: Khi sâu răng đã vào tủy, phương pháp điều trị phổ biến là lấy tủy răng, làm sạch ống tủy và trám hoặc bọc răng sứ để bảo vệ răng. Để tránh biến chứng, nên thăm khám nha sĩ sớm khi có dấu hiệu sâu răng.

>>> Xem thêm: Bé bị sún răng: Nguyên nhân & cách điều trị
Cách nhận biết tình trạng lỗ răng sâu vào tủy qua các giai đoạn
Lỗ sâu răng bị thủng lỗ vào tủy thường được nhận biết qua 3 giai đoạn sâu răng:
Giai đoạn thứ nhất: Bạn sẽ cảm thấy ê buốt răng khi ăn các đồ ăn nóng hoặc lạnh, khi huýt gió hoặc khi khí hậu thay đổi. Những cơn đau răng có thể kéo đến bất chợt. Bạn phải cố tránh nhai thức ăn ở nơi bị sâu răng.
Giai đoạn thứ hai: Khi không điều trị kịp thời, các cơn đau răng sẽ kéo đến và dai dẳng hơn. Bạn có thể sẽ cảm thấy ê buốt răng cả một vùng hoặc lan rộng ra ra các nơi khác. Bạn sẽ cảm thấy đau đầu kèm theo cơn đau răng. Tình trạng đau sẽ kéo dài cả ngày và đau nhiều khi về đêm. Cơn đau răng sẽ làm bạn gặp khó khăn trong sinh hoạt. Ảnh hưởng rất nhiều đến ăn uống. Đây là dấu hiệu của tình trạng viêm tủy răng.
Giai đoạn thứ ba: Ở giai đoạn này, bạn sẽ không cảm thấy đau răng khi vì tủy răng đã chết. Bạn sẽ cảm thấy hôi miệng khi thức ăn bị kẹt trong lỗ sâu răng. Tình trạng viêm lợi sẽ xảy ra và lan ra các răng xung quanh. Khoảng thời gian tiếp theo, bạn sẽ thấy răng của bạn sẽ bị vỡ, gãy do sâu răng. Tình trạng sâu răng vẫn sẽ tiếp tục phát triển và gây ra mất chân răng. Các nốt trắng ở lợi sẽ bắt đầu mọc dần và tạo ra các ổ mủ, làm mặt sưng. Lúc này, bạn có thể sẽ cảm thấy các cơn đau dữ dội hoặc không.

>>> Xem thêm: Trẻ bị sâu răng hàm – Những điều mà phụ huynh cần lưu ý
Các biến chứng khi lỗ sâu răng bị thủng lỗ vào tủy.
Lỗ sâu răng vào tuỷ có nguy hiểm không? Khi răng bị thủng lỗ vào sâu trong tủy, sẽ tạo ra những lỗ hổng lớn trên răng. Điều đó khiến thức ăn mắc kẹt vào lỗ răng gây ra ổ viêm. Khi vi khuẩn sâu răng lan đến tủy răng sẽ tạo ra phản ứng và gây đau. Các mảng thức ăn bám vào răng cũng va chạm với tủy khiến cơn đau càng trở nên dữ dội hơn. Tình trạng viêm lợi sẽ lan rộng đến các răng bên cạnh, gây ra tình trạng hôi miệng và đau sưng.
- Sâu răng lan rộng phá hủy men răng, thân răng và chân răng. Răng bị phá hủy không thể đảm nhận chức năng nhai. Lực nhai bị giảm sút. Thức ăn không được nghiền nát dẫn đến cơ thể tiêu hóa không được tốt. Nghiêm trọng hơn, khi phần sâu răng ăn sâu vào tủy. Thân răng sẽ bị phá vỡ hoàn toàn và phần chân răng cũng không thể giữ được. Khi không điều trị kịp thời sâu răng còn có thể gây viêm nhiễm tới vùng cuống răng gây nên tình trạng viêm nhiễm sâu răng ở vùng chóp.
- Gây biến dạng khuôn mặt: Viêm nhiễm sâu răng ở vùng chóp sẽ tạo ra các ổ mủ và gây ra tình trạng sưng làm biến dạng khuôn mặt nghiêm trọng.
- Bị mất nhiều răng và tổn thương thần kinh: Khi tình trạng này kéo dài, các ổ nhiễm trùng sẽ lan rộng đến các răng bên cạnh. Nếu không thể điều trị kịp thời bạn sẽ gặp phải tình trạng mất nhiều răng. Một khi ổ nhiễm trùng lan rộng và mất kiểm soát. Xương hàm có thể bị phá hủy, gãy và gây tổn thương thần kinh, mạch máu…
Cách trị lỗ sâu răng vào tủy răng hiệu quả.
Nếu phát hiện tình trạng sâu răng sớm, bạn nên đến nha khoa để điều trị kịp thời trước khi vi khuẩn sâu răng xâm nhập đến tủy răng. Cách trị lỗ sâu răng vào tủy phổ biến nhất hiện nay là chữa tủy răng, cắt cuống (chóp răng), nhổ răng.
Cách trị lỗ sâu răng bằng phương pháp chữa tủy răng.
Để có thể chữa tủy răng, đầu tiên bác sĩ sẽ bắt đầu gây tê răng và tiến hành mở buồng tủy và lấy sạch tủy bị viêm nhiễm ở buồng tủy và các ống tủy. Sau khi ống tủy đã được lấy tủy sạch sẽ được lấp đầy các vật liệu để trám bít ống tủy, Phần thân răng bị mỡ, mẻ sẽ được phục hồi lại bằng các phương pháp tạo hình và chụp răng lại để bảo vệ răng và phục hồi chức năng nhai.
Trong một vài trường hợp, chữa tủy 1 lần vẫn có thể sẽ không giải quyết triệt để tình trạng sâu răng. Khi đó bạn cần phải chữa tủy răng lại một lần nữa. Quy trình chữa tủy lại cũng được thực hiện như quy trình chữa tủy răng nhưng thay vì lấy tủy răng, bác sĩ nha khoa sẽ lấy các chất trám bít trong tủy ra và sau khi làm sạch sẽ đặt các chất trám bít lại vào trong ống tủy.

>>> Xem thêm: 3 Mức độ sâu răng: Dấu hiệu, nguyên nhân & cách điều trị
Cách trị lỗ sâu răng bằng phương pháp cắt cuống chóp răng.
Cắt cuống răng hay chóp răng là cách trị sâu răng hàm không đau. Đầu tiên, bác sĩ nha khoa sẽ rạch lợi, bỏ xương để loại bỏ hoàn toàn chóp răng và ổ viêm nhiễm. Phần tủy ở chân răng sẽ được lấp đầy bởi vật liệu trám bít, còn phần xương răng sẽ được lấp đầy bằng xương nhân tạo và cuối cùng là khâu lại phần niêm mạc bị rạch.
Cách trị lỗ sâu răng bằng phương pháp nhổ răng.
Khi tình trạng viêm tủy răng trở nên nghiêm trọng thì bạn sẽ không thể tránh khỏi tình trạng phải nhổ bỏ răng. Bác sĩ sẽ gây tê để làm giảm cơn đau và giữ cho bạn cảm giác thoải mái khi loại bỏ răng. Bằng các phương pháp và công nghệ nhổ răng hiện đại, chiếc răng sẽ được nhổ ra và ổ nhiễm trùng ở vùng chóp răng cũng được loại bỏ. Sau khi nhổ răng, bạn cần lưu ý hướng dẫn của bác sĩ để vết thương mau chóng lành và làm răng giả để lắp vào vị trí vừa nhổ răng.
Bên cạnh đó, nếu xương hàm bị mất do nhiễm trùng răng, bạn có thể sẽ phải làm thêm các cuộc phẫu thuật về cắt đoạn xương hàm, ghép xương…

Cách trị sâu răng có lỗ tại nhà
Khi sâu răng đã hình thành lỗ, việc điều trị lỗ sâu răng tại nhà chỉ giúp giảm đau tạm thời, không thể chữa khỏi hoàn toàn. Một số biện pháp giúp giảm ê buốt và hạn chế vi khuẩn phát triển gồm:
🔹 Súc miệng bằng nước muối ấm: Giúp sát khuẩn, giảm viêm và làm sạch khoang miệng.
🔹 Dùng tinh dầu đinh hương: Thoa trực tiếp lên răng sâu để giảm đau, vì đinh hương có tính kháng khuẩn và gây tê nhẹ.
🔹 Chườm lạnh: Áp túi đá lên má ngoài vị trí răng đau khoảng 15 phút để giảm sưng và ê buốt.
🔹 Sử dụng tỏi hoặc gừng: Giã nát và đắp lên lỗ sâu để kháng khuẩn, giảm viêm.
⚠ Lưu ý: Các phương pháp trên chỉ là giải pháp tạm thời. Nếu lỗ sâu răng đã lớn, vi khuẩn có thể tấn công vào tủy gây viêm nhiễm nghiêm trọng. Vì vậy, bạn nên đến nha khoa sớm để được điều trị dứt điểm bằng trám răng, bọc răng sứ hoặc lấy tủy nếu cần thiết.
Cách phòng ngừa lỗ sâu răng phát triển
Để ngăn chặn lỗ sâu răng tiến triển nặng hơn, bạn cần duy trì thói quen chăm sóc răng miệng đúng cách và có chế độ ăn uống hợp lý. Trước hết, đánh răng ít nhất 2 lần/ngày với kem đánh răng chứa fluor và sử dụng chỉ nha khoa để làm sạch kẽ răng, giúp loại bỏ mảng bám và vi khuẩn gây sâu răng. Ngoài ra, hạn chế ăn thực phẩm chứa nhiều đường, tinh bột và nước có gas, vì chúng tạo môi trường thuận lợi cho vi khuẩn phát triển.
Bên cạnh đó, sử dụng nước súc miệng sát khuẩn hoặc fluor để bảo vệ men răng và đi khám nha khoa định kỳ 6 tháng/lần giúp phát hiện và điều trị sớm các lỗ sâu nhỏ trước khi chúng lan rộng vào tủy. Nếu có dấu hiệu ê buốt hoặc xuất hiện lỗ sâu, nên đến nha sĩ ngay để được điều trị kịp thời, tránh biến chứng nặng hơn.

Địa chỉ điều trị chữa sâu răng uy tín.
Nếu bạn gặp phải tình trạng tủy răng lan rộng đến tủy cũng đừng quá lo lắng, hãy đến gặp ngay bác sĩ nha khoa tại BeDental để được tư vấn và điều trị hiệu quả, tránh để mất răng toàn hàm. Với nhiều năm kinh nghiệm trong lĩnh vực nha khoa, BeDental địa chỉ điều trị chữa sâu răng uy tín luôn được khách hàng đánh giá cao về chất lượng và dịch vụ khám và điều trị các bệnh lý về răng miệng.
Chi phí điều trị lỗ sâu răng tại BeDental
Chi phí điều trị lỗ sâu răng tại BeDental phụ thuộc vào nhiều yếu tố như mức độ sâu răng, vị trí răng, vật liệu trám. Dưới đây là một số thông tin tham khảo:
1. Trám răng sâu:
-
Vật liệu Composite: Đây là vật liệu trám phổ biến nhờ tính thẩm mỹ cao, có màu sắc tương đồng với răng thật. Chi phí trám răng bằng Composite thường dao động từ 200.000 đến 400.000 VNĐ/răng.
-
Vật liệu GIC (Glass Ionomer Cement): Loại vật liệu này có chứa fluor, giúp ngăn ngừa sâu răng tái phát. Chi phí trám răng bằng GIC thường từ 80.000 đến 200.000 VNĐ/răng.
-
Phương pháp Inlay/Onlay sứ: Được áp dụng cho các trường hợp răng sâu lớn hoặc bị vỡ, phương pháp này sử dụng miếng trám sứ chế tác riêng, có độ bền và thẩm mỹ cao. Chi phí cho phương pháp này thường từ 2.000.000 đến 5.000.000 VNĐ/răng.
2. Điều trị tủy răng:
Nếu lỗ sâu răng đã ảnh hưởng đến tủy, cần tiến hành điều trị tủy trước khi trám hoặc bọc sứ. Chi phí điều trị tủy dao động từ 600.000 đến 1.800.000 VNĐ/răng, tùy thuộc vào vị trí và mức độ phức tạp.
3. Nhổ răng sâu:
Trong trường hợp răng bị hư hỏng nặng không thể phục hồi, việc nhổ răng có thể được xem xét. Chi phí nhổ răng thường từ 500.000 đến 800.000 VNĐ/răng đối với răng thông thường, và từ 1.000.000 đến 5.000.000 VNĐ/răng đối với răng khôn.
Lưu ý: Các mức chi phí trên chỉ mang tính tham khảo và có thể thay đổi tùy thuộc vào cơ sở nha khoa, tay nghề bác sĩ và tình trạng cụ thể của răng. Để biết chi phí chính xác, bạn nên đến trực tiếp các phòng khám nha khoa BeDental để được thăm khám và tư vấn cụ thể.
BeDental luôn tự hào là nha khoa chất lượng tốt, với đội ngũ bác sĩ nha khoa chuyên nghiệp, máy móc hiện đại giúp khách hàng không cảm thấy đau trong quá trình khám cũng như điều trị răng. Hãy đến nha khoa BeDental nếu bạn cần được khám và điều trị các bệnh lý về răng.
- Cách trị sâu răng tại nhà hiệu quả & an toàn
- Lá gì chữa sâu răng? BeDental giải đáp
- Cách cách điều trị đau sâu răng
- Sâu răng trên bề mặt và cách xử lý hiệu quả
- Sâu răng trẻ em: Nguyên nhân & cách điều trị
Tư vấn chuyên môn bài viết:
BÁC SĨ ĐÀM TRỌNG HIẾU
Tại BeDental, khách hàng có thể an tâm điều trị với dịch vụ bảo lãnh viện phí nha khoa nhanh chóng và tiện lợi. BeDental hiện liên kết với nhiều công ty bảo hiểm uy tín, hỗ trợ thanh toán trực tiếp chi phí các dịch vụ nha khoa như nhổ răng, trám răng, điều trị tủy, phục hình răng sứ... Quy trình linh hoạt, minh bạch giúp tiết kiệm thời gian và tối ưu chi phí. Hãy liên hệ BeDental để được tư vấn chi tiết và tận hưởng trải nghiệm chăm sóc răng miệng chuyên nghiệp, không lo gánh nặng tài chính.
🔹 Các đơn vị nha khoa chấp nhận bảo lãnh bao gồm : Hùng Vương Insurance, Bảo Long Insurance, BSH (Bảo hiểm BSH), FWD Insurance Cathay Life Fubon Insurance, Tokio Marine Insurance Group VNI (Bảo hiểm Hàng không), HD Insurance MSIG AAA Insurance PTI (Bảo hiểm Bưu điện), BIDV MetLife, PJICO, Techcom, Insurance, AIA, Dai-ichi Life MIC GIC DBV Insurance VBI (Bảo hiểm VietinBank)
🔹 Các công ty bảo hiểm BeDental có thể xuất hóa đơn: Manulife Dai-ichi Life Prudential AIA Hanwha Life PVI VCLI (Bảo hiểm nhân thọ Vietcombank - Cardif) BIC (Bảo hiểm BIDV), Bảo Việt Insurance và PVI

English
한국어
日本語
中文 (中国)