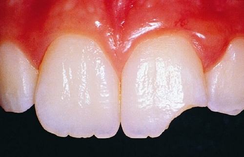
Răng mẻ là tình trạng khá phổ biến, có thể xảy ra do va đập, nghiến răng hay yếu men răng. Tuy nhiên, trong dân gian, hiện tượng răng bị mẻ lại được xem là điềm báo xui xẻo, ảnh hưởng đến tài lộc và tình duyên. Liệu điều này có thật sự đúng hay chỉ là quan niệm truyền miệng? Và theo nha khoa hiện đại, vì sao răng lại bị mẻ, có nguy hiểm không, điều trị thế nào?
Hãy cùng BeDental tìm hiểu chi tiết về nguyên nhân, ý nghĩa, cách xử lý và phòng ngừa răng mẻ qua bài viết sau.
Răng mẻ có phải là điềm không lành?

Trong tướng số Á Đông, hàm răng không chỉ phản ánh sức khỏe mà còn được cho là thể hiện vận mệnh, tài lộc và nhân duyên của mỗi người. Vì thế, nhiều người cho rằng khi bị mẻ răng không chảy máu, đó có thể là điềm báo không tốt.
1. Răng mẻ – điềm báo hao tài, mất lộc
Người xưa quan niệm rằng “răng chắc – vận tốt, răng mẻ – tài lộc sứt mẻ”. Theo đó, hàm răng đại diện cho cung tài lộc, nên việc răng bị sứt mẻ có thể báo hiệu giai đoạn sắp tới bạn dễ gặp vấn đề về tài chính hoặc công việc như mất tiền, kinh doanh trục trặc, hoặc vận may giảm sút.
2. Răng mẻ – điềm báo rạn nứt tình cảm
Trong nhân tướng học, hàm răng đều và trắng tượng trưng cho người có đường tình duyên thuận lợi. Ngược lại, khi răng bị gãy hoặc sứt mẻ, người ta cho rằng đây là điềm báo tình cảm có thể gặp sóng gió, thậm chí tan vỡ trong một mối quan hệ quan trọng.
3. Răng mẻ – cảnh báo sức khỏe có vấn đề
Ngoài yếu tố tâm linh, răng mẻ thực tế cũng là tín hiệu sức khỏe. Theo các bác sĩ của Hiệp hội Nha khoa Hoa Kỳ (ADA), men răng yếu, thiếu canxi hoặc thiếu fluor lâu dài khiến cấu trúc răng dễ gãy vỡ. Do đó, răng mẻ có thể là dấu hiệu cơ thể bạn đang thiếu dưỡng chất hoặc có bệnh lý răng miệng tiềm ẩn.
Lưu ý: Các quan niệm về “điềm báo” chỉ mang tính tham khảo dân gian, chưa có cơ sở khoa học chứng minh. Khi răng bị mẻ, thay vì lo lắng về điềm xui, bạn nên đến nha khoa uy tín để được kiểm tra và điều trị kịp thời, tránh biến chứng nguy hiểm.
Xem thêm: Bị nứt chân răng có nguy hiểm không? 1 số cách điều trị
Nhìn nhận răng mẻ theo góc độ nha khoa
Theo nha khoa hiện đại, tình trạng răng bị mẻ xảy ra khi cấu trúc men răng và ngà răng bị tổn thương do các yếu tố cơ học hoặc hóa học. Dưới đây là những nguyên nhân phổ biến khiến răng bị sứt mẻ.
1. Tai nạn hoặc va đập mạnh
Va chạm, té ngã, chơi thể thao không mang bảo vệ răng, hoặc tai nạn giao thông có thể gây gãy hoặc mẻ răng – đặc biệt là ở răng cửa, nơi dễ bị tổn thương nhất.
2. Tật nghiến răng khi ngủ
Theo thống kê của Hiệp hội Nha khoa Hoa Kỳ, có tới 10–15% người trưởng thành bị nghiến răng ban đêm. Việc hai hàm răng siết chặt liên tục tạo ra lực lớn gấp 5–10 lần lực nhai bình thường, làm men răng mòn nhanh và dẫn đến sứt mẻ.
3. Thói quen xấu hàng ngày
Một số thói quen tưởng như vô hại lại là “kẻ thù” của răng:
- Nhai đá lạnh, cạp xương, cắn vật cứng
- Dùng răng mở nắp chai
- Ăn quá nhiều thực phẩm dai, khô hoặc cứng
Những thói quen này lâu dài sẽ khiến men răng bị tổn thương, dễ dẫn đến răng bị nứt, sứt hoặc mẻ.
4. Do sâu răng và vi khuẩn tấn công
Vi khuẩn gây sâu răng (Streptococcus mutans) phá hủy men răng và xâm nhập vào ngà, khiến răng yếu và dễ gãy mẻ. Theo Tổ chức Y tế Thế giới (WHO), gần 60–90% dân số toàn cầu từng bị sâu răng, và nếu không điều trị sớm, đây là nguyên nhân hàng đầu gây mẻ răng.
5. Thiếu khoáng chất, răng bị khử khoáng
Cơ thể thiếu canxi, phospho, vitamin D sẽ khiến men răng yếu. Quá trình khử khoáng xảy ra liên tục khi ăn đồ chua, uống nước có gas, hoặc sử dụng sản phẩm có tính axit cao cũng là yếu tố khiến răng dễ bị sứt mẻ.
Răng mẻ gây ảnh hưởng gì?

Tình trạng răng bị mẻ không chỉ là vấn đề thẩm mỹ mà còn ảnh hưởng trực tiếp đến sức khỏe răng miệng và hệ tiêu hóa nếu không được điều trị sớm.
1. Ảnh hưởng thẩm mỹ và giao tiếp
Răng cửa bị mẻ khiến nụ cười mất cân đối, khiến nhiều người mất tự tin khi nói chuyện hoặc cười. Theo khảo sát của ADA, hơn 70% người có khuyết điểm răng miệng thừa nhận họ ngại cười nơi công cộng.
2. Gây khó khăn trong ăn nhai
Răng bị mẻ làm giảm khả năng cắn, xé, nghiền thức ăn, khiến việc tiêu hóa không hiệu quả, lâu dần có thể gây áp lực lên dạ dày và các cơ nhai.
3. Ảnh hưởng phát âm
Nếu vị trí răng bị mẻ là răng cửa hoặc răng nanh, việc phát âm sẽ bị méo tiếng, nói không tròn chữ, đặc biệt với các âm gió như “s”, “x”, “ch”.
4. Tăng nguy cơ sâu răng, viêm tủy
Phần răng bị mẻ tạo ra kẽ hở cho mảng bám, vi khuẩn và vụn thức ăn tích tụ, gây sâu răng, viêm tủy hoặc áp xe. Nếu không xử lý kịp thời, vi khuẩn có thể lan xuống xương ổ răng, dẫn đến mất răng sớm.
Cách điều trị răng mẻ hiệu quả
Tại Nha khoa BeDental, bác sĩ sẽ dựa vào mức độ tổn thương răng để đưa ra hướng điều trị phù hợp. Dưới đây là các phương pháp khắc phục răng mẻ được áp dụng phổ biến hiện nay.
1. Trám răng Composite

- Phù hợp: Răng mẻ nhẹ, không tổn thương tủy.
- Ưu điểm: Nhanh, thẩm mỹ, chi phí hợp lý (chỉ từ 300.000–800.000 VNĐ/răng). Bác sĩ sẽ làm sạch phần mẻ, sau đó trám vật liệu Composite có màu tương tự men răng, rồi chiếu đèn quang trùng hợp để đông cứng. Răng phục hồi gần như nguyên trạng, đảm bảo chức năng ăn nhai.
2. Dán sứ Veneer
- Phù hợp: Răng mẻ ở vùng răng cửa, yêu cầu thẩm mỹ cao.
- Ưu điểm: Giữ răng thật, bền từ 10–15 năm, bề mặt sáng bóng tự nhiên. Bác sĩ chỉ cần mài một lớp men rất mỏng rồi dán lớp sứ Veneer siêu mỏng (0.3–0.5mm). Sau khi hoàn thiện, răng sẽ trắng sáng và đều màu, cải thiện đáng kể nụ cười.
3. Bọc răng sứ toàn phần
- Phù hợp: Răng mẻ lớn, ảnh hưởng đến tủy.
- Ưu điểm: Bảo vệ răng thật tối đa, thẩm mỹ cao, tuổi thọ 15–20 năm. Sau khi điều trị tủy, bác sĩ sẽ bọc mão sứ Zirconia hoặc Cercon lên răng để phục hồi hình dáng và độ bền. Theo Hiệp hội Nha khoa Thẩm mỹ Quốc tế (AACD), bọc răng sứ giúp phục hồi tới 95% khả năng ăn nhai so với răng tự nhiên.
4. Nhổ răng và trồng Implant
Nếu răng bị mẻ nặng, gãy sâu đến chân, không thể phục hồi, bác sĩ sẽ chỉ định nhổ răng và trồng răng Implant.
Trụ Implant titanium cắm trực tiếp vào xương hàm giúp thay thế chân răng thật, đảm bảo ăn nhai tự nhiên. Tuổi thọ trung bình của răng Implant có thể lên đến trên 25 năm nếu chăm sóc đúng cách.
Tìm hiểu về trám răng: Phương pháp trám răng là gì?
Chi phí điều trị răng mẻ ở nha khoa BeDental
Tùy vào từng tình trạng, cơ sở điều trị và chuyên môn bác sĩ cũng như phương pháp mà bệnh nhân lựa chọn mà chi phí điều trị sẽ dao động khác nhau.
Bạn hãy tham khảo bảng giá dưới đây của BeDental:
Cách phòng ngừa răng mẻ hiệu quả
Để hạn chế tối đa tình trạng sứt mẻ răng, bác sĩ tại BeDental khuyên bạn nên tuân thủ những hướng dẫn sau:
- Đánh răng 2–3 lần/ngày bằng bàn chải lông mềm và kem chứa Fluor.
- Sử dụng chỉ nha khoa, máy tăm nước và nước súc miệng để loại bỏ mảng bám.
- Bổ sung thực phẩm giàu canxi và vitamin D như sữa, phô mai, cá hồi, trứng.
- Tránh dùng răng cắn đồ cứng như xương, nắp chai, hoặc nhai đá.
- Hạn chế đồ uống có gas, rượu bia và đồ chua, vì axit gây mòn men răng.
- Thăm khám nha khoa định kỳ 6 tháng/lần để phát hiện sớm các tổn thương men răng, sâu răng hay nứt mẻ.
Xem thêm: SO SÁNH BỌC RĂNG SỨ HAY TRỒNG RĂNG IMPLANT: LOẠI NÀO TỐT ?
BeDental – Địa chỉ phục hình răng mẻ uy tín tại Việt Nam

Nếu bạn đang gặp tình trạng răng mẻ, răng gãy, răng nứt nhẹ, hãy đến Nha khoa BeDental – hệ thống nha khoa thẩm mỹ và phục hình tiêu chuẩn châu Âu tại Việt Nam.
BeDental sở hữu đội ngũ bác sĩ chuyên môn cao, công nghệ CAD/CAM 3D hiện đại, và vật liệu sứ chính hãng nhập khẩu từ Đức, Mỹ, Nhật.
Ưu điểm khi phục hình răng mẻ tại BeDental:
- Chẩn đoán chính xác nguyên nhân mẻ răng bằng máy X-quang kỹ thuật số.
- Ứng dụng công nghệ phục hình sứ 3D, đảm bảo khớp cắn chính xác.
- Sử dụng vật liệu an toàn, đạt tiêu chuẩn ISO và FDA.
- Chính sách bảo hành từ 5 đến 15 năm, tùy loại sứ.
- Đội ngũ bác sĩ có hơn 10 năm kinh nghiệm trong phục hình thẩm mỹ.
Hiện tượng răng mẻ có thể được xem là điềm báo không may trong tướng số, nhưng xét theo nha khoa, đây là dấu hiệu tổn thương men răng cần điều trị sớm để tránh biến chứng. Đừng chủ quan hay lo lắng về yếu tố tâm linh – hãy đến cơ sở nha khoa uy tín như BeDental để được kiểm tra và phục hồi răng kịp thời.
Xem thêm: MẺ RĂNG NÊN BỌC HAY TRÁM THÌ TỐT HƠN?
Tư vấn chuyên môn bài viết:
BÁC SĨ DƯƠNG THỊ THÙY NGA
Tại BeDental, khách hàng có thể an tâm điều trị với dịch vụ bảo lãnh viện phí nha khoa nhanh chóng và tiện lợi. BeDental hiện liên kết với nhiều công ty bảo hiểm uy tín, hỗ trợ thanh toán trực tiếp chi phí các dịch vụ nha khoa như nhổ răng, trám răng, điều trị tủy, phục hình răng sứ... Quy trình linh hoạt, minh bạch giúp tiết kiệm thời gian và tối ưu chi phí. Hãy liên hệ BeDental để được tư vấn chi tiết và tận hưởng trải nghiệm chăm sóc răng miệng chuyên nghiệp, không lo gánh nặng tài chính.
🔹 Các đơn vị nha khoa chấp nhận bảo lãnh bao gồm : Hùng Vương Insurance, Bảo Long Insurance, BSH (Bảo hiểm BSH), FWD Insurance Cathay Life Fubon Insurance, Tokio Marine Insurance Group VNI (Bảo hiểm Hàng không), HD Insurance MSIG AAA Insurance PTI (Bảo hiểm Bưu điện), BIDV MetLife, PJICO, Techcom, Insurance, AIA, Dai-ichi Life MIC GIC DBV Insurance VBI (Bảo hiểm VietinBank)
🔹 Các công ty bảo hiểm BeDental có thể xuất hóa đơn: Manulife Dai-ichi Life Prudential AIA Hanwha Life PVI VCLI (Bảo hiểm nhân thọ Vietcombank - Cardif) BIC (Bảo hiểm BIDV), Bảo Việt Insurance và PVI

English
한국어
日本語
中文 (中国)