Trong nhân tướng học, người có răng cửa to thường có số lận đận, tương lai không mấy sáng lạn,.. .. Dưới góc độ nha khoa thẩm mỹ, kích thước răng cửa quá khổ hoặc vuông có thể làm khuôn mặt kém hài hòa. Nhưng sự thật có đúng như vậy không? Mời bạn cùng Nha Khoa BeDental tìm hiểu rõ hơn qua bài viết vận mệnh người có răng cửa to? Cách làm nhỏ răng cửa tại nha khoa.
Răng cửa to là gì?
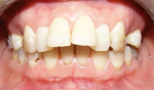
Răng cửa to thường được hiểu là răng có kích thước lớn hơn tỷ lệ chuẩn của cung hàm. Trong thẩm mỹ nha khoa, tỷ lệ vàng của một chiếc răng cửa giữa thường rơi vào khoảng 8,5–9 mm chiều rộng và 10–11 mm chiều dài. Khi răng vượt quá tỷ lệ này, người ta gọi là răng cửa to”.
Đặc biệt, răng cửa to là vị trí dễ nhận thấy nhất khi cười hoặc giao tiếp, do đó thường tạo ấn tượng mạnh mẽ đối với người đối diện.

Vận mệnh của những người có răng cửa to theo nhân tướng học
Xem thêm: Tưa miệng ở người lớn – Nguyên nhân, triệu chứng và cách trị hiệu quả
Từ xa xưa, ông bà ta thường dựa vào hình dáng răng để luận đoán vận mệnh. Trong nhân tướng học, răng cửa to không chỉ ảnh hưởng đến ngoại hình mà còn được cho là gắn liền với tính cách và số mệnh của mỗi người.
Răng cửa quá to và dài
Người sở hữu dáng răng cửa có kích thước lớn và dài hơn mức bình thường thường bị nhân tướng học đánh giá là ích kỷ, chỉ tập trung vào lợi ích và suy nghĩ cho bản thân. Chính vì tính cách này, họ ít khi được lòng người khác trong các mối quan hệ xã hội, dễ vướng phải thị phi và những hiểu lầm không đáng có. Con đường sự nghiệp của những người này được cho là không mấy thuận lợi, thường gặp nhiều khó khăn và trắc trở. Đặc biệt, nếu người có khuôn mặt nhỏ nhưng răng cửa lại quá to và dài, nhân tướng học luận đoán họ khó có được cuộc sống giàu sang, sung túc.
Răng cửa lệch và to
Theo quan niệm tướng số, những người có răng cửa vừa to lại vừa mọc lệch thường là người sống rất tình cảm, giàu lòng hiếu thuận với cha mẹ và gia đình. Tuy nhiên, họ lại mang tính cách nóng nảy và dễ bị mất bình tĩnh trong mọi tình huống. Chính sự thiếu kiên nhẫn này khiến họ bỏ lỡ nhiều cơ hội quan trọng trong công việc và cuộc sống. Vì thế, cuộc sống ít khi được suôn sẻ, khó đạt được những thành công lớn và vị trí cao trong xã hội.
Răng cửa to và hô
Dáng răng này được xem là một trong những khuyết điểm lớn về thẩm mỹ, không chỉ khiến khuôn mặt mất đi sự hài hòa mà còn làm chủ nhân dễ tự ti, ngại ngùng trong giao tiếp. Người có răng cửa to và hô được cho là gặp nhiều trắc trở trong tình duyên và công việc. Đường tài lộc của họ thường lận đận, khó bền vững và dễ hao hụt. Sự hô ra phía trước cũng được coi là dấu hiệu của sự không ổn định trong cuộc sống.

Răng cửa thưa và to
Trường hợp răng cửa vừa thưa lại vừa to thường bị xem là tướng người khó giữ bí mật và dễ vướng vào các chuyện thị phi, rắc rối từ lời ăn tiếng nói. Họ có xu hướng tiêu tiền nhanh, khó có khả năng tích lũy của cải lâu dài. Đặc biệt, cuộc sống hôn nhân của những người này ít khi hạnh phúc trọn vẹn, dễ xảy ra mâu thuẫn và bất hòa. Nhân tướng học còn cho rằng, người có dáng răng này thường phải bôn ba xa quê từ sớm để lập nghiệp và tìm kiếm cơ hội.
Có thể thấy, xét theo quan niệm dân gian, những người có răng cửa to vuông hoặc các biến thể của răng cửa to đều không được đánh giá cao về vận mệnh. Vì vậy, nhiều người đã tìm đến nha khoa để cải thiện dáng răng, với mong muốn “đổi tướng – đổi vận”.
Cách khắc phục tình trạng răng cửa to tại nha khoa
Xem thêm: Tư vấn nha khoa: Bạn cần biết gì khi làm răng sứ?
Hiện nay, nha khoa hiện đại đã phát triển nhiều phương pháp giúp thu nhỏ và cải thiện dáng răng cửa to. Tùy vào tình trạng răng cụ thể, bác sĩ sẽ đưa ra giải pháp phù hợp. Hai phương pháp phổ biến nhất là bọc răng sứ và niềng răng thẩm mỹ.
1. Làm veneer cho răng cửa to
Đối với những trường hợp răng cửa quá to, thô hoặc mất cân đối với khuôn mặt, veneer là một giải pháp thẩm mỹ nhanh chóng và ít xâm lấn. Bác sĩ sẽ dán một lớp sứ siêu mỏng lên bề mặt ngoài của răng, giúp điều chỉnh kích thước và hình dáng, mang lại hàm răng cân đối và tự nhiên hơn.
Ưu điểm của veneer:
- Ít mài răng, bảo tồn răng thật tối đa so với bọc răng sứ.
- Hiệu quả nhanh chóng, chỉ cần 2 – 3 buổi hẹn tại nha khoa.
- Tính thẩm mỹ cao, răng đều đẹp, trắng sáng tự nhiên.
- Độ bền tốt, có thể duy trì từ 10 – 15 năm nếu chăm sóc đúng cách.
Điểm hạn chế là veneer chỉ phù hợp với những trường hợp răng cửa to nhưng không bị sai lệch khớp cắn quá nặng. Với những ca phức tạp hơn, bác sĩ có thể chỉ định kết hợp các phương pháp khác như niềng răng hoặc bọc sứ.
2. Bọc răng sứ cho răng cửa to

Bọc răng sứ là kỹ thuật mài nhỏ răng thật để làm trụ nâng đỡ, sau đó chụp mão sứ lên trên. Với phương pháp này, bác sĩ có thể thiết kế dáng răng theo mong muốn của khách hàng: từ nhỏ gọn, cân đối cho đến phù hợp với tướng số.
Xem thêm: U Men Răng: Nguyên Nhân, Triệu Chứng Và Cách Điều Trị Hiệu Quả
Ưu điểm của bọc răng sứ:
- Khắc phục hiệu quả tình trạng răng cửa quá to.
- Tạo hình dáng răng mới tự nhiên, cân đối.
- Cải thiện màu sắc và khớp cắn.
- Độ bền cao, có thể duy trì từ 10 – 20 năm nếu chăm sóc tốt.
Tuy nhiên, do cần mài đi một phần răng thật nên phương pháp này đòi hỏi tay nghề bác sĩ cao. Nếu thực hiện tại cơ sở kém chất lượng có thể gây biến chứng như viêm tủy, đau nhức hoặc hôi miệng.
3. Niềng răng thẩm mỹ
Đối với những trường hợp răng cửa to mọc lệch, thưa, chìa ra ngoài, niềng răng là giải pháp tối ưu. Bác sĩ sẽ sử dụng hệ thống mắc cài hoặc khay niềng trong suốt để dịch chuyển răng về vị trí chuẩn, giúp hàm răng đều đặn và cân đối hơn.
Ưu điểm của niềng răng:
- Giữ nguyên răng thật, không mài răng.
- Hiệu quả toàn diện, cải thiện cả khớp cắn.
- Sau khi hoàn tất, răng đều đẹp tự nhiên và lâu dài.
Điểm hạn chế là thời gian niềng kéo dài từ 1 – 3 năm, đòi hỏi sự kiên nhẫn và tuân thủ lịch tái khám.
Theo báo cáo của Hiệp hội Chỉnh nha Hoa Kỳ, có đến 70% ca chỉnh nha trên thế giới thành công trong việc cải thiện thẩm mỹ và chức năng, trong đó nhóm bệnh nhân có răng cửa to và lệch chiếm tỷ lệ cao.

Chi phí thẩm mỹ răng cửa to tại BeDental
Tùy vào từng phương pháp và chất liệu khách hàng lựa chọn mà sẽ có mức giá khác nhau. Ngoài ra tùy từng cơ sở nha khoa, tay nghề bác sĩ mà giá có thể dao động. Dưới dây là bảng giá tham khảo của BeDental:
| List | Time | Unit | Price |
|---|---|---|---|
| 1.Removable Denture (More detail...) | |||
| Conventional Denture (More detail...) | 2 days | 1 jaw | 4.000.000 ~ 157$ |
| Flexible acrylic partial denture | 2 days | 1 jaw | 5.500.000 ~ 216$ |
| Cast metal partial denture | 2 days | 1 jaw | 4.500.000 ~ 177$ |
| Titanium partial denture | 2 days | 1 jaw | 6.000.000 ~ 236$ |
| 2. False teeth (More detail...) | 2 days | ||
| Acrylic resin teeth -made in Vietnam | 3 days | 1 unit | 350.000 ~ 14$ |
| Acrylic resin teeth -made in USA | 2 days | 1 unit | 600.000 ~ 24$ |
| Porcelain teeth backed with metal | 2 days | 1 unit | 1.800.000 ~ 71$ |
| Denture occlusion | 2 days | 1 unit | 1.000.000 ~ 39$ |
| 3. Non-removable denture : | |||
| Porcelain teeth backed with metal (More detail...) | |||
| Porcelain teeth backed with metal (Ni,Cr) | 3 days | 1 unit | 1.800.000 ~ 71$ |
| Porcelain teeth backed with metal Vivadent France (Cr,Co) | 3 days | 1 unit | 1.800.000 ~ 71$ |
| Porcelain teeth backed with metal Jelenko USD (Cr,Co) | 3 days | 1 unit | 2.000.000 ~ 79$ |
| Porcelain teeth backed with titanium | 3 days | 1 unit | 3.500.000 ~ 138$ |
| Non-metal Teeth : (More detail) | |||
| Porcelain Veneer Katana from Japan | 3 days | 1 unit | 3.500.000 ~ 138$ |
| Porcelain Veneer Venus from Germany ( (7 years Warantee) (Tìm hiểu thêm...) | 3 days | 1 unit | 4.000.000 ~ 157$ |
| Porcelain Veneer Roland from Germany ( 10 years Warantee) (More detail...) | 3 days | 1 unit | 4.800.000 ~ 189$ |
| Porcelain Veneer Roland HD from Germany (10 years warantee) (More detail...) | 3 days | 1 unit | 5.900.000 ~ 232$ |
| Porcelain Veneer Ceramil from Germany (10 years warantee)(More detail...) | 3 days | 1 unit | 6.000.000 ~ 236$ |
| Porcelain Crown Emax from Germany ( 15 years warantee) | 3 days | 1 unit | 7.000.000 ~ 275$ |
| Porcelain Veneer Htsmile from Germany(Bảo hành 15 năm) (More detail...) | 3 days | 1 unit | 7.000.000 ~ 275$ |
| Porcelain Veneer Emax press from Germany (15 years warantee) (More detail...) | 3 days | 1 unit | 9.000.000 ~ 354$ |
| Porcelain Veneer Cercon from Germany (15 years Warantee) (More detail...) | 3 days | 1 unit | 7.000.000 ~ 275$ |
| Porcelain Veneer Nacera from Germany ( 10 years warantee) | 3 days | 1 unit | 10.000.000 ~ 393$ |
| Porcelain Veneer Lava 3M Plus from USA ( 15 years warentee) (More detail...) | 3 days | 1 unit | 9.000.000 ~ 354$ |
| Porcelain Veneer 3M Lava Esthetic from USA (15 years warantee) | 3 days | 1 unit | 12.000.000 ~ 472$ |
| Porcelain Veneer Lisi from Japan (15 years warentee) (More detail...) | 3 days | 1 unit | 12.000.000 ~ 472$ |
| Porcelain Veneer Diamond from USA (lifetime warantee) | 3 days | 1 unit | 16.000.000 ~ 629$ |
Xem thêm: U xương chân răng: Nguyên nhân, dấu hiệu và cách điều trị hiệu quả
Giải pháp thẩm mỹ răng cửa to tại BeDental
BeDental là một trong những hệ thống nha khoa thẩm mỹ uy tín tại Việt Nam, nổi bật với các dịch vụ:
- Dán sứ Veneer: Mỏng nhẹ, bảo tồn mô răng tối đa so với bọc răng sứ, cải thiện hình dáng răng cửa to.
- Bọc răng sứ thẩm mỹ: Đa dạng chất liệu (Zirconia, Cercon HT, Nacera), mang lại sự cân đối và bền chắc.
- Niềng răng thẩm mỹ: Phù hợp cho khách hàng có răng cửa to kèm lệch lạc.
- Thiết kế nụ cười Digital Smile Design (DSD), CAD/CAM: Cho phép khách hàng xem trước kết quả điều trị.
Răng cửa to không chỉ gây mất cân đối gương mặt mà còn ảnh hưởng đến vận mệnh theo quan niệm nhân tướng học. Những người có răng cửa to vuông, răng cửa to và hô, hay răng cửa thưa và to thường gặp nhiều bất lợi trong cuộc sống. Tuy nhiên, với sự phát triển của nha khoa hiện đại, hoàn toàn có thể khắc phục tình trạng này bằng các phương pháp an toàn và hiệu quả.
Nếu bạn đang lo lắng về dáng răng cửa to của mình, hãy đến với BeDental để được tư vấn chi tiết và lựa chọn giải pháp tối ưu. Một nụ cười cân đối, hài hòa sẽ không chỉ giúp bạn tự tin hơn mà còn mở ra nhiều cơ hội trong cuộc sống.

Tư vấn chuyên môn bài viết:
BÁC SĨ DƯƠNG THỊ THÙY NGA
Tại BeDental, khách hàng có thể an tâm điều trị với dịch vụ bảo lãnh viện phí nha khoa nhanh chóng và tiện lợi. BeDental hiện liên kết với nhiều công ty bảo hiểm uy tín, hỗ trợ thanh toán trực tiếp chi phí các dịch vụ nha khoa như nhổ răng, trám răng, điều trị tủy, phục hình răng sứ... Quy trình linh hoạt, minh bạch giúp tiết kiệm thời gian và tối ưu chi phí. Hãy liên hệ BeDental để được tư vấn chi tiết và tận hưởng trải nghiệm chăm sóc răng miệng chuyên nghiệp, không lo gánh nặng tài chính.
🔹 Các đơn vị nha khoa chấp nhận bảo lãnh bao gồm : Hùng Vương Insurance, Bảo Long Insurance, BSH (Bảo hiểm BSH), FWD Insurance Cathay Life Fubon Insurance, Tokio Marine Insurance Group VNI (Bảo hiểm Hàng không), HD Insurance MSIG AAA Insurance PTI (Bảo hiểm Bưu điện), BIDV MetLife, PJICO, Techcom, Insurance, AIA, Dai-ichi Life MIC GIC DBV Insurance VBI (Bảo hiểm VietinBank)
🔹 Các công ty bảo hiểm BeDental có thể xuất hóa đơn: Manulife Dai-ichi Life Prudential AIA Hanwha Life PVI VCLI (Bảo hiểm nhân thọ Vietcombank - Cardif) BIC (Bảo hiểm BIDV), Bảo Việt Insurance và PVI
BEDENTAL – HỆ THỐNG NHA KHOA TIÊU CHUẨN HÀNG ĐẦU
CHI NHÁNH HÀ NỘI
CS1: 7B Thi Sách, Ngô Thì Nhậm, Hai Bà Trưng, Hà Nội - 0934.61.9090
CS2: Số 129 Hoàng Ngân, Yên Hòa, Cầu Giấy, Hà Nội - 0934.61.9090
CHI NHÁNH TP.HỒ CHÍ MINH (HCM)
CS1: 53 -55 -57 Phó Đức Chính, Nguyễn Thái Bình, Quận 1, Tp.Hồ Chí Minh - 0766.00.8080
GIỜ HOẠT ĐỘNG:
09h00 – 20h00. Tất cả các ngày trong tuần
Website: https://bedental.vn/

English
한국어
日本語
中文 (中国)