U men răng là bệnh lý hiếm gặp ở xương hàm, tiến triển âm thầm nhưng nguy hiểm nếu không điều trị kịp thời. Hiện nay, không ít người vẫn chưa thực sự hiểu rõ u men răng là bệnh gì? Hãy cùng tìm hiểu nguyên nhân, dấu hiệu nhận biết, phương pháp điều trị và giải pháp phục hồi hiệu quả cùng nha khoa BeDental ở bài viết dưới đây.
U men răng là gì?
U men răng là một dạng u lành tính phát triển từ biểu mô men răng. Mặc dù không phải ung thư, nhưng u men răng có đặc tính phát triển chậm, dễ lan rộng và có thể phá hủy cấu trúc xương hàm nếu không được điều trị kịp thời. Theo thống kê của Hiệp hội Nha khoa Hoa Kỳ, tỷ lệ mắc u men răng chiếm khoảng 1% trong các loại u vùng hàm mặt. Tuy hiếm gặp nhưng bệnh có tính chất nguy hiểm vì dễ tái phát nếu phẫu thuật không triệt để.
Các nghiên cứu y khoa ghi nhận rằng u men răng thường xuất hiện nhiều hơn ở hàm dưới, đặc biệt ở vùng răng cối lớn. Bệnh có thể gặp ở mọi độ tuổi, nhưng phổ biến nhất ở nhóm tuổi từ 20 đến 40.

Nguyên nhân gây u men răng
Cho đến nay, nguyên nhân chính xác gây u men răng vẫn chưa được xác định rõ ràng. Tuy nhiên, nhiều chuyên gia cho rằng bệnh có liên quan đến sự phát triển bất thường của các tế bào tạo men răng trong quá trình hình thành răng. Ngoài ra, một số yếu tố nguy cơ có thể làm tăng khả năng mắc bệnh, bao gồm:
- Di truyền: Một số nghiên cứu cho thấy yếu tố gen có thể ảnh hưởng đến khả năng hình thành u men răng.
- Răng ngầm hoặc răng mọc lệch: Tình trạng răng khôn mọc ngầm thường liên quan đến sự xuất hiện của u men răng.
- Tổn thương răng miệng kéo dài: Các viêm nhiễm mạn tính ở vùng chân răng cũng có thể làm gia tăng nguy cơ hình thành u.
Xem thêm: Tưa miệng ở người lớn – Nguyên nhân, triệu chứng và cách trị hiệu quả
Triệu chứng của u men răng
Ở giai đoạn đầu, u men răng thường không có triệu chứng rõ ràng, vì vậy nhiều bệnh nhân chỉ phát hiện khi u đã phát triển lớn. Dưới đây là các triệu chứng và dấu hiệu thường gặp giúp nhận biết bệnh u men răng, đặc biệt khi khối u đã bắt đầu phát triển:
1. Sưng Nề và Biến Dạng Vùng Hàm
Đây là dấu hiệu phổ biến và dễ nhận thấy nhất khi khối u men răng phát triển. Khối u tăng trưởng bên trong xương hàm, làm cho xương phình to ra. Vùng hàm (thường là hàm dưới) sẽ bị sưng nề không đau ở giai đoạn đầu.
Khi khối u phát triển lớn, nó sẽ gây biến dạng rõ rệt khuôn mặt, làm mất đi sự đối xứng tự nhiên, ảnh hưởng nghiêm trọng đến thẩm mỹ.
2. Đau và Khó Chịu Vùng Hàm
Mặc dù khối u men răng ban đầu không gây đau, nhưng khi nó tăng kích thước, nó sẽ tạo áp lực lên các mô và cấu trúc xung quanh.
Người bệnh có thể cảm thấy đau âm ỉ kéo dài hoặc cảm giác đau nhức tăng dần khi khối u mở rộng và chèn ép lên xương hàm và các dây thần kinh lân cận.
3. Răng Lung Lay và Di Chuyển Bất Thường
U men răng phát triển bằng cách phá hủy xương ổ răng xung quanh. Răng nằm gần khối u sẽ bị lung lay bất thường (mặc dù răng hoàn toàn khỏe mạnh). Khối u có thể đẩy các răng ra khỏi vị trí ban đầu, làm chúng di chuyển, lệch lạc, hoặc tạo ra các khoảng thưa mới trên cung hàm.
Xem thêm: Tư vấn nha khoa: Bạn cần biết gì khi làm răng sứ?
4. Tê Bì Môi hoặc Cằm
Đây là một dấu hiệu cảnh báo nghiêm trọng, cho thấy khối u đã lan rộng và ảnh hưởng đến hệ thần kinh.
Khối u chèn ép lên dây thần kinh ổ răng dưới (dây thần kinh cảm giác), đặc biệt là ở hàm dưới, gây ra cảm giác tê bì ở môi hoặc cằm cùng bên với khối u. Đây là triệu chứng cần được thăm khám ngay lập tức.

5. Hạn Chế Vận Động Hàm
Khi khối u xâm lấn sâu vào khớp hàm hoặc gây phá hủy xương hàm, nó sẽ cản trở các cử động thông thường.
Bệnh nhân có thể gặp khó khăn khi nhai hoặc hạn chế khả năng há miệng (khít hàm), ảnh hưởng trực tiếp đến việc ăn uống và vệ sinh răng miệng.
Một báo cáo của Bộ Y tế Việt Nam cho biết, khoảng 70% bệnh nhân u men răng được phát hiện ở giai đoạn muộn, khi khối u đã xâm lấn vào xương hàm. Điều này cho thấy tầm quan trọng của việc thăm khám nha khoa định kỳ để kịp thời phát hiện bệnh.
Chẩn đoán u men răng
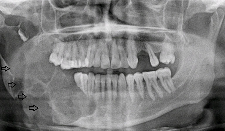
Để chẩn đoán u men răng, bác sĩ sẽ tiến hành kết hợp nhiều phương pháp khác nhau. Chụp X-quang và CT Cone Beam thường được sử dụng để quan sát khối u, đánh giá mức độ xâm lấn và phá hủy xương. Ngoài ra, sinh thiết mô cũng là bước quan trọng nhằm xác định bản chất lành tính của khối u.
Ở giai đoạn đầu, hình ảnh X-quang có thể cho thấy một hoặc nhiều vùng sáng tối bất thường trong xương hàm, gọi là hình ảnh “tổ ong” hoặc “bọt xà phòng”. Đây là dấu hiệu đặc trưng giúp phân biệt u men răng với các bệnh lý khác trong xương hàm.
Phương pháp điều trị u men răng
Xem thêm: Nắn chỉnh răng – Khi nào cần thực hiện và có những phương pháp nào phổ biến?
Điều trị u men răng phụ thuộc vào kích thước, vị trí và mức độ xâm lấn của khối u. Các phương pháp phổ biến bao gồm:
- Nạo u (curettage): áp dụng cho u nhỏ, ít xâm lấn. Tuy nhiên, tỷ lệ tái phát sau nạo u khá cao, khoảng 55%.
- Phẫu thuật cắt bỏ một phần xương hàm: được chỉ định khi u lớn hoặc đã phá hủy xương đáng kể. Phương pháp này giúp giảm tỷ lệ tái phát xuống còn 10–15%.
- Tái tạo xương hàm: sau khi phẫu thuật cắt bỏ, bệnh nhân có thể cần ghép xương hoặc sử dụng vật liệu nhân tạo để phục hồi hình dạng hàm.
Điều quan trọng là bệnh nhân phải theo dõi định kỳ sau điều trị, bởi u men răng có thể tái phát sau nhiều năm.
Cách phòng ngừa u men răng
Không có biện pháp phòng ngừa tuyệt đối u men răng, nhưng bạn có thể giảm nguy cơ mắc bệnh bằng cách:
- Khám răng định kỳ 6 tháng/lần để phát hiện bất thường sớm.
- Xử lý triệt để tình trạng răng ngầm, răng khôn mọc lệch.
- Duy trì vệ sinh răng miệng tốt để hạn chế viêm nhiễm quanh răng.
Xem thêm: Răng ma cà rồng – Xu hướng thẩm mỹ độc đáo và chi phí thực hiện
Một số câu hỏi thường gặp về u men răng

- U men răng có nguy hiểm không?
U men răng không phải ung thư ác tính, nhưng lại có đặc tính phát triển âm thầm, xâm lấn vào xương hàm và các mô lân cận. Nếu không điều trị kịp thời, u có thể làm biến dạng gương mặt, ảnh hưởng đến khả năng ăn nhai, thậm chí gây mất răng hàng loạt. Một số nghiên cứu y khoa ghi nhận tỷ lệ tái phát u men răng sau phẫu thuật có thể lên đến 15–25% nếu không được điều trị triệt để.
- U men răng có thể tự khỏi không?
Câu trả lời là không. Khác với một số bệnh lý răng miệng có thể cải thiện bằng vệ sinh và điều trị bảo tồn, u men răng chỉ có thể loại bỏ bằng phẫu thuật. Nếu chỉ điều trị tạm thời hoặc dùng thuốc giảm đau, khối u vẫn tiếp tục phát triển và gây biến chứng nặng hơn.
- Phẫu thuật u men răng có đau không?
Trong quá trình phẫu thuật, bệnh nhân sẽ được gây mê hoặc gây tê nên hầu như không cảm thấy đau. Sau phẫu thuật, có thể xuất hiện sưng đau nhẹ trong vài ngày, nhưng tình trạng này sẽ được kiểm soát bằng thuốc kháng viêm và giảm đau theo chỉ định của bác sĩ.
- Sau khi mổ u men răng, có tái phát không?
U men răng có nguy cơ tái phát nếu quá trình phẫu thuật không lấy hết mô u hoặc còn sót các tế bào u. Tuy nhiên, nếu được điều trị tại nha khoa uy tín với kỹ thuật hiện đại và theo dõi định kỳ sau phẫu thuật, nguy cơ tái phát sẽ giảm đáng kể.
- U men răng có liên quan đến ung thư không?
U men răng là khối u lành tính, nhưng trong một số trường hợp rất hiếm (dưới 2% theo báo cáo của Hiệp hội Nha khoa Hoa Kỳ), u có thể chuyển dạng ác tính. Vì vậy, việc phát hiện sớm và điều trị kịp thời có vai trò cực kỳ quan trọng để bảo vệ sức khỏe.
- Có cách nào phòng ngừa u men răng không?
Hiện nay chưa có biện pháp phòng ngừa tuyệt đối vì nguyên nhân chính xác gây u men răng vẫn chưa được xác định. Tuy nhiên, thăm khám nha khoa định kỳ 6 tháng/lần, chụp X-quang khi có bất thường vùng hàm, và điều trị kịp thời các bệnh lý răng miệng có thể giúp phát hiện sớm để hạn chế biến chứng.
Xem thêm: Tủy răng: Cấu tạo, màu sắc và vai trò quan trọng trong sức khỏe răng miệng
BeDental – Địa chỉ nha khoa uy tín trong chẩn đoán và điều trị u men răng
Khi gặp các dấu hiệu nghi ngờ u men răng, việc lựa chọn cơ sở nha khoa uy tín là yếu tố quyết định hiệu quả điều trị. BeDental là một trong những nha khoa hiện đại hàng đầu với đội ngũ bác sĩ chuyên sâu về phẫu thuật răng hàm mặt.
BeDental sở hữu hệ thống chẩn đoán hình ảnh tiên tiến như CT Cone Beam 3D, CAD/CAM, hỗ trợ phát hiện u men răng chính xác ngay từ giai đoạn sớm. Quy trình điều trị tại BeDental được thiết kế an toàn, hạn chế tối đa tái phát và bảo tồn cấu trúc xương hàm. Ngoài ra, bệnh nhân còn được theo dõi lâu dài sau điều trị để đảm bảo kết quả ổn định.
U men răng là một bệnh lý hiếm gặp nhưng nguy hiểm vì có thể phá hủy xương hàm và gây mất răng hàng loạt. Việc hiểu rõ u men răng là gì, nguyên nhân, triệu chứng và phương pháp điều trị sẽ giúp bạn chủ động phát hiện và xử lý kịp thời.
Để được chẩn đoán chính xác và điều trị hiệu quả, bạn nên lựa chọn nha khoa uy tín như BeDental – nơi quy tụ đội ngũ bác sĩ giàu kinh nghiệm, trang thiết bị hiện đại và dịch vụ chăm sóc toàn diện.

Tư vấn chuyên môn bài viết:
BÁC SĨ DƯƠNG THỊ THÙY NGA
Tại BeDental, khách hàng có thể an tâm điều trị với dịch vụ bảo lãnh viện phí nha khoa nhanh chóng và tiện lợi. BeDental hiện liên kết với nhiều công ty bảo hiểm uy tín, hỗ trợ thanh toán trực tiếp chi phí các dịch vụ nha khoa như nhổ răng, trám răng, điều trị tủy, phục hình răng sứ... Quy trình linh hoạt, minh bạch giúp tiết kiệm thời gian và tối ưu chi phí. Hãy liên hệ BeDental để được tư vấn chi tiết và tận hưởng trải nghiệm chăm sóc răng miệng chuyên nghiệp, không lo gánh nặng tài chính.
🔹 Các đơn vị nha khoa chấp nhận bảo lãnh bao gồm : Hùng Vương Insurance, Bảo Long Insurance, BSH (Bảo hiểm BSH), FWD Insurance Cathay Life Fubon Insurance, Tokio Marine Insurance Group VNI (Bảo hiểm Hàng không), HD Insurance MSIG AAA Insurance PTI (Bảo hiểm Bưu điện), BIDV MetLife, PJICO, Techcom, Insurance, AIA, Dai-ichi Life MIC GIC DBV Insurance VBI (Bảo hiểm VietinBank)
🔹 Các công ty bảo hiểm BeDental có thể xuất hóa đơn: Manulife Dai-ichi Life Prudential AIA Hanwha Life PVI VCLI (Bảo hiểm nhân thọ Vietcombank - Cardif) BIC (Bảo hiểm BIDV), Bảo Việt Insurance và PVI

English
한국어
日本語
中文 (中国)