Sở hữu một nụ cười rạng rỡ và hàm răng trắng sáng là mục tiêu của hầu hết mọi người trong xã hội hiện đại. Tuy nhiên, sự xuất hiện của mảng bám đen trên răng lại trở thành rào cản lớn, gây mất thẩm mỹ và ảnh hưởng nghiêm trọng đến tâm lý giao tiếp.
Thực tế, mảng bám đen trên răng không đơn thuần chỉ là vấn đề về màu sắc mà còn là dấu hiệu cảnh báo những nguy cơ tiềm ẩn về bệnh lý nha chu. Việc hiểu rõ bản chất của tình trạng răng có mảng bám đen sẽ giúp chúng ta có những bước can thiệp đúng đắn và kịp thời để bảo vệ sức khỏe răng miệng dài lâu.
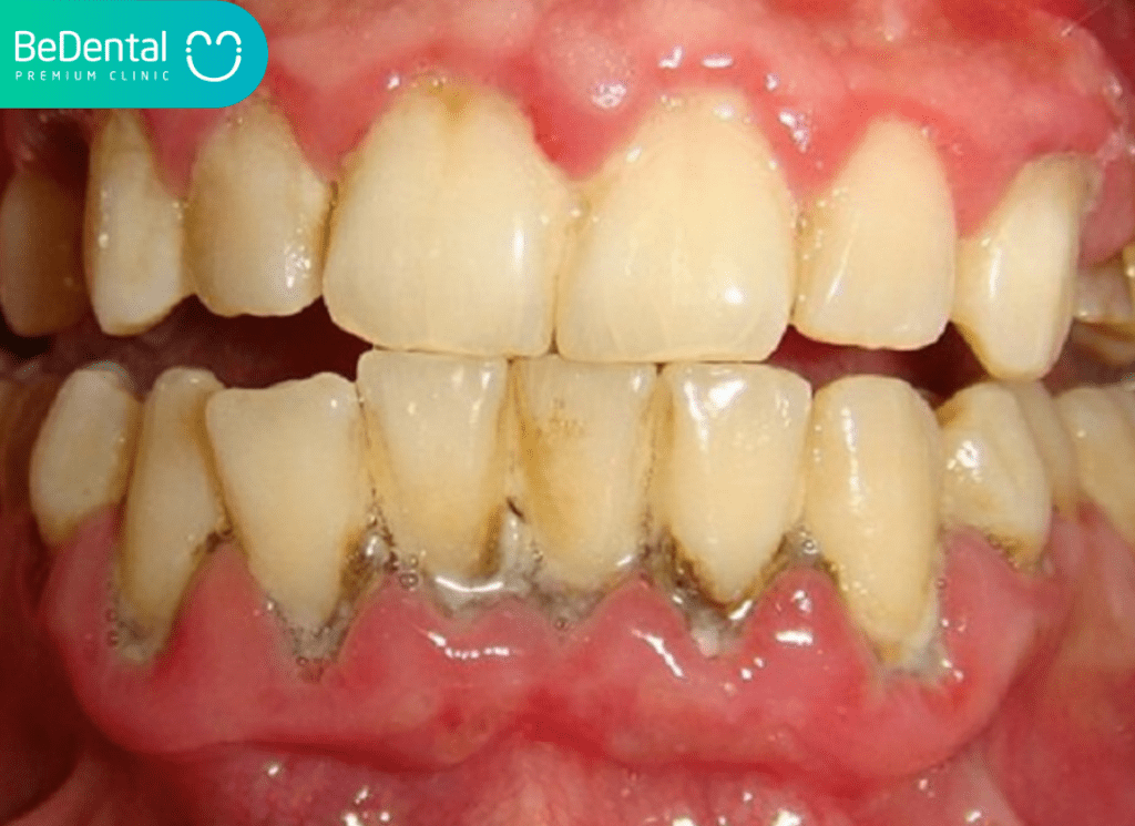
1. Mảng bám đen trên răng là gì?
Về mặt chuyên môn, mảng bám đen trên răng thực chất là một dạng vôi răng (cao răng) ở cấp độ nặng. Quá trình này bắt đầu từ các mảnh vụn thức ăn, protein trong nước bọt và vi khuẩn kết hợp tạo thành một lớp màng sinh học mềm, dính gọi là mảng bám thông thường.

Nếu lớp màng này không được làm sạch, dưới tác động của các khoáng chất trong nước bọt, chúng sẽ bị vôi hóa và trở nên cứng chắc.
Khi các chất gây màu từ thực phẩm, khói thuốc hoặc các sản phẩm chuyển hóa của vi khuẩn xâm nhập vào cấu trúc xốp của cao răng, chúng sẽ chuyển từ màu vàng nhạt sang nâu đậm và cuối cùng là hình thành mảng bám đen trên răng.
Xem thêm: Lấy cao răng xong kiêng gì?
Các mảng đen trên răng này thường có bề mặt thô ráp, tạo điều kiện lý tưởng cho vi khuẩn tiếp tục tích tụ, gây ra một vòng xoáy bệnh lý khó kiểm soát nếu chỉ sử dụng các biện pháp vệ sinh tại nhà thông thường.
2. Các nguyên nhân phổ biến dẫn đến tình trạng răng bị bám đen
Sự hình thành mảng bám đen trên răng là kết quả của sự tương tác giữa thói quen sinh hoạt và cơ địa của từng cá nhân. Việc xác định đúng nguyên nhân là tiền đề quan trọng để tìm ra cách làm hết mảng bám đen trên răng hiệu quả.
Chế độ ăn uống và thực phẩm đậm màu
Những người thường xuyên tiêu thụ các loại đồ uống có sắc tố đậm như cà phê đen, trà đặc, rượu vang đỏ hoặc nước ngọt có gas thường đối mặt với nguy cơ răng bị mảng bám đen cao hơn.
Các hạt màu li ti trong thực phẩm sẽ bám chặt vào các rãnh tự nhiên trên men răng hoặc các vết nứt nhỏ, lâu ngày tích tụ thành các dải màu đen khó loại bỏ. Đây cũng chính là nguồn cơn gây ra tình trạng hôi miệng và viêm nướu dai dẳng.
Tác động tiêu cực từ thuốc lá

Hút thuốc lá là nguyên nhân hàng đầu khiến răng bị mảng đen ở nam giới. Nhựa thuốc lá (tar) khi kết hợp với lớp màng bám trên răng sẽ tạo ra một hợp chất có độ dính cực cao và màu đen sẫm.
Loại mảng bám này không chỉ bám trên bề mặt mà còn len lỏi sâu xuống dưới nướu, gây tổn thương tế bào niêm mạc và làm suy yếu hệ thống miễn dịch của khoáng miệng.
Thói quen nhai trầu cau
Ở những người lớn tuổi, thói quen nhai trầu là nguyên nhân trực tiếp dẫn đến việc răng có mảng bám đen. Nhựa trầu khi kết hợp với vôi và các thành phần khác tạo ra một lớp phủ màu đen cực kỳ cứng chắc.
Nếu không được vệ sinh kỹ lưỡng, lớp màu này sẽ thấm sâu vào men răng, khiến việc phục hồi màu sắc tự nhiên trở nên vô cùng khó khăn. Ngoài ra, việc nhai trầu không cẩn thận còn có thể gây bỏng niêm mạc và làm nướu bị xơ hóa.
Xem thêm: Cao răng đen
Vệ sinh răng miệng sai cách
Nhiều người có thói quen đánh răng qua loa, không làm sạch các vị trí khuất như mặt trong răng cửa hoặc các kẽ răng hàm. Đây là nơi mảng bám đen trên răng hình thành sớm nhất.
Việc thiếu thói quen sử dụng chỉ nha khoa hoặc nước súc miệng chuyên dụng khiến vi khuẩn có điều kiện sinh sôi và vôi hóa mảng bám một cách nhanh chóng.
3. Ảnh hưởng tiêu cực của mảng bám đen đến sức khỏe
Sự tồn tại của mảng bám đen trên răng không chỉ dừng lại ở vấn đề thẩm mỹ mà còn là khởi đầu của nhiều biến chứng nguy hiểm:

- Viêm nhiễm nha chu: Vi khuẩn trú ngụ trong các mảng bám đen trên răng sẽ tiết ra độc tố tấn công mô nướu, gây sưng, đau và chảy máu chân răng.
- Hôi miệng trầm trọng: Quá trình phân hủy thức ăn thừa của vi khuẩn trong cao răng đen tạo ra các hợp chất lưu huỳnh có mùi hôi nồng nặc, gây cản trở lớn trong giao tiếp xã hội.
- Tiêu xương và rụng răng: Khi cao răng đen xâm nhập sâu xuống dưới nướu, nó làm phá hủy các dây chằng nha chu và gây tiêu xương hàm. Đây là nguyên nhân chính khiến răng bị lung lay và rụng sớm.
- Sâu răng chân răng: Do nướu bị tụt, phần chân răng vốn không có men bảo vệ sẽ bị vi khuẩn tấn công trực tiếp, dẫn đến những cơn đau nhức dữ dội.
4. Răng bị mảng bám đen phải làm sao? Các phương pháp xử lý hiệu quả
Khi đối mặt với câu hỏi răng bị mảng bám đen phải làm sao, người bệnh cần phân biệt giữa các biện pháp hỗ trợ tại nhà và can thiệp chuyên sâu tại phòng khám.
Các biện pháp hỗ trợ tại nhà (Chỉ áp dụng cho mảng bám mới hình thành)

- Sử dụng chanh tươi: Axit citric trong chanh có khả năng làm mềm các liên kết khoáng chất. Bạn có thể dùng nước cốt chanh để chà nhẹ lên vùng răng có mảng bám đen, nhưng cần lưu ý không lạm dụng quá 1 lần/tuần để tránh bào mòn men răng.
- Baking soda: Đây là một phương pháp giúp tẩy mảng bám đen trên răng ở mức độ nhẹ nhờ tính mài mòn và khả năng trung hòa axit của vi khuẩn. Việc trộn một ít bột baking soda với kem đánh răng sẽ giúp bề mặt răng sạch hơn.
- Giấm trắng: Axit axetic trong giấm giúp khử khoáng và làm lỏng lẻo các cấu trúc cao răng. Súc miệng bằng dung dịch giấm loãng là một cách lấy mảng bám đen trên răng dân gian được nhiều người áp dụng.
Xem thêm: Lấy cao răng có đau không?
Can thiệp y khoa chuyên sâu
Đối với các trường hợp răng bị mảng bám đen lâu năm, các biện pháp tự nhiên gần như không mang lại kết quả rõ rệt. Lúc này, việc làm sạch mảng bám đen trên răng cho bé hoặc người lớn cần được thực hiện bằng máy siêu âm tại nha khoa. Sóng siêu âm sẽ làm tan rã các liên kết cứng của mảng bám đen trên răng mà không gây tổn hại đến cấu trúc men răng hay mô nướu xung quanh.
5. Chi phí lấy mảng bám đen trên răng
Chi phí lấy mảng bám đen (vôi răng) trên răng tại Việt Nam thường dao động từ 200.000 VNĐ đến 700.000 VNĐ cho dịch vụ cơ bản (cạo vôi + đánh bóng), nhưng có thể cao hơn tùy mức độ vôi răng (ít, nhiều, rất nhiều) và công nghệ sử dụng, có thể lên đến 1.000.000 VNĐ – 1.200.000 VNĐ cho trường hợp nặng, có kèm viêm nướu hoặc sử dụng công nghệ cao cấp
6. Chiến lược phòng ngừa mảng bám đen quay trở lại
Để không còn phải lo lắng về việc răng bị mảng bám đen, bạn cần thiết lập một quy trình chăm sóc răng miệng khoa học:
- Duy trì thói quen chải răng ít nhất 2 lần mỗi ngày bằng bàn chải lông mềm và kem đánh răng có chứa Flour để tăng cường độ bền cho men răng.
- Sử dụng chỉ nha khoa sau mỗi bữa ăn để loại bỏ thức ăn thừa tại các kẽ răng – nơi khởi nguồn của các mảng bám đen trên răng.
- Hạn chế tối đa việc sử dụng thuốc lá và các thực phẩm giàu sắc tố. Nếu có sử dụng, hãy súc miệng ngay bằng nước sạch.
- Khám răng định kỳ 6 tháng/lần để bác sĩ kịp thời phát hiện và xử lý các mảng bám đen trên răng ngay từ khi chúng còn ở dạng màng mỏng.
7. Giới thiệu về Nha khoa Bedental

Trong hành trình tìm kiếm cách làm hết mảng bám đen trên răng an toàn và hiệu quả, Nha khoa Bedental tự hào là đơn vị tiên phong trong việc ứng dụng các công nghệ nha khoa hiện đại nhất.
Tại Bedental, chúng tôi hiểu rằng mỗi nụ cười là một tài sản quý giá. Với đội ngũ bác sĩ dày dặn kinh nghiệm và sự hỗ trợ của công nghệ lấy cao răng siêu âm không đau, Bedental cam kết loại bỏ hoàn toàn các mảng bám đen trên răng, trả lại cho bạn hàm răng chắc khỏe và hơi thở thơm mát.
Không chỉ chú trọng vào điều trị, Bedental còn đặc biệt quan tâm đến trải nghiệm khách hàng với không gian sang trọng, dịch vụ tận tâm và quy trình vô trùng tuyệt đối theo tiêu chuẩn quốc tế.
Tư vấn chuyên môn bài viết:
BÁC SĨ DƯƠNG THỊ THÙY NGA
Tại BeDental, khách hàng có thể an tâm điều trị với dịch vụ bảo lãnh viện phí nha khoa nhanh chóng và tiện lợi. BeDental hiện liên kết với nhiều công ty bảo hiểm uy tín, hỗ trợ thanh toán trực tiếp chi phí các dịch vụ nha khoa như nhổ răng, trám răng, điều trị tủy, phục hình răng sứ... Quy trình linh hoạt, minh bạch giúp tiết kiệm thời gian và tối ưu chi phí. Hãy liên hệ BeDental để được tư vấn chi tiết và tận hưởng trải nghiệm chăm sóc răng miệng chuyên nghiệp, không lo gánh nặng tài chính.
🔹 Các đơn vị nha khoa chấp nhận bảo lãnh bao gồm : Hùng Vương Insurance, Bảo Long Insurance, BSH (Bảo hiểm BSH), FWD Insurance Cathay Life Fubon Insurance, Tokio Marine Insurance Group VNI (Bảo hiểm Hàng không), HD Insurance MSIG AAA Insurance PTI (Bảo hiểm Bưu điện), BIDV MetLife, PJICO, Techcom, Insurance, AIA, Dai-ichi Life MIC GIC DBV Insurance VBI (Bảo hiểm VietinBank)
🔹 Các công ty bảo hiểm BeDental có thể xuất hóa đơn: Manulife Dai-ichi Life Prudential AIA Hanwha Life PVI VCLI (Bảo hiểm nhân thọ Vietcombank - Cardif) BIC (Bảo hiểm BIDV), Bảo Việt Insurance và PVI

English
한국어
日本語
中文 (中国)