Khớp cắn ngược là một dạng sai lệch khớp cắn phổ biến, ảnh hưởng không chỉ đến thẩm mỹ nụ cười mà còn đến chức năng ăn nhai và sức khỏe răng miệng. Hiểu rõ khớp cắn ngược là gì, nguyên nhân và cách điều trị sẽ giúp bạn có hướng xử lý kịp thời, tránh các biến chứng lâu dài. Tại Nha khoa Bedental, chúng tôi cung cấp các giải pháp điều trị khớp cắn ngược tiên tiến, từ chỉnh nha đến phẫu thuật hàm, đảm bảo mang lại nụ cười tự tin và khớp cắn chuẩn xác.
Theo Hiệp hội Nha khoa Thế giới (FDI), khoảng 10-15% dân số gặp vấn đề khớp cắn ngược, và nếu không điều trị sớm, tình trạng này có thể dẫn đến rối loạn khớp thái dương hàm và bệnh lý răng miệng. Trong bài viết này, Bedental sẽ giải thích chi tiết về khớp cắn ngược, nguyên nhân, biểu hiện, cách điều trị, và lý do vì sao Bedental là lựa chọn hàng đầu để khắc phục vấn đề này.
Khớp cắn ngược là gì?
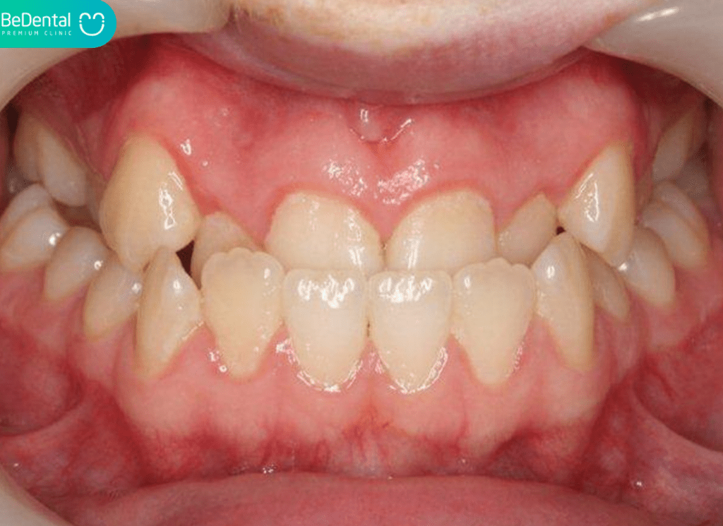
Khớp cắn ngược là gì? Khớp cắn ngược là tình trạng sai lệch khớp cắn khi răng hàm dưới chìa ra trước, che phủ răng hàm trên khi ngậm miệng. Bình thường, răng hàm trên sẽ phủ nhẹ lên răng hàm dưới (khoảng 1-2 mm), nhưng trong khớp cắn ngược, răng dưới nằm ngoài răng trên, tạo ra sự đảo ngược bất thường. Tình trạng này thường được gọi là “móm” trong ngôn ngữ dân gian, nhưng để chính xác, chúng ta nên sử dụng thuật ngữ chuyên môn “khớp cắn ngược” để mô tả.

Khớp cắn ngược không chỉ ảnh hưởng đến thẩm mỹ, làm gương mặt mất cân đối, mà còn gây khó khăn trong ăn nhai, phát âm, và tăng nguy cơ tổn thương khớp thái dương hàm. Theo American Journal of Orthodontics, khớp cắn ngược nếu không điều trị sớm có thể làm tăng 30% nguy cơ rối loạn khớp hàm ở người trưởng thành. Hiểu rõ khớp cắn ngược là gì là bước đầu tiên để tìm giải pháp phù hợp, và Bedental cam kết hỗ trợ bạn với các phương pháp điều trị hiện đại.
Xem thêm: CÓ NÊN BỌC SỨ RĂNG HÀM BỊ SÂU KHÔNG?
Khớp cắn ngược là gì? Nguyên nhân gây khớp cắn ngược
Hiểu nguyên nhân gây khớp cắn ngược là yếu tố then chốt để chọn phương pháp điều trị hiệu quả. Khớp cắn ngược thường xuất phát từ hai nhóm nguyên nhân chính: do răng và do xương. Dưới đây là giải thích chi tiết về từng loại:
Do răng
Nhiều người thắc mắc khớp cắn ngược là gì? Khớp cắn ngược do răng xảy ra khi răng mọc sai vị trí hoặc cung răng không đồng đều:
- Răng cửa hàm dưới chìa ra trước: Răng mọc lệch hướng, thường do chen chúc hoặc thiếu khoảng trống trên cung hàm.
- Răng cửa hàm trên cụp vào trong: Răng trên mọc nghiêng về phía lưỡi, làm mất sự che phủ tự nhiên.
- Thói quen xấu: Các thói quen như mút tay, đẩy lưỡi, hoặc ngậm ti giả kéo dài ở trẻ em có thể khiến răng hàm dưới di chuyển ra trước, gây khớp cắn ngược. Theo FDI, 25% trường hợp khớp cắn ngược ở trẻ em liên quan đến thói quen này.
- Mất răng sữa sớm: Răng vĩnh viễn mọc lệch hướng do thiếu dẫn đường từ răng sữa.
Trong trường hợp này, cấu trúc xương hàm thường bình thường, và vấn đề chủ yếu nằm ở vị trí răng. Điều trị bằng chỉnh nha (niềng răng) hoặc khí cụ tháo lắp có thể khắc phục hiệu quả, đặc biệt ở trẻ em khi xương còn dẻo dai.
Do xương
Khớp cắn ngược do xương phức tạp hơn, liên quan đến sự phát triển bất thường của xương hàm:
- Hàm dưới phát triển quá mức: Hàm dưới (mandible) dài hơn bình thường, đẩy răng dưới ra trước.
- Hàm trên kém phát triển: Hàm trên (maxilla) ngắn hoặc thụt vào, khiến răng trên bị che phủ.
- Kết hợp cả hai: Cả hàm trên và dưới phát triển không cân đối, thường do di truyền hoặc rối loạn tăng trưởng.
- Yếu tố di truyền: Nếu gia đình có người bị khớp cắn ngược, nguy cơ con cái mắc phải tăng 40%, theo nghiên cứu từ Journal of Orthodontics.
- Hội chứng bẩm sinh: Một số hội chứng như Pierre Robin hoặc Treacher Collins có thể gây bất thường xương hàm, dẫn đến khớp cắn ngược.
Trong các ca do xương, niềng răng đơn thuần không đủ, và thường cần phẫu thuật chỉnh hàm kết hợp chỉnh nha. Bedental sử dụng chụp phim 3D Cone Beam CT để xác định chính xác nguyên nhân do răng hay xương, đảm bảo phác đồ điều trị phù hợp.

Xem thêm: Cùi răng sứ giả là gì? Làm cùi giả cho răng có đau không?
Khớp cắn ngược là gì? Biểu hiện của khớp cắn ngược
Khớp cắn ngược có những dấu hiệu dễ nhận biết, giúp bạn phát hiện sớm và can thiệp kịp thời:
- Thẩm mỹ gương mặt: Khi ngậm miệng, răng hàm dưới che phủ răng hàm trên, khiến cằm nhô ra trước, tạo vẻ ngoài mất cân đối, thường được gọi là “móm”. Gương mặt có thể trông ngắn hơn hoặc cằm quá nổi bật.
- Khó khăn khi ăn nhai: Răng không khớp nhau đúng cách, gây khó khăn khi cắn, xé thức ăn cứng hoặc dai (như thịt, bánh mì). Điều này làm giảm hiệu quả nghiền thức ăn, ảnh hưởng đến tiêu hóa.
- Vấn đề phát âm: Khớp cắn ngược làm lưỡi khó tương tác với răng, gây khó khăn khi phát âm các âm “s”, “x”, “ch”, dẫn đến giọng nói không rõ ràng. Trẻ em có thể gặp trở ngại trong học ngôn ngữ.
- Đau hoặc mỏi hàm: Do khớp cắn sai, khớp thái dương hàm (TMJ) chịu áp lực không đều, gây đau, mỏi cơ mặt, hoặc tiếng kêu “lách cách” khi há ngậm miệng.
- Bệnh lý răng miệng: Răng lệch lạc khiến vệ sinh khó khăn, dẫn đến tích tụ mảng bám, tăng nguy cơ sâu răng, viêm nướu, và viêm nha chu.
Nhận biết sớm các biểu hiện này giúp bạn hiểu rõ khớp cắn ngược là gì và tìm đến Bedental để được tư vấn và điều trị kịp thời.

Khớp cắn ngược là gì? Mức độ nguy hiểm của khớp cắn ngược
Khớp cắn ngược không chỉ là vấn đề thẩm mỹ mà còn gây ra nhiều biến chứng nghiêm trọng nếu không điều trị:
- Ảnh hưởng thẩm mỹ: Gương mặt mất cân đối, cằm nhô ra làm giảm sự tự tin trong giao tiếp. Theo nghiên cứu tâm lý, 70% người bị khớp cắn ngược cảm thấy tự ti về ngoại hình.
- Rối loạn chức năng nhai: Khớp cắn sai làm giảm hiệu quả nhai, gây áp lực cho hệ tiêu hóa. Một số răng chịu lực quá mức, dẫn đến mòn men hoặc gãy răng sớm.
- Vấn đề khớp thái dương hàm: Khớp cắn ngược làm khớp TMJ hoạt động sai lệch, gây đau hàm, đau đầu, hoặc rối loạn TMJ nghiêm trọng. Theo ADA, 20% người bị khớp cắn ngược không điều trị phát triển rối loạn TMJ sau 5-10 năm.
- Bệnh lý răng miệng: Răng lệch lạc khó vệ sinh, tăng 40% nguy cơ sâu răng và viêm nha chu, theo FDI.
- Ảnh hưởng tâm lý: Trẻ em bị khớp cắn ngược dễ gặp vấn đề giao tiếp xã hội, ảnh hưởng đến sự phát triển ngôn ngữ và tự tin.
Can thiệp sớm tại Bedental giúp giảm thiểu các nguy cơ này, đảm bảo sức khỏe và thẩm mỹ lâu dài.
Khớp cắn ngược là gì? Cách điều trị khớp cắn ngược hiệu quả
Điều trị khớp cắn ngược cần dựa trên nguyên nhân cụ thể (do răng hay xương) và độ tuổi của bệnh nhân. Bedental cung cấp các giải pháp điều trị tùy chỉnh, từ chỉnh nha đến phẫu thuật, để đạt kết quả tối ưu.
Điều trị khớp cắn ngược do răng
- Niềng răng mắc cài kim loại: Phương pháp truyền thống, hiệu quả cao, chi phí hợp lý (30-50 triệu VNĐ), phù hợp với hầu hết ca khớp cắn ngược do răng. Thời gian điều trị 1-2 năm.
- Niềng răng mắc cài sứ: Thẩm mỹ hơn nhờ mắc cài trong suốt, chi phí 50-80 triệu VNĐ, lý tưởng cho người giao tiếp nhiều.
- Niềng răng trong suốt Invisalign: Khay trong suốt gần như vô hình, dễ tháo lắp, chi phí 80-120 triệu VNĐ. Phù hợp người lớn, thời gian 1-2 năm. Bedental sử dụng phần mềm ClinCheck để lập kế hoạch chính xác.
- Khí cụ tháo lắp cho trẻ em: Dùng cho trẻ 6-12 tuổi, định hướng răng mọc đúng, chi phí 10-20 triệu VNĐ. Hiệu quả 80% ca nhẹ, theo Orthodontic Review.
Điều trị khớp cắn ngược do xương
- Phẫu thuật chỉnh hàm: Dành cho người trưởng thành với hàm dưới quá dài hoặc hàm trên ngắn. Bác sĩ cắt và điều chỉnh xương hàm, chi phí 100-200 triệu VNĐ. Thời gian hồi phục 1-2 tháng.
- Chỉnh nha tiền phẫu: Trước phẫu thuật, niềng răng 6-12 tháng để sắp xếp răng, tạo điều kiện thuận lợi cho phẫu thuật.
- Khí cụ chức năng cho trẻ: Twin Block hoặc Bionator giúp điều chỉnh tăng trưởng hàm ở trẻ 8-12 tuổi, giảm 70% mức độ lệch hàm, theo British Dental Journal.
Điều trị kết hợp (răng và xương)
- Giai đoạn 1 – Chỉnh nha: Niềng răng 1-2 năm để sắp xếp răng đúng vị trí.
- Giai đoạn 2 – Phẫu thuật: Điều chỉnh xương hàm để tái lập khớp cắn.
- Giai đoạn 3 – Hoàn thiện: Tiếp tục chỉnh nha 6-12 tháng để ổn định kết quả. Bedental cá nhân hóa phác đồ, giảm thời gian điều trị 20% nhờ công nghệ 3D.
Khớp cắn ngược là gì? Quy trình điều trị khớp cắn ngược tại Nha khoa Bedental
Tại Bedental, điều trị khớp cắn ngược được thực hiện bài bản, khoa học:
- Khám và chẩn đoán: Chụp phim 3D Cone Beam CT để phân tích cấu trúc răng, xương, và khớp hàm. Bác sĩ đánh giá nguyên nhân (răng hay xương) và lập kế hoạch.
- Tư vấn phác đồ: Dựa trên phim chụp, bác sĩ đề xuất phương pháp (niềng răng, phẫu thuật, hoặc kết hợp), mô phỏng kết quả bằng phần mềm 3D.
- Thực hiện điều trị: Áp dụng niềng răng hoặc phẫu thuật theo phác đồ. Với niềng răng, tái khám mỗi 4-6 tuần để điều chỉnh lực. Với phẫu thuật, phối hợp bác sĩ hàm mặt.
- Theo dõi và chăm sóc: Cung cấp hàm duy trì miễn phí sau niềng, tái khám định kỳ để đảm bảo kết quả. Hỗ trợ tư vấn 24/7 qua hotline.

Bedental sử dụng công nghệ hiện đại, vật liệu FDA-approved, và quy trình vô trùng ISO 13485, giảm rủi ro nhiễm trùng xuống dưới 0.5%.
Xem thêm: Tái Tạo Cùi Răng Giả Là Gì ? Khi Nào Cần Tái Tạo Cùi Để Bọc Răng Sứ?
Câu hỏi thường gặp về khớp cắn ngược
Khớp cắn ngược có tự hết không? Không, khớp cắn ngược cần can thiệp nha khoa, đặc biệt ở người lớn. Trẻ em có thể cải thiện nhẹ nếu phá thói quen xấu sớm.
Điều trị bao lâu? Niềng răng 1-2 năm, phẫu thuật kết hợp niềng 2-3 năm, tùy ca.
Chi phí điều trị? Niềng răng 30-120 triệu VNĐ, phẫu thuật 100-200 triệu VNĐ. Bedental hỗ trợ trả góp 0%.
Có đau không? Niềng răng hơi ê đầu, phẫu thuật đau nhẹ nhưng giảm nhanh nhờ thuốc. Bedental tối ưu để giảm khó chịu.
Người lớn điều trị được không? Có, với niềng hoặc phẫu thuật, hiệu quả cao nếu đúng phác đồ.
Khớp cắn ngược là gì? Vì sao chọn Nha khoa Bedental để điều trị khớp cắn ngược?
Nha khoa Bedental là địa chỉ uy tín tại TPHCM để điều trị khớp cắn ngược, nhờ:
- Bác sĩ chuyên môn cao: Đội ngũ hơn 10 năm kinh nghiệm, đào tạo quốc tế, xử lý thành công hàng ngàn ca khớp cắn ngược.
- Công nghệ tiên tiến: Chụp phim 3D Cone Beam CT, phần mềm ClinCheck, và mô phỏng kỹ thuật số, tăng độ chính xác 95%.
- Vật liệu an toàn: Mắc cài, khay Invisalign, và dụng cụ phẫu thuật đạt chuẩn FDA, không gây dị ứng.
- Quy trình vô trùng: Tiêu chuẩn ISO 13485, giảm rủi ro nhiễm trùng.
- Chăm sóc toàn diện: Hàm duy trì miễn phí, tái khám định kỳ, hỗ trợ 24/7.
- Chính sách tài chính: Trả góp 0%, tư vấn chi phí minh bạch.
Xem thêm: Bọc răng sứ hay trồng răng implant?
Kết luận
Khớp cắn ngược là gì? Khớp cắn ngược là tình trạng sai lệch khớp cắn cần điều trị sớm để tránh ảnh hưởng thẩm mỹ và sức khỏe. Với nguyên nhân do răng hoặc xương, Bedental cung cấp giải pháp cá nhân hóa từ niềng răng đến phẫu thuật, đảm bảo nụ cười đẹp và khớp cắn chuẩn. Hãy đến Bedental để được tư vấn miễn phí và trải nghiệm dịch vụ chất lượng cao, giúp bạn tự tin hơn mỗi ngày.
Tư vấn chuyên môn bài viết:
BÁC SĨ DƯƠNG THỊ THÙY NGA
Tại BeDental, khách hàng có thể an tâm điều trị với dịch vụ bảo lãnh viện phí nha khoa nhanh chóng và tiện lợi. BeDental hiện liên kết với nhiều công ty bảo hiểm uy tín, hỗ trợ thanh toán trực tiếp chi phí các dịch vụ nha khoa như nhổ răng, trám răng, điều trị tủy, phục hình răng sứ... Quy trình linh hoạt, minh bạch giúp tiết kiệm thời gian và tối ưu chi phí. Hãy liên hệ BeDental để được tư vấn chi tiết và tận hưởng trải nghiệm chăm sóc răng miệng chuyên nghiệp, không lo gánh nặng tài chính.
🔹 Các đơn vị nha khoa chấp nhận bảo lãnh bao gồm : Hùng Vương Insurance, Bảo Long Insurance, BSH (Bảo hiểm BSH), FWD Insurance Cathay Life Fubon Insurance, Tokio Marine Insurance Group VNI (Bảo hiểm Hàng không), HD Insurance MSIG AAA Insurance PTI (Bảo hiểm Bưu điện), BIDV MetLife, PJICO, Techcom, Insurance, AIA, Dai-ichi Life MIC GIC DBV Insurance VBI (Bảo hiểm VietinBank)
🔹 Các công ty bảo hiểm BeDental có thể xuất hóa đơn: Manulife Dai-ichi Life Prudential AIA Hanwha Life PVI VCLI (Bảo hiểm nhân thọ Vietcombank - Cardif) BIC (Bảo hiểm BIDV), Bảo Việt Insurance và PVI

English
한국어
日本語
中文 (中国)