Khớp cắn đối đỉnh – một tình trạng răng miệng thường gặp nhưng không phải ai cũng biết, còn được gọi là khớp cắn đối đầu. Tình trạng này không chỉ ảnh hưởng đến thẩm mỹ khuôn mặt mà còn gây ra nhiều vấn đề về sức khỏe nếu không được điều trị kịp thời.
Việc nhầm lẫn Khớp cắn đối đỉnh với khớp cắn chuẩn có thể dẫn đến việc trì hoãn can thiệp, gây mòn răng nghiêm trọng. Vậy Khớp cắn đối đỉnh là gì? Nguyên nhân gây ra tình trạng này là gì? Làm thế nào để nhận biết và xử lý tình trạng này? Hãy cùng tìm hiểu chi tiết trong bài viết dưới đây.
1. Khớp Cắn Đối Đỉnh Là Gì? Dấu Hiệu Nhận Biết Chính Xác

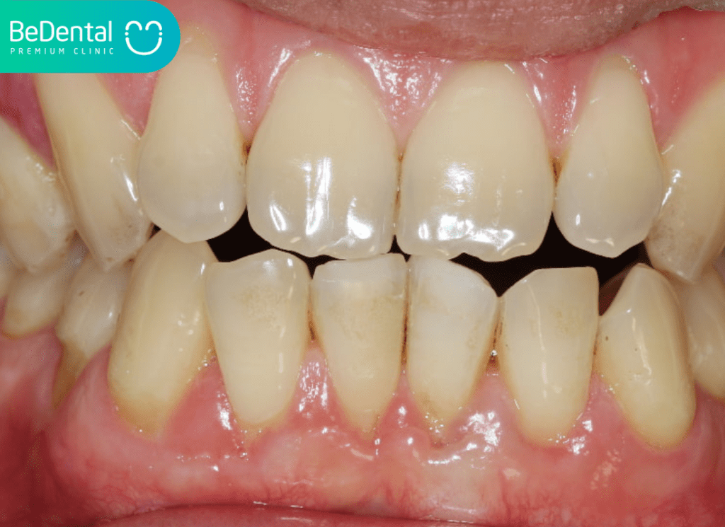
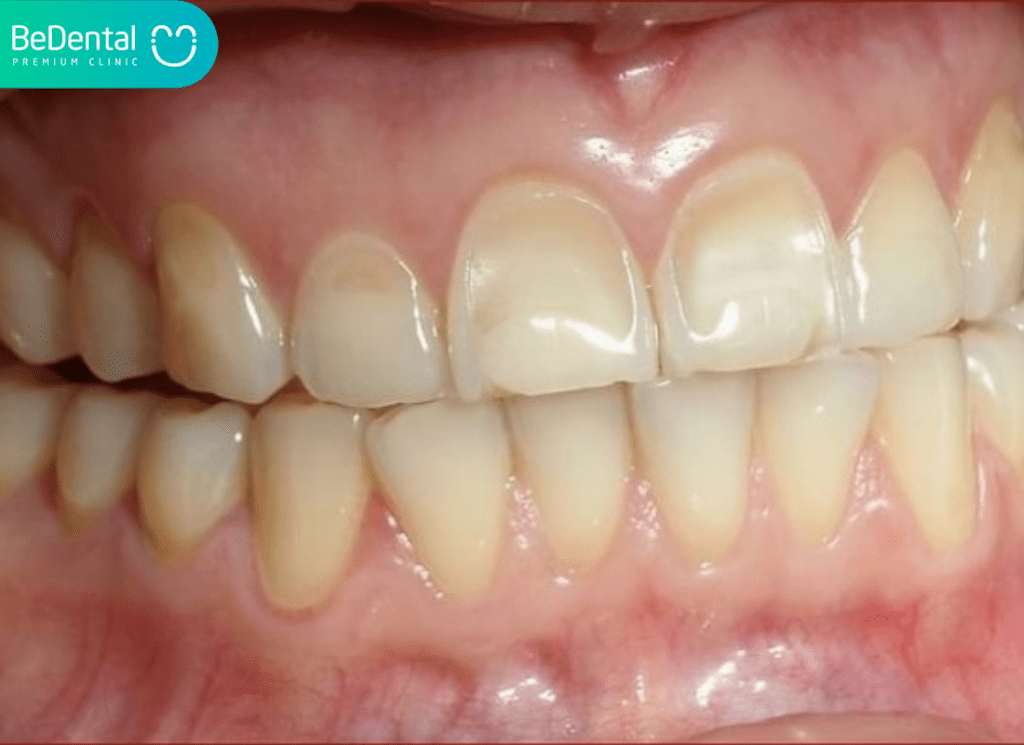
Khớp cắn đối đỉnh là một loại sai lệch nhẹ trong khớp cắn, đặc trưng bởi việc nhóm răng cửa trên và dưới chạm vào nhau rìa đối rìa (end-to-end) khi hàm đang ở trạng thái nghỉ hoặc cắn lại.
1.1. Đặc Trưng Của Khớp Cắn Đối Đỉnh
- Tương quan rìa đối rìa: Đây là dấu hiệu nhận biết rõ ràng nhất của Khớp cắn đối đỉnh. Răng cửa hàm trên và hàm dưới tiếp xúc nhau bằng chính rìa cắn của chúng, thay vì răng trên phủ ngoài răng dưới một khoảng nhất định (khớp cắn chuẩn).
- Góc nghiêng mặt: Khi nhìn từ góc độ nghiêng, môi hàm trên có xu hướng thụt vào nhẹ, tạo nên sự khác biệt rõ ràng so với khớp cắn chuẩn.
- Khoảng trống ở hàm sau: Ở trạng thái nghỉ, răng cửa chạm vào nhau, nhưng nhóm răng hàm có thể hoặc không thể chạm vào nhau, tạo ra một khoảng trống giữa hai hàm hoặc sự tiếp xúc không tối ưu ở răng hàm. Người bệnh cảm thấy khó chịu và đau nhức trong khu vực khớp cắn khi sử dụng hàm, đặc biệt khi nhai thức ăn cứng.
- Dạng hình thang: Khi đầu nghiêng, dải răng có dạng hình thang – đây là dấu hiệu điển hình của Khớp cắn đối đỉnh.
Xem thêm: Khớp Cắn Sâu
1.2. Phân Biệt Giữa Khớp Cắn Đối Đỉnh và Khớp Cắn Chuẩn
Việc phân biệt rõ ràng Khớp cắn đối đỉnh với khớp cắn chuẩn là bước quan trọng đầu tiên trong chẩn đoán:
- Khớp cắn chuẩn: Nhóm răng cửa trên che phủ phần ngoài của hàm dưới, rìa răng hàm dưới tiếp xúc với chân răng hàm trên ở mức độ 2/3 khi hàm đang nghỉ. Nhóm răng hàm sau sẽ tiếp xúc với nhau ở mặt ăn nhai, khít chặt và không có khe hở.
- Khớp cắn đối đỉnh: Rìa răng của cả hai hàm tiếp xúc trực tiếp với nhau khi hàm đang nghỉ, gây ra ma sát và mài mòn. Khi nhìn từ phía trước, Khớp cắn đối đỉnh có thể khó phân biệt với khớp cắn chuẩn, nhưng góc nghiêng khuôn mặt sẽ cho thấy môi hàm trên bị thụt vào.
2. Tác Hại Lâu Dài Của Khớp Cắn Đối Đỉnh
Khớp cắn đối đỉnh là dạng sai lệch khớp cắn nhẹ nên nhiều người thường chủ quan. Tuy nhiên, tình trạng này nếu để lâu sẽ gây ra nhiều biến chứng nguy hiểm cho sức khỏe răng miệng:

- Mài mòn răng nghiêm trọng: Răng dễ bị mài mòn (nhất là răng cửa) do lực nhai phân bổ không đều và sự cọ xát trực tiếp giữa hai rìa răng. Men răng bị mòn dần, tạo cơ hội để vi khuẩn tấn công và tổn thương răng. Tình trạng mòn răng này không chỉ gây mất thẩm mỹ khi giao tiếp mà còn khiến răng trở nên nhạy cảm hơn.
- Tổn thương cấu trúc răng: Mài mòn có thể gây ra các bệnh lý răng miệng như viêm nướu, sâu răng, viêm nha chu, thậm chí khiến răng bị sứt mẻ, gãy rụng do cấu trúc bị yếu đi.
- Rối loạn khớp hàm (TMJ): Hàm bị cứng và mỏi mỗi khi ăn nhai do hai hàm không có độ khít chặt. Lực nhai phân bổ sai lệch gây áp lực lên khớp thái dương hàm (TMJ), về lâu dài có thể dẫn đến các vấn đề đau đầu và rối loạn chức năng khớp hàm.
- Ảnh hưởng tiêu hóa và tâm lý: Khả năng ăn nhai bị giảm, có thể gây ra các bệnh lý về dạ dày, tá tràng do thức ăn không được nghiền kỹ. Ngoài ra, việc cảm thấy khó chịu, mất tự tin khi giao tiếp cũng ảnh hưởng đến chất lượng cuộc sống.
3. Phương Pháp Điều Trị Khớp Cắn Đối Đỉnh Chuyên Nghiệp
Việc điều trị Khớp cắn đối đỉnh nhằm mục đích đưa răng hàm trên phủ ngoài răng hàm dưới một khoảng nhất định, khôi phục tương quan cắn chuẩn và bảo vệ rìa răng.
Xem thêm: Khớp Cắn Ngược
3.1. Niềng Răng Khớp Cắn Đối Đỉnh (Giải pháp tối ưu)
- Chỉ định: Niềng răng là giải pháp được ưa chuộng nhất hiện nay, phù hợp với mọi mức độ Khớp cắn đối đỉnh.
- Kỹ thuật: Bác sĩ sử dụng các dụng cụ nha khoa (mắc cài, dây cung hoặc khay niềng trong suốt) để tạo ra lực kéo hoặc đẩy, nhằm dịch chuyển các răng mọc sai lệch về vị trí mong muốn, khôi phục sự che phủ lý tưởng. Niềng răng không chỉ giúp điều trị triệt để tình trạng Khớp cắn đối đỉnh mà còn giúp bảo vệ tối đa răng thật, không gây tác động đến cấu trúc răng.
- Ưu điểm: Niềng răng không mắc cài (niềng răng trong suốt) đang nhận được sự quan tâm của nhiều người. Loại niềng này không chỉ đáp ứng khả năng cân chỉnh khớp cắn chuẩn mà còn mang lại giá trị thẩm mỹ cao, kể cả đang trong quá trình điều trị.
3.2. Bọc Răng Sứ (Giải pháp thẩm mỹ cho trường hợp nhẹ)

- Chỉ định: Trường hợp Khớp cắn đối đỉnh ở mức độ nhẹ và trung bình, khi cần cải thiện đồng thời màu sắc và hình dạng răng.
- Kỹ thuật: Bác sĩ tiến hành mài răng để tạo trụ, sau đó lấy dấu và lắp mão sứ đã được thiết kế để điều chỉnh hướng mọc và tạo độ phủ lý tưởng.
- Lưu ý: Bọc sứ chỉ phù hợp với những trường hợp Khớp cắn đối đỉnh nhẹ và cần phải mài răng thật (tỷ lệ mài không quá 2mm). Nếu tình trạng sai lệch nặng hơn hoặc răng bị mài nhiều hơn, có thể dễ gặp phải những biến chứng nguy hiểm.
3.3. Phẫu Thuật Chỉnh Sửa Khớp Cắn Đối Đỉnh
- Chỉ định: Trường hợp Khớp cắn đối đỉnh do xương hàm nghiêm trọng mà niềng răng đơn thuần không thể khắc phục.
- Quy trình: Bác sĩ sẽ tiến hành kiểm tra tổng quát tình trạng răng miệng và thực hiện chụp CT Conebeam để xác định cấu trúc xương hàm một cách chính xác, sau đó lập phác đồ phẫu thuật cắt, gọt và điều chỉnh xương hàm. Trong một số trường hợp, bác sĩ sẽ yêu cầu niềng răng trước khi phẫu thuật để đảm bảo kết quả điều trị tốt nhất.
Xem thêm: Khớp Cắn Chéo
4. Cách Phòng Ngừa Khớp Cắn Đối Đỉnh Và Duy Trì Răng Đều Đẹp
Để Cách phòng ngừa Khớp cắn đối đỉnh và duy trì hàm răng đẹp, bạn cần thực hiện các biện pháp can thiệp sớm và thói quen tốt:

- Thay đổi thói quen không lành mạnh: Các thói quen không tốt như đẩy lưỡi, mút ngón tay hay thở qua miệng có thể làm thay đổi hình dạng của miệng và gây ra Khớp cắn đối đỉnh. Cần loại bỏ những thói quen này từ khi còn nhỏ.
- Kiểm tra định kỳ: Thăm nha sĩ định kỳ để kiểm tra và làm sạch răng. Bác sĩ sẽ phát hiện sớm các dấu hiệu của Khớp cắn đối đỉnh (đặc biệt trong giai đoạn trẻ đang thay răng) và đề xuất các biện pháp điều trị kịp thời.
- Chăm sóc răng miệng hàng ngày: Chải răng ít nhất 2 lần/ngày và sử dụng chỉ nha khoa hàng ngày để loại bỏ mảng bám và ngừa sự hình thành của cao răng, từ đó giảm thiểu nguy cơ viêm nhiễm ảnh hưởng đến khớp cắn.
Câu Chuyện Của Chị Hoàng Thị Mai – 27 tuổi, Nhân viên ngân hàng, Hà Nội
“Răng Cứ Mòn Dần Mà Tôi Không Hề Hay Biết”
Suốt gần 3 năm, chị Hoàng Thị Mai nhận thấy răng cửa của mình có dấu hiệu ngắn dần, rìa răng không còn đều như trước. Ban đầu, sự thay đổi diễn ra rất chậm nên chị không mấy để tâm. Chỉ đến khi mỗi buổi sáng thức dậy, hàm thường xuyên đau mỏi, đôi lúc kèm theo cảm giác nhức đầu vùng thái dương, chị mới bắt đầu lo lắng.
“Tôi cứ nghĩ răng mòn là do đánh răng mạnh tay hoặc do công việc căng thẳng hay nghiến răng khi ngủ. Tôi chưa từng nghĩ nguyên nhân lại đến từ khớp cắn.”
Trong một lần thăm khám tại Nha khoa Bedental vào tháng 2/2024, chị Mai được bác sĩ kiểm tra khớp cắn bằng giấy cắn và chụp phim góc nghiêng. Qua hình ảnh phân tích, bác sĩ xác định răng cửa hàm trên và hàm dưới của chị chạm trực tiếp vào nhau theo dạng rìa đối rìa – dấu hiệu điển hình của khớp cắn đối đỉnh. Tình trạng này khiến răng cọ xát liên tục khi ăn nhai và cả lúc nghỉ, dẫn đến mòn răng nhanh hơn bình thường.
Theo đánh giá, răng cửa của chị đã mòn khoảng 3mm, men răng bị phá vỡ ở nhiều vị trí, cơ hàm luôn trong trạng thái căng và có nguy cơ ảnh hưởng đến khớp thái dương hàm nếu kéo dài. Bác sĩ cũng thẳng thắn chia sẻ rằng nếu không điều trị sớm, vài năm tới chị có thể buộc phải bọc sứ do răng mòn quá nhiều, đồng nghĩa với việc phải mài răng thật và chi phí điều trị sẽ cao hơn đáng kể.
Sau khi được tư vấn chi tiết, chị Mai quyết định lựa chọn niềng răng trong suốt Invisalign để điều chỉnh lại khớp cắn. Phác đồ điều trị kéo dài khoảng 16–18 tháng, với mục tiêu đưa răng hàm trên che phủ răng hàm dưới khoảng 2–3mm – đúng tương quan khớp cắn sinh lý.
Trong quá trình niềng, chị cho biết giai đoạn đầu hơi khó chịu nhẹ nhưng nhanh chóng thích nghi. Đến khoảng tháng thứ 6–9, chị bắt đầu cảm nhận rõ sự thay đổi: răng cửa không còn cọ vào nhau, việc ăn nhai nhẹ nhàng hơn và cảm giác mỏi hàm vào buổi sáng giảm dần. Khi hoàn tất quá trình điều trị và tháo niềng, khớp cắn đã được cân chỉnh chuẩn, răng đều hơn và khuôn mặt cũng hài hòa hơn trước.
“Điều tôi hài lòng nhất là mình đã giữ được răng thật. Giờ ăn uống thoải mái, không còn đau đầu hay ê buốt. Nhìn lại mới thấy, nếu phát hiện sớm hơn thì tôi đã yên tâm hơn rất nhiều.”
Chia sẻ từ chị Mai
Những dấu hiệu tưởng chừng nhỏ như răng mòn, đau mỏi hàm hay đau đầu kéo dài có thể bắt nguồn từ sai khớp cắn. Việc thăm khám sớm và điều trị đúng phương pháp không chỉ giúp giải quyết triệt để nguyên nhân mà còn bảo tồn răng thật, tiết kiệm chi phí về lâu dài.
5. Nha Khoa Bedental: Chuyên Khoa Chỉnh Khớp Cắn Đối Đỉnh Và Bảo Tồn Răng Thật
Nha khoa Bedental là trung tâm chuyên sâu về chỉnh nha và phục hình, cung cấp giải pháp toàn diện để điều trị và khắc phục triệt để tình trạng Khớp cắn đối đỉnh.

- Chẩn đoán bằng công nghệ 3D: Chúng tôi sử dụng máy chụp X-quang ConeBeam CT 3D để xác định chính xác nguyên nhân (xương hay răng) gây ra Khớp cắn đối đỉnh, từ đó đưa ra phác đồ điều trị tối ưu.
- Ưu tiên Niềng Răng Bảo Tồn: Đối với hầu hết các trường hợp, chúng tôi ưu tiên niềng răng bằng mắc cài hoặc khay Invisalign để điều chỉnh Khớp cắn đối đỉnh mà không cần mài răng thật, bảo vệ tối đa cấu trúc răng nguyên thủy khỏi bị mài mòn.
- Phối hợp chuyên môn: Với các ca sai lệch phức tạp, Bedental có sự phối hợp với các chuyên gia phẫu thuật hàm mặt để đảm bảo kết quả toàn diện, khôi phục hoàn hảo cả chức năng nhai và thẩm mỹ khuôn mặt.
Hãy đến với Bedental để được tư vấn và điều trị Khớp cắn đối đỉnh an toàn, hiệu quả.
Tư vấn chuyên môn bài viết:
BÁC SĨ DƯƠNG THỊ THÙY NGA
Tại BeDental, khách hàng có thể an tâm điều trị với dịch vụ bảo lãnh viện phí nha khoa nhanh chóng và tiện lợi. BeDental hiện liên kết với nhiều công ty bảo hiểm uy tín, hỗ trợ thanh toán trực tiếp chi phí các dịch vụ nha khoa như nhổ răng, trám răng, điều trị tủy, phục hình răng sứ... Quy trình linh hoạt, minh bạch giúp tiết kiệm thời gian và tối ưu chi phí. Hãy liên hệ BeDental để được tư vấn chi tiết và tận hưởng trải nghiệm chăm sóc răng miệng chuyên nghiệp, không lo gánh nặng tài chính.
🔹 Các đơn vị nha khoa chấp nhận bảo lãnh bao gồm : Hùng Vương Insurance, Bảo Long Insurance, BSH (Bảo hiểm BSH), FWD Insurance Cathay Life Fubon Insurance, Tokio Marine Insurance Group VNI (Bảo hiểm Hàng không), HD Insurance MSIG AAA Insurance PTI (Bảo hiểm Bưu điện), BIDV MetLife, PJICO, Techcom, Insurance, AIA, Dai-ichi Life MIC GIC DBV Insurance VBI (Bảo hiểm VietinBank)
🔹 Các công ty bảo hiểm BeDental có thể xuất hóa đơn: Manulife Dai-ichi Life Prudential AIA Hanwha Life PVI VCLI (Bảo hiểm nhân thọ Vietcombank - Cardif) BIC (Bảo hiểm BIDV), Bảo Việt Insurance và PVI

English
한국어
日本語
中文 (中国)