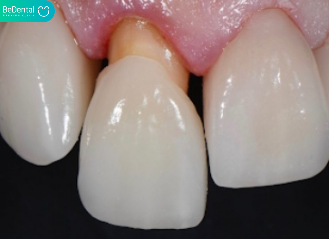
Crown teeth là gì? “Crown teeth” là cụm từ tiếng Anh được sử dụng phổ biến để chỉ kỹ thuật bọc răng sứ hoặc bọc mão răng. Đây là phương pháp phục hình nha khoa giúp khôi phục hình dáng, màu sắc và chức năng của răng bị hư hỏng, sứt mẻ hoặc đã điều trị tủy. Bọc răng sứ không chỉ nâng cao thẩm mỹ mà còn bảo vệ răng thật khỏi các tác động bên ngoài.
Crown teeth là gì?

Crown teeth là gì? Trong nha khoa, “crown” nghĩa là mão răng, còn “teeth” là răng. Khi kết hợp, “crown teeth” có thể hiểu là thao tác lắp mão sứ lên răng thật để phục hồi. Mão răng thường được làm từ sứ toàn phần, kim loại phủ sứ hoặc zirconia, tùy theo nhu cầu và ngân sách của người điều trị.
Xem thêm: Nhổ chân răng còn sót – Nguyên nhân, Dấu hiệu và Cách khắc phục
Mục đích của crown teeth:
- Bảo vệ răng yếu sau khi điều trị tủy.
- Khôi phục răng bị vỡ, sứt, mòn men nghiêm trọng.
- Che phủ răng bị xỉn màu hoặc hình dáng không đẹp.
- Làm trụ nâng đỡ cho cầu răng hoặc phục hình implant.
Nếu không được thực hiện đúng kỹ thuật, mão răng có thể bị hở viền, gây viêm nướu hoặc sâu răng bên trong. Vì vậy, việc chọn nha khoa uy tín là rất quan trọng.

Xem thêm: Dental plaque là gì
Từ vựng tiếng Anh thường dùng liên quan đến Crown Teeth
- Dental crown / porcelain crown: mão răng sứ.
- Temporary crown: mão răng tạm.
- Permanent crown: mão răng cố định.
- Zirconia crown: mão răng sứ zirconia.
- Full ceramic crown: mão răng toàn sứ.
- Crown placement: quy trình lắp mão răng.
Các câu hữu ích khi trao đổi tại phòng khám bằng tiếng Anh

Khi đặt lịch hẹn hoặc đến nha khoa:
- “I’d like to make an appointment for a dental crown, please.” (Tôi muốn đặt lịch hẹn để bọc răng sứ.)
- “Do you have any available slots next week?” (Tuần tới bạn có lịch trống nào không?)
- “My name is [Your Name], I have an appointment at [Time].” (Tôi tên là [Tên của bạn], tôi có lịch hẹn vào lúc [Thời gian].)
Khi mô tả tình trạng hoặc đặt câu hỏi:
- “One of my teeth is cracked, can it be crowned?” (Một chiếc răng của tôi bị nứt, có thể bọc sứ được không?)
- “How long will the crown last?” (Mão răng sẽ bền trong bao lâu?)
- “Could you explain the crown procedure?” (Bác sĩ có thể giải thích quy trình bọc răng không?)
- “Will it be painful?” (Nó có đau không?)
Sau khi điều trị:
Xem thêm: Đặt thuốc diệt tủy răng bị nhức phải làm sao?
- “What should I avoid eating after getting a crown?” (Tôi nên tránh ăn gì sau khi bọc răng?)
- “How do I take care of my crown?” (Tôi nên chăm sóc mão răng như thế nào?)
- “Could you show me how to brush around the crown properly?” (Bác sĩ có thể chỉ tôi cách chải răng quanh mão sứ đúng không?)
Một số thuật ngữ nha khoa liên quan khác:

- Anesthesia: gây tê.
- Anesthetic: thuốc gây mê.
- Braces: niềng răng.
- Caries: sâu răng.
- Enamel: men răng.
- Root canal treatment: điều trị tủy.
- Toothache: đau răng.
- Ceramic tooth: răng sứ.
Xem thêm: Sâu răng có niềng răng được không?
BeDental – Địa chỉ bọc răng sứ chuyên nghiệp và uy tín

Tại BeDental, quy trình bọc răng sứ (crown teeth) được thực hiện theo tiêu chuẩn quốc tế, sử dụng hệ thống thiết bị CAD/CAM hiện đại, cho phép thiết kế và chế tác mão sứ chính xác, ôm khít răng thật. Công nghệ này được Hiệp hội Nha khoa Thế giới (FDI) khuyến nghị vì tính an toàn và độ bền cao.
Vì sao nên chọn BeDental để bọc răng sứ:
- Đội ngũ bác sĩ chuyên môn cao, giàu kinh nghiệm, luôn đặt lợi ích khách hàng lên hàng đầu.
- Vật liệu sứ nhập khẩu từ Đức, Mỹ, Nhật, đảm bảo độ bền và tính thẩm mỹ tối ưu.
- Quy trình vô trùng nghiêm ngặt, an toàn tuyệt đối.
- Chi phí minh bạch, nhiều gói ưu đãi phù hợp với từng nhu cầu.
- Hơn 1.000 khách hàng hài lòng mỗi năm, nhiều người tin tưởng sử dụng dịch vụ lâu dài cho cả gia đình.
Lời khuyên: Nếu chỉ bị mẻ nhẹ hoặc xỉn màu, bạn có thể lựa chọn veneer sứ. Nhưng với trường hợp răng hư hại nặng hoặc sau điều trị tủy, crown teeth sẽ là giải pháp tối ưu để bảo vệ và khôi phục răng.
Tư vấn chuyên môn bài viết:
BÁC SĨ DƯƠNG THỊ THÙY NGA
Tại BeDental, khách hàng có thể an tâm điều trị với dịch vụ bảo lãnh viện phí nha khoa nhanh chóng và tiện lợi. BeDental hiện liên kết với nhiều công ty bảo hiểm uy tín, hỗ trợ thanh toán trực tiếp chi phí các dịch vụ nha khoa như nhổ răng, trám răng, điều trị tủy, phục hình răng sứ... Quy trình linh hoạt, minh bạch giúp tiết kiệm thời gian và tối ưu chi phí. Hãy liên hệ BeDental để được tư vấn chi tiết và tận hưởng trải nghiệm chăm sóc răng miệng chuyên nghiệp, không lo gánh nặng tài chính.
🔹 Các đơn vị nha khoa chấp nhận bảo lãnh bao gồm : Hùng Vương Insurance, Bảo Long Insurance, BSH (Bảo hiểm BSH), FWD Insurance Cathay Life Fubon Insurance, Tokio Marine Insurance Group VNI (Bảo hiểm Hàng không), HD Insurance MSIG AAA Insurance PTI (Bảo hiểm Bưu điện), BIDV MetLife, PJICO, Techcom, Insurance, AIA, Dai-ichi Life MIC GIC DBV Insurance VBI (Bảo hiểm VietinBank)
🔹 Các công ty bảo hiểm BeDental có thể xuất hóa đơn: Manulife Dai-ichi Life Prudential AIA Hanwha Life PVI VCLI (Bảo hiểm nhân thọ Vietcombank - Cardif) BIC (Bảo hiểm BIDV), Bảo Việt Insurance và PVI

