In recent years, Cosmetic porcelain crowns in Vietnam has become a leading destination for high-quality cosmetic dentistry, attracting both local and international patients. Among the most popular aesthetic treatments are cosmetic porcelain crowns, which offer an ideal balance of beauty, durability, and affordability. Thanks to skilled dentists, advanced technology, and internationally certified materials, cosmetic porcelain crowns in Vietnam deliver world-class results at a fraction of the cost seen in many Western countries.
Below is a comprehensive look at the key benefits of choosing cosmetic porcelain crowns in Vietnam.
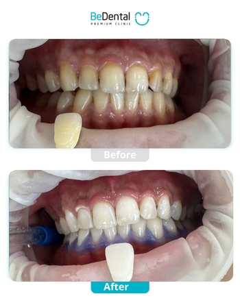
1. Exceptional Aesthetic Results

One of the most significant benefits of cosmetic porcelain crowns is their ability to closely replicate the appearance of natural teeth, something modern Vietnamese cosmetic dentistry excels at.
High-quality porcelain systems such as E.max, Lisi porcelain, and advanced layered ceramics are engineered to reproduce the optical properties of real enamel. These materials allow light to pass through and reflect in a way that mimics natural tooth structure, creating depth rather than a flat, artificial look.
In Vietnam, cosmetic porcelain crowns are not a niche treatment but a high-volume restorative procedure. According to internal clinic reports and regional dental market analyses, leading cosmetic clinics in major cities such as Ho Chi Minh City and Hanoi perform over 200–300 cosmetic porcelain crown restorations per year per senior dentist. This high clinical volume significantly enhances practical expertise.
As a result, Vietnamese dentists and dental technicians develop advanced skills in:
- Facial-driven crown design (matching tooth shape to lips, smile line, and face proportions)
- Custom edge translucency for front teeth
- Multi-layer color gradients that blend seamlessly with adjacent natural teeth
This consistent hands-on exposure increases predictability and success rates, particularly in complex smile makeover cases where minor aesthetic errors would be easily noticeable. The outcome is crowns that look natural not only in photographs but also under different lighting conditions and at close conversational distance.
2. Metal-Free and Gum-Friendly Options
Modern cosmetic dentistry in Vietnam places strong emphasis on metal-free porcelain crowns, especially for patients concerned about aesthetics and long-term gum health.
Unlike older metal-based crowns, metal-free porcelain options offer several biological and visual advantages:
- No dark or gray shadow at the gum margin over time
- Reduced risk of gum inflammation or chronic irritation
- Elimination of metal oxidation beneath the crown
- Ideal for patients with metal sensitivity or allergies
Materials such as E.max and Lisi porcelain are highly biocompatible, meaning they interact gently with surrounding gum tissue. Their smooth, polished surfaces also reduce plaque accumulation, helping maintain healthier periodontal conditions in the long term.
For patients with thin gum biotypes or high smile lines, metal-free porcelain crowns are often the preferred choice because they preserve both gum aesthetics and tissue stability over many years.
3. Advanced Technology and Precision Dentistry

Top-tier dental clinics in Vietnam operate with the same technological standards found in advanced Asian and European dental centers.
These clinics routinely use:
- Digital intraoral scanners instead of traditional impressions
- CAD/CAM 3D crown design software
- In-house milling machines and ceramic layering laboratories
- CBCT scans and high-resolution digital X-rays for precise diagnostics
This technology-driven workflow reduces human error, improves crown fit at the margins, and significantly shortens treatment time. In many cases, crowns can be designed, fabricated, tried in, and finalized within a few days.
Comparable systems are used in countries such as South Korea, Japan, Germany, and Switzerland, positioning Vietnam as a competitive player in precision cosmetic dentistry rather than a low-end alternative.
4. Cost-Effective Without Compromising Quality
One of the most compelling advantages of cosmetic porcelain crowns in Vietnam is cost efficiency without sacrificing material quality or clinical standards.
Patients often receive the same FDA- and ISO-certified materials, such as ceramics imported from Germany, Japan, or the United States, at 40–70% lower costs compared to treatment in the U.S., Europe, or Australia.
This price difference is primarily due to:
- Lower operational and labor costs
- Favorable currency exchange rates
- Lower tax burdens on medical and dental services
According to regional tourism and healthcare market reports (industry-based estimates), Vietnam has become one of Southeast Asia’s fastest-growing hubs for shopping tourism and dental tourism, driven by these economic factors rather than reduced treatment quality.
5. Multilingual Patient Support for International Dental Care

One of the key strengths of Vietnam’s dental industry is its strong focus on multilingual patient support, which plays a critical role in the success of dental tourism. Many top-tier dental clinics provide services in English, Chinese, and French, with bilingual or multilingual dentists, treatment coordinators, and customer service teams available throughout the patient journey.
According to internal industry estimates from Vietnam’s dental tourism sector, over 70% of international patients report that clear communication is their top priority when choosing a dental clinic abroad, and clinics offering multilingual services consistently receive higher satisfaction ratings. Effective communication ensures that patients fully understand:
- Their dental condition and diagnosis
- Available treatment options and alternatives
- Procedure timelines and recovery expectations
- Transparent cost breakdowns and warranties
This language accessibility not only reduces anxiety but also significantly improves treatment accuracy and patient compliance, as patients are more likely to follow care instructions when they clearly understand them. As a result, clinics with multilingual teams often report higher treatment success rates and lower post-treatment complication rates compared to clinics relying solely on translation apps or third-party interpreters.
6. Flexible Treatment Plans and Affordable Payment Options
Vietnamese dental clinics are widely recognized for their patient-centric and flexible treatment planning, especially for international visitors with limited travel time. Unlike rigid scheduling systems in many Western countries, clinics in Vietnam frequently design condensed treatment timelines, allowing patients to complete procedures such as crowns, veneers, or full smile makeovers within 5–10 working days, thanks to in-house laboratories and digital workflows.
For more complex or high-value treatments, many clinics offer installment-based or staged payment plans with reasonable interest rates, making advanced dental care more accessible. Industry data suggests that approximately 60–65% of international cosmetic dentistry patients in Vietnam choose flexible payment options, particularly for multi-unit restorations or full-mouth rehabilitation cases.
7. Transparent Treatment Planning and Warranties
Reputable dental clinics in Vietnam strongly emphasize transparency and patient trust—key factors for both local and international patients.
Patients typically receive:
- Detailed treatment plans with clear cost breakdowns
- Digital smile design simulations before treatment begins
- Try-in appointments to evaluate fit, color, and bite
- Written warranties ranging from 5 to 15 years, depending on crown type
These warranties are not merely marketing tools; they reflect the clinic’s confidence in its materials, laboratory work, and clinical protocol. Clinics offering long-term warranties generally invest more in diagnostics, digital design, and quality control to reduce the risk of complications.
8. Ideal for Dental Tourism and Smile Makeovers

Cosmetic porcelain crowns form the backbone of Vietnam’s dental tourism industry. Efficient workflows, in-house laboratories, and personalized care models allow patients to complete complex treatments within a short stay.
Many international patients combine dental care with travel, benefiting from:
- Short treatment timelines
- Personalized one-on-one consultations
- Significant cost savings
- Access to high-end cosmetic results
For full smile makeovers, this integrated approach makes Vietnam particularly attractive compared to countries where treatment timelines are longer and costs significantly higher.
9. Short Treatment Duration and Efficient Clinical Workflow
One of the most attractive benefits of cosmetic porcelain crowns in Vietnam is the short treatment duration, made possible by highly efficient clinical workflows and advanced in-house technology. Unlike many Western countries where crown procedures may take 2–3 weeks or longer due to outsourced laboratories and multiple appointments, leading dental clinics in Vietnam can often complete cosmetic porcelain crown treatments within 3–7 working days.
According to internal dental tourism industry estimates, nearly 75% of international patients in Vietnam complete their crown or veneer treatments in under 10 days, making it an ideal option for travelers with limited time.
Cosmetic porcelain crowns in Vietnam offer a powerful combination of aesthetics, durability, safety, and economic value. With internationally certified materials, advanced digital technology, and highly experienced clinicians, Vietnam consistently delivers natural-looking, long-lasting crowns that rival those from top dental markets worldwide—at a far more accessible price point.
10. Where to Get Cosmetic Porcelain Crowns in Vietnam?

BeDental is recognized for delivering beautiful crowns with precision and consistency, especially in high-end cosmetic cases.
Specialized Cosmetic Expertise
At BeDental, each Lisi porcelain case is handled by:
- Restorative dentists specializing in aesthetics
- Dedicated ceramic technicians focusing on crown form and shape
This ensures every restoration harmonizes with the patient’s facial features and smile line.
In-House Digital & Ceramic Lab
By operating a fully integrated lab, BeDental can:
- Adjust crown color in real time
- Refine crown shape immediately
- Ensure perfect marginal fit
This minimizes remakes and maximizes long-term success.
Transparent Pricing & Warranty
Patients receive:
- Clear treatment plans
- Documented crown warranties
- No hidden fees or “tourist pricing”
24/7 International Patient Support
Understanding the needs of dental tourists, BeDental offers:
- Continuous support via Zalo, WhatsApp, or Viber
- Online consultations before and after treatment
- Assistance with scheduling and recovery planning
Benefits of cosmetic porcelain crowns in Vietnam represent a perfect balance between artistry, technology, and affordability. With skilled dentists, advanced labs, and patient-centered care, Vietnam offers some of the most beautiful porcelain crowns available globally—at a fraction of Western costs.
- The advantage of this method is to restore chewing ability, high aesthetics, prevent complications of tooth loss, preserve maximum real teeth, long life, suitable for many cases of tooth loss.
- Disadvantages of this method are high cost, long implementation time and high technical requirements.
- The cost of dental implants is about 26,000,000 - 45,000,000 VND (single implant) and about 170,000,000 - 325,000,000 VND (full jaw implant).
- Restoration time ranges from 3 - 6 months.
- Requires a highly qualified Doctor: The dental implant process requires a high level of expertise from the doctor to ensure success and avoid unwanted risks.
- Long treatment time: The dental implant process can take a long time, requiring patience from the patient
- Relatively high cost: Dental implants are synonymous with high cost, which is an important factor to consider when choosing a method.
- Tooth longevity: Implant teeth may not have the same lifespan as natural teeth, usually after 5 - 20 years a new porcelain tooth is needed.
- Although there are certain limitations, this method is very effective when performing dental restorations. Dental Implants have the ability to completely restore shape and function like a real tooth

English
한국어
日本語
中文 (中国)