Chụp thép răng sữa là một trong những phương pháp phục hình răng phổ biến và hiệu quả nhất trong nha khoa trẻ em hiện nay. Khi răng sữa của trẻ bị sâu lớn, vỡ nhiều hoặc đã điều trị tủy, việc trám thông thường không còn đủ khả năng bảo vệ cấu trúc răng. Lúc này, chụp thép răng sữa trở thành giải pháp giúp duy trì chức năng ăn nhai, bảo tồn răng thật đến khi thay răng vĩnh viễn.
Trong những năm gần đây, theo báo cáo của Tổ chức Y tế Thế giới (WHO), tỷ lệ sâu răng ở trẻ em từ 5–6 tuổi tại khu vực Đông Nam Á dao động từ 60–90%. Tại Việt Nam, nhiều khảo sát nhà khoa học cho thấy hơn 85% trẻ em trong độ tuổi tiểu học có ít nhất một răng sâu. Con số này cho thấy nhu cầu điều trị và bảo tồn răng sữa, trong đó có chụp thép răng sữa, là rất lớn.
Bài viết dưới đây sẽ giúp cha mẹ hiểu rõ từ A đến Z về chụp thép răng sữa, từ khái niệm, chỉ định, quy trình thực hiện đến chi phí và những lưu ý quan trọng.
Chụp thép răng sữa là gì?
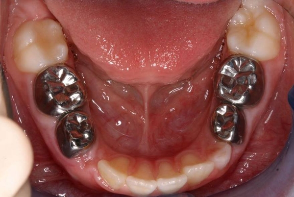
Chụp thép răng sữa là phương pháp sử dụng mão kim loại làm từ thép không gỉ chuyên dụng trong nha khoa để bao phủ toàn bộ thân răng sữa đã bị tổn thương nặng. Mão thép này được thiết kế phù hợp với kích thước răng trẻ em và được gắn cố định bằng xi măng nha khoa chuyên dụng.
Khác với trám răng chỉ phục hồi một phần mô răng bị mất, chụp thép răng sữa bao bọc toàn bộ thân răng, giúp bảo vệ tối đa cấu trúc còn lại, ngăn vi khuẩn xâm nhập và kéo dài tuổi thọ của răng sữa cho đến khi răng vĩnh viễn mọc thay thế.

Theo Hiệp hội Nha khoa Nhi Hoa Kỳ (AADP), chụp thép răng sữa được xem là tiêu chuẩn vàng trong điều trị răng sữa sâu lớn hoặc sau điều trị tủy ở trẻ nhỏ.
Vì sao cần chụp thép răng sữa cho trẻ?
Nhiều phụ huynh vẫn có suy nghĩ rằng răng sữa rồi cũng thay, nên không cần điều trị kỹ lưỡng. Tuy nhiên, răng sữa đóng vai trò cực kỳ quan trọng trong sự phát triển toàn diện của trẻ.
Răng sữa giúp trẻ ăn nhai đúng cách, phát âm chuẩn, giữ khoảng cho răng vĩnh viễn mọc đúng vị trí và ảnh hưởng trực tiếp đến thẩm mỹ gương mặt. Nếu mất răng sữa quá sớm do sâu nặng không được điều trị hoặc nhổ bỏ, trẻ có thể gặp tình trạng lệch lạc răng, chen chúc răng vĩnh viễn, dẫn đến phải chỉnh nha sau này.
Xem thêm: Nhổ răng khôn kiêng ăn gì?
Theo thống kê từ các chương trình nha khoa học đường, trẻ mất răng sữa sớm có nguy cơ sai lệch khớp cắn cao hơn 2–3 lần so với trẻ được bảo tồn răng đúng cách. Vì vậy, chụp thép răng sữa không chỉ là biện pháp điều trị sâu răng mà còn là đầu tư dài hạn cho sức khỏe răng miệng của trẻ.
Khi nào trẻ cần chụp thép răng sữa?
Không phải trường hợp sâu răng nào cũng cần chụp thép răng sữa. Phương pháp này thường được chỉ định trong các tình huống sau:
Khi răng sữa bị sâu lớn, diện tích tổn thương rộng, không thể trám thông thường vì nguy cơ bong vỡ cao. Khi răng đã điều trị tủy, cấu trúc răng trở nên giòn và yếu hơn, cần được bảo vệ bằng mão bao phủ toàn bộ. Khi răng sữa bị mẻ vỡ do chấn thương. Hoặc trong một số trường hợp trẻ có nguy cơ sâu răng cao, men răng yếu, bác sĩ có thể cân nhắc chụp thép răng sữa để phòng ngừa tái sâu.

Theo các nghiên cứu lâm sàng, tỷ lệ tồn tại của chụp thép răng sữa sau 3–5 năm có thể đạt trên 90%, cao hơn đáng kể so với trám amalgam hoặc composite trong các trường hợp sâu lớn.
Quy trình chụp thép răng sữa diễn ra như thế nào?
Quy trình chụp thép răng sữa thường diễn ra nhanh chóng và an toàn nếu được thực hiện tại cơ sở nha khoa uy tín.
Đầu tiên, bác sĩ sẽ thăm khám và chụp phim X-quang để đánh giá mức độ tổn thương. Nếu răng cần điều trị tủy, bước này sẽ được thực hiện trước. Sau đó, bác sĩ mài chỉnh nhẹ phần thân răng để tạo khoảng cho mão thép.
Mão thép có sẵn nhiều kích cỡ khác nhau, bác sĩ sẽ lựa chọn loại phù hợp nhất với răng của trẻ. Sau khi thử và điều chỉnh đảm bảo khít sát, mão sẽ được gắn cố định bằng xi măng nha khoa chuyên dụng.
Toàn bộ quá trình chụp thép răng sữa thường chỉ mất khoảng 20–30 phút cho một răng, tùy tình trạng cụ thể. Trẻ có thể ăn uống bình thường sau vài giờ khi xi măng đã ổn định hoàn toàn.
Chụp thép răng sữa có đau không?
Đây là câu hỏi mà hầu hết phụ huynh đều quan tâm. Trên thực tế, khi thực hiện chụp thép răng sữa, bác sĩ sẽ gây tê tại chỗ nếu cần mài răng hoặc điều trị tủy, do đó trẻ hầu như không cảm thấy đau trong quá trình làm.
Sau khi thuốc tê hết tác dụng, trẻ có thể hơi ê nhẹ trong 1–2 ngày đầu, đặc biệt nếu trước đó răng bị viêm tủy. Tuy nhiên cảm giác này thường nhẹ và tự hết nhanh chóng.
Theo các khảo sát về trải nghiệm điều trị nha khoa ở trẻ em, hơn 80% trẻ được chụp thép răng sữa không ghi nhận đau đáng kể sau điều trị nếu được thực hiện đúng kỹ thuật.
Ưu điểm nổi bật của chụp thép răng sữa
Chụp thép răng sữa mang lại nhiều lợi ích vượt trội so với trám răng trong các trường hợp tổn thương lớn.
Độ bền cao là ưu điểm hàng đầu. Mão thép có khả năng chịu lực tốt, ít bóng sút hơn so với miếng trám. Điều này đặc biệt quan trọng vì trẻ nhỏ thường ăn nhai mạnh và chưa có ý thức giữ gìn răng miệng tốt.
Xem thêm: Răng số 8 mọc ngang
Khả năng bảo vệ toàn diện cũng là điểm mạnh. Vì bao phủ toàn bộ thân răng, chụp thép răng sữa giúp ngăn ngừa vi khuẩn xâm nhập và tái sâu hiệu quả hơn.
Ngoài ra, phương pháp này có chi phí hợp lý so với các loại mão thẩm mỹ cao cấp, phù hợp với đa số gia đình.
Nhược điểm của chụp thép răng sữa
Bên cạnh ưu điểm, chụp thép răng sữa cũng có một số hạn chế nhất định.
Tính thẩm mỹ không cao là yếu tố khiến nhiều phụ huynh băn khoăn. Mão thép có màu kim loại, dễ nhận thấy khi trẻ cười nếu chụp ở răng phía trước. Tuy nhiên, trên thực tế, chụp thép răng sữa thường được áp dụng nhiều cho răng hàm phía trong nên ít ảnh hưởng đến thẩm mỹ.
Ngoài ra, trong một số ít trường hợp, mão có thể bị bong nếu trẻ ăn nhai thực phẩm quá cứng hoặc chăm sóc không đúng cách. Tuy nhiên, tỷ lệ này tương đối thấp nếu được gắn đúng kỹ thuật.
Chụp thép răng sữa có ảnh hưởng đến răng vĩnh viễn không?
Một trong những lo lắng phổ biến là liệu chụp thép răng sữa có cản trở quá trình mọc răng vĩnh viễn hay không.
Câu trả lời là không. Mão thép chỉ bao phủ thân răng sữa, không tác động đến mầm răng vĩnh viễn bên dưới. Khi đến thời điểm thay răng, răng sữa sẽ lung lay và rụng tự nhiên, mão thép sẽ rơi ra cùng răng.

Các nghiên cứu theo dõi dài hạn cho thấy chụp thép răng sữa không làm tăng nguy cơ lệch hướng mọc của răng vĩnh viễn.
Chi phí chụp thép răng sữa bao nhiêu?
Chi phí chụp thép răng sữa phụ thuộc vào nhiều yếu tố như tình trạng răng, có cần điều trị tủy trước đó hay không và cơ sở nha khoa thực hiện.
Tại Việt Nam, mức giá chụp thép răng sữa thường dao động từ vài trăm nghìn đến hơn một triệu đồng cho mỗi răng. So với chi phí chỉnh nha hàng chục triệu đồng nếu trẻ mất răng sữa sớm và bị lệch lạc răng, đây là khoản đầu tư hợp lý.
Phụ huynh nên lựa chọn cơ sở nha khoa uy tín, có bác sĩ chuyên về nha khoa trẻ em để đảm bảo quy trình chụp thép răng sữa an toàn và hiệu quả.
Bảng giá nha khoa Bedental:
| Service code | Category | Price | ||
|---|---|---|---|---|
| 1. Giá Hàn răng (Tìm hiểu thêm...). Teeth filling (More detail...) | ||||
| DT01 | Giá Hàn/Trám răng sữa trẻ em Baby teeth filling | 250.000 | ||
| DT02 | Giá Hàn/Trám răng vĩnh viễn Permanent Teeth Filling | 500.000 | ||
| DT03 | Giá Hàn/Trám răng thẩm mỹ Cosmetic Filling | 700.000 | ||
| DT04 | Giá Hàn cổ răng Sensitive teeth filling | 500.000 | ||
| 2. Giá Điều trị tủy (Tìm hiểu thêm...) Root Canal Treatment - Anterior by endodontist machine (More detail...) | ||||
| DT05 | Giá Điều trị tuỷ Răng sữa Root Canal Treatment - Anterior for baby teeth | 1.200.000 | ||
| DT06 | Giá Điều trị tuỷ Răng cửa vĩnh viễn Root Canal Treatment - Anterior for Front teeth | 2.000.000 | ||
| DT07 | Giá Điều trị tuỷ Răng hàm nhỏ vĩnh viễn Root Canal Treatment - Anterior for Premolar teeth | 2.500.000 | ||
| DT08 | Giá Điều trị tuỷ Răng hàm lớn vĩnh viễn Root Canal Treatment - Anterior for molar teeth | 2.500.000 | ||
| 3.Giá Điều trị tủy lại( Máy Xmax usa) Root Canal reTreatment - Anterior by endodontist machine | ||||
| DT09 | Giá Điều trị tuỷ bằng máy - Răng cửa Root Canal Treatment - Anterior for Front teeth by endodontist machine | 2.000.000 | ||
| DT10 | Giá Điều trị tuỷ bằng máy - Răng hàm nhỏ Anterior for Premolar teeth by endodontist machine | 2.500.000 | ||
| DT11 | Giá Điều trị tuỷ bằng máy - Răng hàm lớn Anterior for molar teeth by endodontist machine | 3.000.000 | ||
| 4 Dự phòng sâu răng (Tìm hiểu thêm...) Vecniflour dental care | ||||
| DT12 | Giá Dự phòng sâu răng trẻ em Vecniflour dental care for child | 500.000 |
Cách chăm sóc răng sau khi chụp thép răng sữa
Sau khi chụp thép răng sữa, trẻ vẫn cần duy trì vệ sinh răng miệng kỹ lưỡng. Phụ huynh nên hướng dẫn trẻ chải răng ít nhất hai lần mỗi ngày bằng bàn chải lông mềm và kem đánh răng chứa flour phù hợp độ tuổi.
Xem thêm: Răng khôn mọc ngầm nhưng không đau
Tránh cho trẻ cắn vật cứng như đá lạnh hoặc kẹo cứng để hạn chế nguy cơ bong mão. Đồng thời, nên tái khám định kỳ 3–6 tháng để bác sĩ kiểm tra tình trạng chụp thép răng sữa và phát hiện sớm các vấn đề nếu có.
Theo các báo cáo nha khoa học đường, việc tái khám định kỳ có thể giảm đến 40% nguy cơ biến chứng sau điều trị răng sữa.
Có nên chụp thép răng sữa cho mọi trường hợp sâu răng?
| Trường hợp sâu răng sữa | Có nên chụp thép răng sữa không? | Giải thích |
|---|---|---|
| Lỗ sâu nhỏ, mới phát hiện sớm | Không nhất thiết | Trong trường hợp này, trám răng thường đã đủ hiệu quả để xử lý tổn thương và bảo tồn tối đa mô răng thật. |
| Sâu răng mức độ trung bình, cấu trúc răng vẫn còn tốt | Cân nhắc tùy từng trường hợp | Bác sĩ sẽ đánh giá vị trí răng, mức độ ăn nhai và khả năng giữ miếng trám để quyết định nên trám hay chụp thép. |
| Răng sâu lớn, mất mô răng nhiều | Nên chụp thép răng sữa | Khi răng đã bị phá hủy nhiều, miếng trám thông thường thường khó bền lâu, trong khi chụp thép giúp bảo vệ toàn bộ thân răng tốt hơn. |
| Răng vỡ nhiều mặt | Nên chụp thép răng sữa | Đây là trường hợp răng chịu lực kém, dễ tiếp tục nứt vỡ nếu chỉ trám, nên chụp thép thường là lựa chọn an toàn hơn. |
| Răng sữa đã điều trị tủy | Rất nên chụp thép răng sữa | Sau điều trị tủy, răng thường yếu hơn và dễ gãy, vì vậy chụp thép gần như là giải pháp tối ưu để tăng độ bền và duy trì chức năng ăn nhai. |
| Răng sữa cần duy trì đến thời điểm thay răng tự nhiên | Thường nên cân nhắc | Nếu răng còn phải tồn tại trong miệng một thời gian dài để giữ chỗ cho răng vĩnh viễn mọc đúng, chụp thép có thể giúp bảo vệ răng tốt hơn. |
| Răng sữa sắp đến thời điểm thay | Có thể không cần | Nếu răng sắp lung lay và chuẩn bị thay tự nhiên, bác sĩ có thể ưu tiên phương án đơn giản hơn thay vì chụp thép. |
Kết luận
Chụp thép răng sữa là giải pháp phục hình bền vững, an toàn và được khuyến nghị rộng rãi trong nha khoa trẻ em hiện đại. Trong bối cảnh tỷ lệ sâu răng ở trẻ em vẫn ở mức cao, việc hiểu đúng và điều trị kịp thời bằng chụp thép răng sữa sẽ giúp bảo tồn răng sữa, duy trì chức năng ăn nhai, phát âm và định hướng mọc răng vĩnh viễn chuẩn xác.
Xem thêm: Nhổ răng khôn ở hàm trên
Thay vì chờ răng sữa tự rụng hoặc nhổ bỏ sớm, phụ huynh nên chủ động đưa trẻ đi khám định kỳ để được tư vấn phương án điều trị phù hợp. Chụp thép răng sữa không chỉ là giải pháp trước mắt mà còn là nền tảng cho một hàm răng khỏe mạnh lâu dài.
Nếu được thực hiện đúng chỉ định và chăm sóc đúng cách, chụp thép răng sữa có thể đồng hành cùng trẻ cho đến khi thay răng tự nhiên, đảm bảo sự phát triển toàn diện cả về sức khỏe lẫn thẩm mỹ.
Tư vấn chuyên môn bài viết:
BÁC SĨ DƯƠNG THỊ THÙY NGA
Tại BeDental, khách hàng có thể an tâm điều trị với dịch vụ bảo lãnh viện phí nha khoa nhanh chóng và tiện lợi. BeDental hiện liên kết với nhiều công ty bảo hiểm uy tín, hỗ trợ thanh toán trực tiếp chi phí các dịch vụ nha khoa như nhổ răng, trám răng, điều trị tủy, phục hình răng sứ... Quy trình linh hoạt, minh bạch giúp tiết kiệm thời gian và tối ưu chi phí. Hãy liên hệ BeDental để được tư vấn chi tiết và tận hưởng trải nghiệm chăm sóc răng miệng chuyên nghiệp, không lo gánh nặng tài chính.
🔹 Các đơn vị nha khoa chấp nhận bảo lãnh bao gồm : Hùng Vương Insurance, Bảo Long Insurance, BSH (Bảo hiểm BSH), FWD Insurance Cathay Life Fubon Insurance, Tokio Marine Insurance Group VNI (Bảo hiểm Hàng không), HD Insurance MSIG AAA Insurance PTI (Bảo hiểm Bưu điện), BIDV MetLife, PJICO, Techcom, Insurance, AIA, Dai-ichi Life MIC GIC DBV Insurance VBI (Bảo hiểm VietinBank)
🔹 Các công ty bảo hiểm BeDental có thể xuất hóa đơn: Manulife Dai-ichi Life Prudential AIA Hanwha Life PVI VCLI (Bảo hiểm nhân thọ Vietcombank - Cardif) BIC (Bảo hiểm BIDV), Bảo Việt Insurance và PVI

English
한국어
日本語
中文 (中国)