Niềng Răng
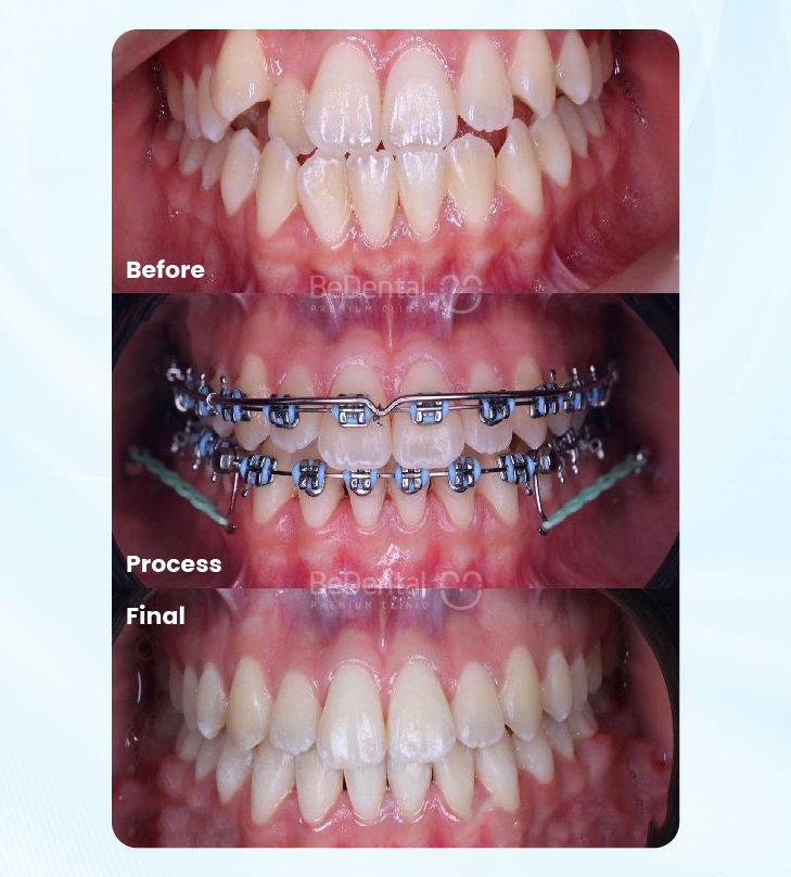
Niềng răng là phương pháp chỉnh nha sử dụng mắc cài hoặc khay trong suốt để dịch chuyển răng về đúng vị trí trên cung hàm, giúp cải thiện tình trạng răng lệch lạc, hô, móm hoặc khấp khểnh. Phương pháp này không chỉ mang lại nụ cười đều đẹp, hài hòa mà còn góp phần cải thiện chức năng ăn nhai và bảo vệ sức khỏe răng miệng lâu dài.

Tiếng Việt
English
한국어
中文 (中国)